拜博口腔网

正畸方形勾托槽

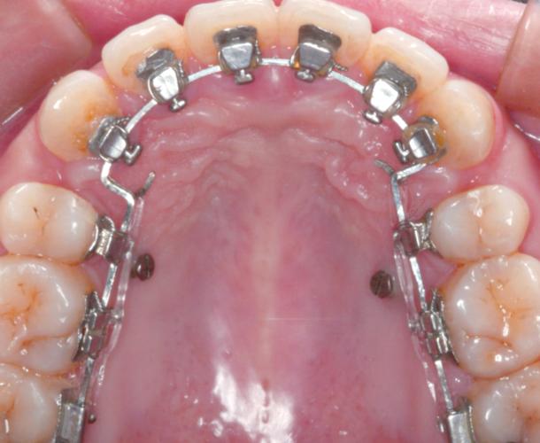
正畸方形勾托槽是口腔正畸治疗中常用的固定矫治器核心组件,其设计融合了力学原理与临床需求,通过精准传递矫治力引导牙齿向理想位置移动,与传统圆形托槽相比,方形勾托槽的核心特征在于“方形槽沟”与“勾状结构”的协同作用:基底多为金属(如不锈钢)或陶瓷材质,经酸蚀处理以增强与牙面的粘接固位力;槽沟呈标准方形,内径与方形弓丝(如镍钛方丝、不锈钢方丝)精准匹配,形成“面面接触”的嵌合关系;翼部设有结扎翼,便于医生用结扎丝或弹性圈固定弓丝;槽沟两侧或底部则设计有“勾”,辅助防止弓丝滑脱,增强稳定性,这种结构使其在复杂牙齿移动中展现出独特优势。

方形勾托槽的核心优势在于高精度的三维控制能力,方形槽沟通过限制弓丝在槽沟内的旋转和倾斜,使矫治力能够精准作用于牙齿的近远中、垂直向及颊舌向三个维度,在矫正牙齿扭转时,方形弓丝嵌入槽沟后,可通过“旋转加力”直接调整牙冠方向;在压低前牙或伸长后牙时,槽沟的方形结构能避免弓丝发生“颊舌向摆动”,确保力量垂直传递,部分方形勾托槽搭配低摩擦材料(如陶瓷滑道)或自锁设计,可减少弓丝与托槽间的摩擦力,降低牙齿移动阻力,缩短治疗周期,尤其适用于中重度拥挤、深覆合、深覆盖等复杂病例。

正畸方形勾托槽-图1
(图片来源网络,侵删)

在临床应用中,方形勾托槽的适用范围广泛,青少年恒牙列早期矫治中,可用于解决牙列拥挤(通过扩弓或邻面去解除拥挤)、牙齿异位萌出等问题;成人正畸中,则能满足对牙齿转矩、轴倾度的精细调整需求,如改善“露龈笑”时需压低上前牙、纠正骨性畸形导致的牙齿代偿等,对于追求美观的患者,还可选择陶瓷材质方形托槽,其颜色接近牙齿,减少“钢牙” appearance,提升治疗依从性。

与传统圆形托槽的对比差异显著,具体如下表所示:

对比维度 方形勾托槽 圆形托槽
槽沟形态 方形,与方丝嵌合紧密 圆形,与圆丝适配
控制精度 高,可限制三维移动 中,主要控制近远中移动
适用病例 复杂错颌(扭转、转矩调整) 简单病例(轻度拥挤、间隙关闭)
弓丝类型 方丝为主(镍钛方丝、不锈钢方丝) 圆丝为主(镍钛圆丝、不锈钢圆丝)
操作难度 较高,需精准粘接 较低,操作简便
美观度 金属款明显,陶瓷款较美观 体积较小,相对美观

使用方形勾托槽时,需注意以下事项:一是精准粘接,托槽位置偏差(如近远中、垂直向误差)可能导致牙齿移动异常,需由经验丰富的医生操作;二是口腔卫生维护,托槽的“勾”和结扎翼易存食物残渣,需配合正畸专用牙刷、牙缝刷、冲牙器清洁,预防龋齿和牙龈炎;三是饮食禁忌,避免啃咬硬物(如坚果、骨头)、黏性食物(如口香糖),防止托槽脱落或“勾”变形;四是定期复诊,通常4-6周复诊一次,医生会调整弓丝力度和结扎方式,确保矫治力持续有效。

FAQs
问:方形勾托槽和圆形托槽如何选择?
答:选择需依据错颌畸形类型和矫治目标:简单病例(如轻度牙列拥挤、散在间隙)可选用圆形托槽,操作简便、成本较低;复杂病例(如牙齿扭转、深覆合、需精细转矩调整)则优先选择方形勾托槽,其高控制精度能确保矫治效果,成人正畸或对美观要求高的患者,可考虑陶瓷材质方形托槽,兼顾功能与美观。

正畸方形勾托槽-图2
(图片来源网络,侵删)

问:使用方形勾托槽后,饮食上有哪些特别注意?
答:需严格避免“硬、黏、脆”食物:硬物(如坚果、螃蟹壳)可能导致托槽“勾”变形或脱落;黏性食物(如口香糖、年糕)易粘附在托槽和弓丝上,难以清洁且可能带脱托槽;脆性食物(如薯片)需用手掰成小块,用后槽牙咀嚼,避免前牙啃咬,建议饮食以温软、易咀嚼为主,进食后及时用清水或漱口水冲洗口腔,减少食物残渣滞留。

正畸方形勾托槽-图3
(图片来源网络,侵删)
分享:
扫描分享到社交APP
上一篇
下一篇