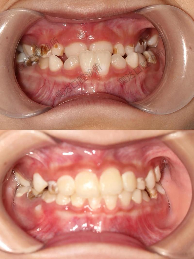
后牙反合是正畸临床中常见的错颌畸形类型,指上下颌后牙咬合时,上后牙舌尖(或舌面)咬合于下后牙颊尖(或颊面)的颊侧,或上下后牙无法达到正常尖窝相对的咬合关系,可发生于单侧或双侧,分为牙性反合、骨性反合及功能性反合三类,牙性反合主要与牙齿位置异常有关,骨性反合则涉及上下颌骨大小、位置不调,功能性反合常由肌肉功能异常或咬合干扰导致。
后牙反合的病因分析
后牙反合的形成是多因素共同作用的结果,具体可归纳为以下几类:

- 遗传因素:临床观察发现,部分后牙反合患者存在家族聚集现象,若父母有颌骨发育异常或反合病史,子女患病风险显著增加,可能与遗传基因对颌骨形态、牙齿萌出方向的调控有关。
- 不良口腔习惯:儿童时期长期吮指、咬物(如咬铅笔、咬唇)、偏侧咀嚼、口呼吸等习惯,可能导致上颌骨发育受限、下颌骨向反合侧偏斜,或牙齿萌出方向异常,进而引发后牙反合,长期偏侧咀嚼可使咀嚼侧肌肉过度发达,非咀嚼侧牙齿无正常咬合刺激,易发生颊向倾斜。
- 替牙期障碍:乳牙早失(如上颌乳磨牙早失,导致后牙间隙丧失)、乳牙滞留(阻碍恒牙正常萌出)、多生牙(占据正常萌出空间)或先天缺牙(如下颌第二前磨牙缺失),均可造成后牙区咬合关系紊乱,形成反合。
- 口腔疾病与外伤:严重的龋齿导致牙齿大面积缺损,或牙周病引起牙齿倾斜、移位,可能破坏后牙正常咬合关系;颌骨外伤若影响颌骨发育或牙齿位置,也可能继发后牙反合。
后牙反合的临床危害
后牙反合不仅影响口腔功能,还可能对全身健康及心理状态造成负面影响,具体表现为:
- 咀嚼功能下降:后牙承担主要咀嚼研磨功能,反合导致咬合接触面积减小、研磨效率降低,长期可能引发消化不良、胃肠功能紊乱。
- 咬合创伤与牙齿磨损:反合侧下后牙颊尖常与上后牙形成异常接触,易导致过度磨损,严重时可出现牙本质过敏、牙周创伤(如牙龈萎缩、牙槽骨吸收)。
- 面部发育与美观异常:单侧后牙反合长期可导致下颌偏向反合侧,面部中线偏斜,呈现“歪脸”外观;双侧骨性反合可能限制上颌骨发育,表现为“凹面型”,影响面部美观和心理自信。
- 颞下颌关节紊乱(TMD):咬合异常导致下颌运动轨迹紊乱,长期可诱发颞下颌关节弹响、疼痛、张口受限等TMD症状。
- 发音与口腔健康问题:后牙反合可能影响舌位,导致部分发音不清(如舌齿音);反合区易食物嵌塞,增加龋齿和牙周病风险。
后牙反合的诊断方法
明确后牙反合的类型、病因及严重程度是制定矫治方案的关键,需结合临床检查与影像学分析:
| 检查项目 | 临床意义 | |
|---|---|---|
| 临床视诊与触诊 | 观察面部对称性、中线是否对齐;检查反合部位(单侧/双侧)、牙数、覆颌覆盖关系;触诊关节区有无压痛。 | 初步判断骨性不对称、功能性偏斜及反合类型,明确是否伴TMD。 |
| 模型分析 | 制取上下颌石膏模型,测量反合区牙冠宽度、牙弓宽度,计算牙弓不调量。 | 精确评估牙量与骨量的关系,判断是否需要扩弓或减径。 |
| 影像学检查 | 曲面断层片:观察牙根位置、牙槽骨状况;头颅侧位片:测量SNA、SNB、ANB角,分析颌骨关系;CBCT:三维重建颌骨形态。 | 区分牙性反合(ANB角正常,牙齿代偿性倾斜)与骨性反合(ANB角异常,颌骨发育不调),明确骨性反合程度。 |
后牙反合的矫治原则与方法
后牙反合的矫治需根据患者年龄、类型、严重程度制定个体化方案,核心目标是恢复正常咬合关系、改善面部功能与美观。
乳牙期矫治(3-5岁)
针对功能性反合或轻度骨性反合,常用上颌颌垫式活动矫治器,通过颌垫打开咬合,引导下颌回到正中位,同时刺激上颌骨发育;若伴不良习惯(如吮指),需配合 habit breaker 矫治器破除习惯,疗程通常为6-12个月。

替牙期矫治(6-12岁)
混合牙列期是矫治后牙反合的关键时期,可通过以下方式干预:
- 活动矫治器:如上颌平面导板矫治器,适用于后牙反合伴深覆合,通过升高后牙咬合,纠正反合;
- 固定矫治器:如方丝弓矫治器,配合螺旋扩弓器或快速扩弓装置(RME),扩大上颌牙弓宽度,纠正牙性反合;对于骨性反合,可采用前方牵引面具,促进上颌骨向前发育,疗程约9-12个月。
恒牙期矫治(12岁后)
- 牙性反合:通过固定矫治器(如直丝弓、自锁托槽)排齐牙齿,配合Ⅲ类颌间牵引或微种植体支抗,纠正后牙反合;
- 骨性反合:若反合严重(ANB<-3°、面中份凹陷),需正畸-正颌联合治疗,先通过正畸排齐牙齿、调整咬合,再行正颌手术(如上颌Le Fort I型截骨术、下颌矢状劈开术)矫正颌骨位置,术后需保持1-2年。
功能性反合矫治
先通过调颌消除咬合干扰,再配合肌功能训练(如舌肌训练、颊肌训练),纠正异常肌肉动力平衡,防止复发。
矫治注意事项
- 保持器佩戴:矫治结束后需佩戴保持器(如 Hawley 保持器、透明保持器)至少2年,尤其夜间佩戴,防止复发;
- 口腔卫生维护:正畸期间使用正畸牙刷、牙线、冲牙器,清洁托槽周围食物残渣,预防龋齿和牙周炎;
- 定期复诊:每4-6周复诊调整矫治力,确保牙齿按计划移动;若出现托槽脱落、疼痛等异常,需及时就诊;
- 饮食管理:避免过硬(如坚果、骨头)、黏性(如口香糖、年糕)食物,防止矫治器损坏或牙齿脱位。
相关问答FAQs
Q1:后牙反合一定要矫正吗?
A:并非所有后牙反合都需立即矫正,若反合程度轻微(仅1-2颗牙反合、无咀嚼不适或面部不对称),可暂不处理;但若出现咀嚼效率下降、牙齿磨损、面部偏斜或TMD症状,建议及时矫正,否则可能加重颌骨发育异常或引发口腔问题。
Q2:成人后牙反合矫正难度比青少年大吗?
A:通常难度更大,成人颌骨已停止发育,骨性反合可能需正畸-正颌联合治疗;牙槽骨改建能力较弱,牙齿移动速度慢,矫治时间较长(一般2-3年),但成人配合度高,口腔卫生维护好,只要方案设计合理,仍可取得理想效果,且稳定性优于青少年。

