正畸摄影是指在正畸诊疗过程中,通过专业摄影设备对患者的面部、口腔及牙齿等部位进行系统性影像记录的技术,其核心目的是为正畸诊断、治疗计划制定、过程监控及效果评估提供客观、可重复的影像依据,作为正畸诊疗中不可或缺的辅助手段,正畸摄影贯穿于治疗前、治疗中及治疗后的全流程,是连接临床检查与治疗方案的重要桥梁。
正畸摄影的核心价值在于其“记录”与“对比”功能,相较于传统的口内检查或模型记录,摄影能够直观呈现患者的面部轮廓、微笑曲线、牙齿排列、咬合关系等关键信息,且便于长期保存和动态对比,通过治疗前后的面部正位对比,可清晰观察面部对称性的改善情况;通过口腔内部照片,可精准评估牙齿扭转、间隙关闭、覆覆盖调整等细节变化,这种可视化记录不仅提升了医患沟通效率,也为医生调整治疗方案提供了客观依据,是现代正畸精准化诊疗的重要支撑。

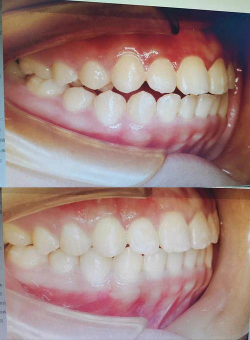
来看,正畸摄影可分为面部摄影和口腔内部摄影两大类,每类又包含多个特定体位,以全面覆盖正畸诊疗所需的影像信息,面部摄影主要包括正面像、侧面像(左侧、右侧)、微笑像及自然像等,正面像用于观察面部对称性、中线关系、面中份及面下份比例;侧面像则用于评估面部突度、颏部形态、上下颌骨位置关系及软组织轮廓;微笑像重点记录微笑时上露牙量、下唇与切牙关系、牙龈暴露情况等,是美学正畸设计的关键参考;自然像则捕捉患者放松状态下的面部表情,辅助评估软组织动态变化,口腔内部摄影则包括前牙区正面像、后牙区左右侧像、上颌及下颌咬合像、牙齿像(单颗牙或局部)等,前牙区正面像用于观察牙齿排列中线、扭转、拥挤情况;后牙区侧像重点记录后牙咬合关系、颊舌向位置;咬合像则展示上下牙列的咬合接触及覆覆盖情况;牙齿像则用于记录个别牙的龋坏、修复体或牙根吸收等细节。
为确保影像的规范性和可比性,正畸摄影需遵循严格的拍摄标准,设备选择上,通常使用单反相机或微单相机,搭配微距镜头(如90mm或100mm焦距)以实现近距离对焦,环形闪光灯或双闪光灯系统则可提供均匀无影的口腔内部照明,避免阴影干扰拍摄效果,拍摄参数方面,光圈一般设置在f/8-f/11以保证景深,快门速度不低于1/125秒避免手抖感,ISO尽量控制在100-400以减少噪点,拍摄体位需固定患者头部,使用头颅定位仪或自然头位法确保重复性,例如面部摄影时患者视线水平,耳屏鼻尖上唇三点一线;口腔摄影时患者张口充分,镜头与牙列平面平行,避免因角度偏差导致的影像变形,需在每张照片中加入参照物(如标尺或患者信息卡),确保影像的可追溯性。
正畸摄影的临床应用贯穿诊疗全程,治疗前,初始记录照片用于建立完整的病例档案,辅助医生进行诊断分析,如判断骨性错颌类型、制定拔牙方案、设计隐形矫正附件等;治疗中,阶段性照片(如每3-6个月一次)可监控牙齿移动进度,及时发现并调整治疗偏差,例如是否出现牙根吸收、咬合干扰等问题;治疗后,最终对比照片则直观呈现治疗效果,包括面部美学改善、牙齿排列整齐度、咬合功能恢复等,是评估治疗成功与否的重要依据,正畸摄影还可用于学术交流、病例讨论及教学示范,为正畸学科的发展提供丰富的影像资料。
随着数字化技术的发展,正畸摄影已从传统的胶片记录转向数字化存储与传输,配合AI图像分析技术,可实现牙齿角度、间隙大小等参数的自动测量,进一步提升诊疗效率,但无论技术如何进步,正畸摄影的核心始终在于“精准记录”与“临床价值”,只有规范的操作流程和严谨的拍摄态度,才能确保影像资料真正服务于正畸诊疗,帮助患者实现功能与美学的双重改善。

相关问答FAQs
Q1:正畸摄影和普通口腔摄影有什么区别?
A:正畸摄影与普通口腔摄影在目的、内容及规范上存在显著差异,普通口腔摄影主要用于口腔疾病的常规记录(如龋齿、牙周病),拍摄范围较局限,重点在于病变细节;而正畸摄影是系统性、多角度的影像记录,需涵盖面部轮廓、口腔牙列、咬合关系等全面信息,且强调治疗前后的一致性和可比性,其核心目的是为正畸诊断、方案设计及效果评估提供依据,正畸摄影对拍摄体位、光线、参照物等有更严格的标准,以确保影像的规范性和可重复性。
Q2:正畸治疗过程中需要拍摄多少次照片?
A:正畸治疗中照片的拍摄频率需根据治疗阶段和患者具体情况而定,一般情况下,初始治疗时需拍摄全套记录照片(面部正侧位、微笑像、口腔内部各角度像);治疗过程中,每3-6个月拍摄一次阶段性照片(重点监控牙齿移动变化);治疗结束后,需拍摄最终对比照片(与初始照片全面对比),对于复杂病例或需精细调整的阶段(如关闭拔牙间隙、调整咬合),可能会增加拍摄频率,通过规律的照片记录,医生可动态评估治疗进展,确保治疗效果符合预期。

