异位牙是指牙齿在萌出过程中偏离了正常解剖位置,导致其出现在牙弓外、邻牙颊侧或舌侧、甚至颌骨内等异常区域,这类情况不仅影响口腔功能与美观,还可能引发邻牙牙根吸收、囊肿形成、牙周病变等问题,正畸治疗作为异位牙干预的重要手段,通过科学的设计与技术手段,可引导异位牙正常萌出或调整至理想位置,恢复口腔健康与功能,本文将围绕异位牙的分类、正畸治疗原则、方法及注意事项展开详细阐述。
异位牙的分类与临床特点
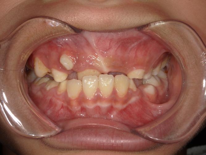
异位牙可根据萌出位置、状态及方向进行分类,不同类型的异位牙在正畸治疗中的策略也有所差异,以下为常见分类及临床特点:

| 分类类型 | 定义与特点 | 常见牙齿 | 临床表现 |
|---|---|---|---|
| 萌出位置异常 | 牙齿萌出于牙弓唇侧、颊侧、舌侧或腭侧,偏离正常牙列位置。 | 上颌尖牙、下颌前磨牙 | 唇侧异位可见牙冠突出于牙弓外;腭侧异位可能导致牙列拥挤,表面黏膜色白或凹陷。 |
| 萌出方向异常 | 牙齿萌出方向倾斜,近中、远中、垂直或水平偏离,未能与牙列平面平行。 | 智齿、上颌尖牙 | 近中倾斜可能顶住邻牙远中面,导致邻牙龋坏或牙根吸收;水平阻生完全埋于骨内。 |
| 阻生牙 | 牙齿部分或完全埋伏于颌骨内,因萌出间隙不足、萌出障碍或位置异常无法正常萌出。 | 智齿、上颌尖牙、下颌前磨牙 | 无临床症状时多因体检发现;伴发感染时可见局部肿胀、疼痛,或形成含牙囊肿。 |
| 额外牙 | 超出正常牙数(乳牙20颗、恒牙28-32颗)的牙齿,常伴随萌出位置异常。 | 上颌中切牙区“正中牙” | 导致牙列拥挤、邻牙牙根吸收,或影响恒牙正常萌出路径。 |
异位牙的正畸治疗原则
正畸治疗异位牙需遵循“评估先行、个体设计、多学科协作”的原则,具体包括以下核心要点:
全面评估,明确诊断
治疗前需通过临床检查(口内检查、牙齿松动度、咬合关系)、影像学检查(根尖片、曲面断层片、CBCT)及模型分析,明确异位牙的位置、方向、牙根发育情况、与邻牙及重要解剖结构(如下颌神经管、上颌窦)的关系,CBCT可清晰显示埋伏牙的唇腭侧位置、牙根弯曲程度,为手术方案提供精准依据。
把握治疗时机
- 儿童青少年:8-14岁为黄金时期,此时颌骨处于生长发育阶段,骨改建能力强,牙齿移动效率高,上颌尖牙腭侧异位在混合牙列期(10-12岁)干预,可通过扩弓或邻牙去创造间隙,引导尖牙正常萌出。
- 成人:需评估牙周健康状况,无严重牙周炎者可行正畸治疗,但疗程可能延长,需配合牙周维护。
多学科协作
复杂异位牙(如埋伏牙位置深、与神经管相邻)需联合口腔外科进行外科开窗术、去骨术或牙槽骨修整;若伴发囊肿,需先由外科处理囊肿再行正畸牵引;存在牙根吸收风险时,需牙周科定期监测牙根状况。
异位牙的正畸治疗方法
根据异位牙的类型、位置及患者年龄,正畸治疗可采用不同的技术组合,核心目标是“创造间隙-暴露牙冠-牵引移动-精细调整”。

开窗助萌术联合正畸牵引
适用于完全埋伏牙(如上颌尖牙、下颌前磨牙),通过外科手术暴露牙冠,粘接牵引装置,再通过正畸力将其牵引至牙列内。
- 步骤:
① 外科开窗:局部麻醉下切开牙龈,去除埋伏牙表面的骨质及骨皮质,暴露牙冠(注意保留牙周附着);
② 粘接牵引装置:在牙冠上粘接托槽或牵引钩,用结扎丝与弓丝连接(或使用隐形矫治器的附件);
③ 正畸牵引:施加轻柔持续力(50-100g),每4-6周复诊调整牵引方向,直至牙齿达到理想位置;
④ 精细调整:牵引到位后,通过垂直牵引或颌间牵引改善咬合关系,关闭剩余间隙。
扩弓与间隙创造
因间隙不足导致的异位牙(如牙列拥挤引起的尖牙唇侧异位),需先通过扩弓(如螺旋扩弓器、快速扩弓器)或邻牙去釉(邻面去釉0.5-1.0mm/牙)创造足够间隙,再行牙齿移动,上颌牙弓狭窄伴尖牙唇侧异位时,可使用扩弓器增加横向宽度,为尖牙提供萌出空间。
隐形矫治技术
对于部分萌出方向异常的牙齿(如轻度近中倾斜的前磨牙),隐形矫治器可通过个性化附件和序列牙移动设计,逐步将异位牙调整至正常位置,其优势在于美观、舒适,且便于口腔清洁,适用于对美观要求高的成人患者。
种植体支抗辅助牵引
当需要强支抗时(如将严重腭侧异位的尖牙牵引至牙列内,避免支抗牙前移),可植入微种植体支抗,通过种植体提供稳定的牵引力,提高治疗效率,种植体通常植入于上颌后牙区或下颌外斜线区域,操作简单,创伤小。
治疗中的注意事项与并发症预防
- 力值控制:牵引力过大易导致牙根吸收、牙周损伤,需采用“轻力”原则,避免超过牙齿的生理限度;
- 口腔卫生维护:正畸治疗中戴用矫治器易存食物残渣,需加强菌斑控制,预防牙龈炎、龋病;
- 定期复查:每2-4周复诊监测牙齿移动情况,及时调整牵引方向及力值,避免牙齿倾斜或扭转;
- 并发症处理:若出现牙根吸收(通过CBCT监测),需减小牵引力或暂停治疗;伴发感染时,需先抗感染治疗,必要时拔除无法保留的异位牙。
相关问答FAQs
Q1:异位牙正畸的最佳时机是什么?儿童和成人治疗有何区别?
A:儿童青少年(8-14岁)是异位牙正畸的黄金时期,此时颌骨处于生长发育阶段,骨改建能力强,牙齿移动效率高,且恒牙根发育未完成,牵引后更易稳定,上颌尖牙腭侧异位在混合牙列期干预,可通过扩弓或间隙调整引导其正常萌出,避免成年后复杂治疗,成人患者因颌骨停止发育,牙根发育完成,移动速度较慢,且需评估牙周健康状况(无严重牙周炎者可行治疗),疗程可能延长,但通过种植体支抗等技术仍可取得良好效果。
Q2:异位牙正畸后为什么会复发?如何预防?
A:复发的主要原因是牙齿周围肌肉平衡未重建(如唇肌力量过强导致唇侧异位牙复发)、保持时间不足或邻牙移位,预防措施包括:① 延长保持时间,复杂病例(如埋伏牙牵引)需保持1-2年以上,夜间佩戴保持器;② 使用固定保持器(如下颌前牙舌侧丝)与活动保持器(Hawley保持器)联合,增强稳定性;③ 定期复查(每3-6个月),及时发现邻牙移位并调整;④ 避免用牙开瓶等不良习惯,减少牙齿受力异常。
