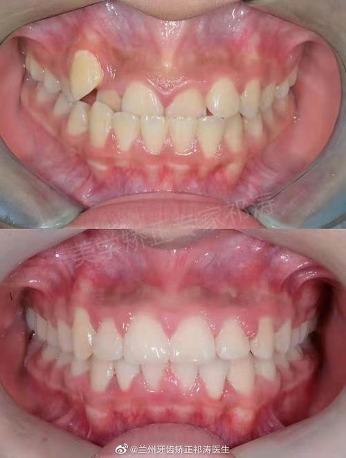
正畸治疗通过移动牙齿排列来改善口腔功能和美观,但部分患者在矫治结束后可能出现咬合不好的情况,这不仅影响咀嚼效率,还可能引发牙齿磨损、颞下颌关节紊乱等问题,正畸后咬合不好需明确具体表现、原因,并采取针对性解决措施。
正畸后咬合不好的具体表现
咬合关系是上下牙齿在接触时的相对位置,正常咬合应满足牙齿尖窝相对、受力均匀、肌肉关节协调,正畸后咬合不好主要表现为以下几类:

- 咬合干扰:上下牙咬合时,个别牙齿或牙尖过早接触(早接触),导致其他牙齿无法完全咬合,或存在咬合高点,引起咀嚼时酸痛、食物嵌塞。
- 咬合关系紊乱:如深覆合(上牙过度覆盖下牙)、深覆盖(上牙前突超过下牙)、反合(“地包天”)、开合(上下牙无法接触)等,可能伴随面部肌肉紧张、关节弹响。
- 咀嚼功能下降:咬合无力、咬不碎食物,或咀嚼时牙齿晃动、疼痛,长期可能影响消化系统。
- 继发问题:牙齿磨损(因咬合受力不均)、牙周组织损伤(咬合力过大导致牙槽骨吸收)、颞下颌关节紊乱(关节弹响、张口受限、头痛)。
正畸后咬合不好的原因分析
正畸后咬合不良并非单一因素导致,需结合治疗全流程综合判断,具体原因可归纳为以下几类(见表1):
表1:正畸后咬合不好的常见原因及具体表现
| 原因类别 | 具体表现 | 影响因素 |
|---|---|---|
| 方案设计问题 | 咬合平面设计偏差(如左右咬合平面不对称)、牙齿移动计划不合理(如未考虑颌骨发育)、支抗控制不足导致牙齿移位 | 医生经验不足、术前检查不全面(如未拍X光片评估颌骨条件)、患者骨骼畸形未提前干预 |
| 治疗操作问题 | 托槽粘贴位置偏差导致牙齿移动方向错误、精细调整不足(如未消除咬合高点)、颌间牵引使用不当(力量过大或方向错误) | 矫治器粘贴技术不熟练、复诊间隔过长未及时调整、患者未配合戴橡皮筋 |
| 患者自身因素 | 牙周支持组织差(如牙槽骨吸收导致牙齿移位)、不良习惯(夜磨牙、咬唇、偏侧咀嚼)、生长发育期患者颌骨继续发育 | 未控制牙周炎症、正畸期间未纠正不良习惯、青少年患者治疗后仍处于快速生长期 |
| 保持阶段问题 | 保持器佩戴不当(如未全天佩戴、保持器不贴合)、未长期坚持佩戴(停戴后牙齿自然移位)、保持器损坏未及时更换 | 患者依从性差、保持器设计不合理(如未考虑咬合关系)、医生未强调保持重要性 |
正畸后咬合不好的解决方法
针对不同原因和程度的咬合不良,需通过专业诊断后制定个性化方案,主要解决措施包括:
咬合调整(精细咬合抛光)
适用于轻微咬合干扰或早接触,通过咬合纸标记早接触点,用磨具精准调磨牙齿高点,消除咬合干扰,恢复牙齿均匀接触,此方法创伤小、见效快,但需由专业医生操作,避免过度磨除牙体组织。

咬合板治疗
对于伴有颞下颌关节紊乱或肌肉紧张的患者,可佩戴咬合板(如稳定咬合板、再定位咬合板),暂时改变咬合关系,缓解关节压力,调整肌肉功能,咬合板需定期调整,通常佩戴3-6个月,待症状缓解后进一步调整咬合。
二次正畸治疗
若咬合不良较为严重(如反合、深覆合未纠正,或牙齿排列严重紊乱),可能需要重新进行正畸治疗,方案可能包括更换矫治器(如隐形矫正、舌侧矫正)、加强支抗控制、配合颌间牵引等,治疗时间通常为6-12个月。
修复治疗
对于伴有牙齿缺损、过大间隙或形态异常的患者,可在正畸后通过修复方式改善咬合,如:
- 牙冠修复:调整牙齿高度和咬合面形态,恢复咬合接触;
- 贴面修复:改善牙齿轻微错位或形态异常,辅助咬合关系;
- 嵌体修复:修复牙齿缺损,同时调整咬合高点。
牙周及TMD联合治疗
若咬合不良由牙周病或颞下颌关节紊乱导致,需先控制牙周炎症(如牙周刮治、上药),或进行关节治疗(如理疗、药物治疗、关节腔冲洗),待基础疾病稳定后再调整咬合关系。

正畸后咬合不好的预防措施
预防优于治疗,正畸过程中及治疗后需注意以下事项:
- 术前全面评估:正畸前需拍摄X光片(曲面断层、头颅侧位片)、取模型,检查牙周状况、颌骨发育情况,制定个性化方案;
- 治疗中精细调整:医生需在矫治末期进行精细咬合调整,确保尖窝相对、受力均匀,患者需按时复诊,配合戴橡皮筋等;
- 保持阶段规范管理:拆除矫治器后需佩戴保持器(通常前1-2年全天佩戴,之后夜间长期佩戴),定期复查(每3-6个月),及时调整或更换保持器;
- 纠正不良习惯:避免夜磨牙(可佩戴夜磨牙垫)、咬硬物、偏侧咀嚼,保持口腔卫生,预防牙周疾病。
相关问答FAQs
Q1:正畸后咬合不好会自己恢复吗?
A:轻微的咬合不适(如刚拆除矫治器时的轻微咬合不适应)可能在1-2个月内逐渐适应,但若存在明显的咬合干扰、牙齿排列紊乱或关节症状,通常无法自行恢复,需及时就医,通过咬合检查、影像学评估明确原因,若不及时处理,可能导致牙齿磨损、牙周损伤等问题加重。
Q2:咬合不好会导致颞下颌关节紊乱吗?
A:是的,长期咬合不良是颞下颌关节紊乱(TMD)的重要诱因之一,咬合干扰或早接触会导致咀嚼肌过度紧张、关节受力不均,进而引发关节弹响、张口受限、疼痛、头痛等症状,若出现关节不适,需尽早到口腔科或颞下颌关节专科就诊,避免病情进展。
