在福州的正畸领域,梁甲兴医生凭借其扎实的专业功底、丰富的临床经验以及对患者需求的细致洞察,已成为众多市民寻求牙齿矫正时的优先选择,他不仅专注于传统与现代正畸技术的融合应用,更注重将医学美学与功能修复相结合,为不同年龄段的患者量身定制个性化矫正方案,帮助他们在实现牙齿整齐的同时,收获健康咬合与自信笑容。
梁甲兴医生的成长轨迹与专业深耕,体现了他对口腔正畸事业的执着追求,他毕业于国内知名医科大学口腔医学专业,随后在公立三甲医院口腔科系统进修正畸学,师从国内多位权威正畸专家,掌握了从基础理论到临床实践的完整体系,为不断精进技术,他多次参与国内外正畸学术会议,积极学习前沿技术,如数字化正畸、隐形矫正、微种植体支抗等,并将所学应用于临床,他担任福建省口腔医学会正畸专委会委员、中华口腔医学会正畸专委会(CSA)会员等学术职务,在专业期刊上发表多篇关于青少年早期干预、成人复杂病例矫正的论文,其严谨的学术态度和临床成果在业内获得认可。

在技术特色上,梁甲兴医生以“精准、高效、舒适”为核心,构建了多元化的正畸技术体系,他擅长根据患者的牙齿畸形类型、骨骼发育情况、年龄及美观需求,灵活选择矫正方式,对于青少年患者,他注重早期干预,通过功能性矫治器、生长引导技术等,利用生长发育潜力纠正骨性畸形,避免成年后正颌手术;对于成人患者,他更兼顾功能与美学,结合隐形矫正(如隐适美、时代天使)、自锁托槽等技术,在缩短矫正周期的同时,减少对生活的影响,尤其对于骨性错颌畸形(如“地包天”“龅牙”)、牙齿严重拥挤、深覆合深覆盖等复杂病例,他通过数字化模拟设计(如口内扫描、3D打印模型)、微种植体支抗精准控制牙齿移动,实现了传统正畸难以达到的精细化效果。
为了让患者更直观了解不同矫正技术的特点,以下为梁甲兴医生常用的矫正方式对比:
| 矫正技术 | 适用人群 | 优势 | 矫正周期 | 美观度 |
|---|---|---|---|---|
| 金属自锁托槽 | 青少年、成人复杂病例 | 矫正效率高,复诊间隔长,口腔卫生易维护 | 5-3年 | 较低 |
| 陶瓷半隐形托槽 | 对美观要求较高的成人、青少年 | 托槽透明,贴近牙齿颜色,兼顾美观与强度 | 5-3年 | 中等 |
| 隐形矫正(隐适美) | 轻中度错颌、成人美观需求高 | 可摘戴,不影响饮食社交,舒适度高,3D可视化方案 | 6-24个月 | 高 |
| 舌侧矫正 | 对美观极致追求的成人 | 托槽完全隐藏于舌侧,完全隐形 | 2-3年 | 极高 |
| 微种植体支抗辅助 | 骨性畸形、牙齿严重扭转 | 精准控制牙齿移动,解决复杂支抗问题 | 根据病例调整 | 不影响美观 |
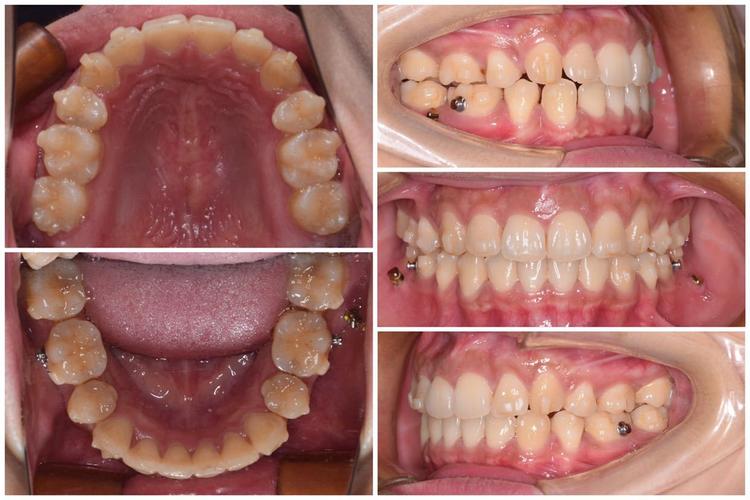
在临床实践中,梁甲兴医生始终坚持以患者为中心的服务理念,他认为,正畸不仅是“排齐牙齿”,更是“重建咬合功能与面部美学”的过程,在方案设计阶段,他会通过详细的面部分析、口腔检查、X光片测量及数字化模拟,与患者充分沟通,明确矫正目标(如改善侧貌、调整微笑曲线等),确保方案既符合医学标准,又契合患者个人需求,一位23岁的女性患者因“龅牙”导致自卑,梁医生在全面评估后,采用隐形矫正结合微种植体支抗,内收前牙改善突度,同时通过垂直向控制优化下颌平面,最终不仅牙齿排列整齐,侧貌也变得柔和自然,患者术后反馈“终于能自信大笑”。
梁医生对矫正过程中的细节把控尤为严格,从托槽粘贴的精准度到弓丝更换的力度,从复诊时口腔卫生的指导到附件粘接的美学考量,他都亲力亲为,最大限度减少患者的不适感,对于矫正后的保持阶段,他强调长期维护的重要性,为患者定制个性化保持器,并定期跟踪回访,防止复发。

相关问答FAQs
问题1:梁甲兴医生主要擅长解决哪些类型的牙齿问题?
解答:梁甲兴医生擅长处理各类常见的牙齿错颌畸形,包括但不限于:牙齿拥挤不齐、牙缝过大、龅牙(上颌前突)、地包天(反颌)、深覆合、深覆盖、开颌、偏颌等,尤其在复杂病例方面,如成人骨性畸形联合正畸正颌治疗、青少年早期骨性干预、多颗牙齿缺失后的正畸修复等领域积累了丰富经验,他对隐形矫正技术的应用熟练,可为不同需求的患者提供高效、美观的矫正方案。
问题2:在梁医生处进行正畸治疗,矫正周期一般是多久?会影响正常工作和生活吗?
解答:矫正周期因人而异,主要取决于牙齿畸形程度、所选矫正方式及患者的配合度,青少年简单病例的矫正周期为1.5-2年,成人复杂病例可能需要2-3年,隐形矫正的周期与传统托槽矫正相当,具体需通过面诊评估确定,关于对生活的影响,传统托槽矫正初期可能需要1-2周适应,期间需注意避免过硬、黏性食物;隐形矫正可自行摘戴,不影响饮食和口腔清洁,复诊间隔通常为4-8周,对工作和生活的干扰较小,梁医生会通过精细化治疗和定期复诊调整,尽量缩短矫正周期,提升患者的舒适体验。
