扩弓矫正是一种常见的牙齿矫正方式,主要用于解决牙弓狭窄、牙齿拥挤、后牙反颌(地包天的一种表现)等问题,通过扩大上颌或下颌牙弓的宽度,为牙齿排列提供足够空间,改善咬合功能和面部美观,矫正完成后,患者通常会对效果充满期待,而“扩弓矫正牙齿后的图片”也成为直观展示矫正成果的重要载体,这些图片不仅能帮助患者清晰看到牙齿排列、牙弓形态及面部轮廓的变化,也为医生评估矫正效果、调整后续方案提供依据。
扩弓矫正后图片的核心内容与观察重点
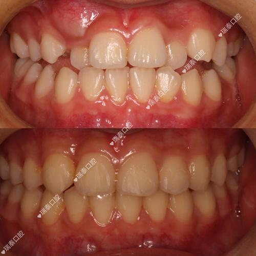
扩弓矫正后的图片通常包括口腔内口内照和面部外拍照两大类,从不同角度展现矫正效果。

口腔内口内照:关注牙齿与牙弓的细节变化
口内照是评估扩弓矫正效果的核心,需从多个维度观察:
- 牙齿排列与拥挤解除情况:矫正后,原本拥挤的牙齿应整齐排列在扩宽的牙弓内,无扭转、重叠或明显间隙(除非设计需要保留间隙),上颌前牙若因牙弓狭窄导致内倾,扩弓后应恢复正常的唇倾度,与牙弓弧度协调。
- 牙弓形态与宽度改善:扩弓的目标之一是形成对称、圆润的牙弓形态,图片中可见上下颌后牙(如第一磨牙、第二磨牙)的颊尖宽度增加,后牙段咬合关系从反颌(上后牙舌向、下后牙颊向)转为正常的中性咬合或浅覆颌、浅覆盖。
- 咬合关系调整:重点观察后牙咬合是否稳定,上下颌后牙是否有良好的尖窝交错关系;前牙覆颌(上前牙覆盖下前牙的垂直距离)和覆盖(上前牙覆盖下前牙的水平距离)是否恢复正常(通常覆颌≤1/3牙冠高度,覆盖≤4mm)。
- 牙周健康状态:矫正后牙龈应无明显红肿、萎缩,牙齿周围无食物嵌塞或牙结石堆积,说明扩弓过程中牙周组织得到了良好恢复。
面部外拍照:展现面部轮廓与协调性
扩弓矫正不仅影响牙齿,还可能对面部美观产生积极影响,尤其是针对骨性或牙性反颌患者:
- 正面观:面部中线是否对齐(上下颌中线与面部中线一致),两侧面部轮廓是否对称,对于上颌狭窄导致的“窄长脸”,扩弓后面中部(颧骨区域)可能更显饱满,面型从“尖窄”趋向“协调”。
- 侧面观:唇部突度改善明显,若患者原本因牙弓狭窄导致下颌前突(地包天),扩弓后上前牙可适当唇移,覆盖下前牙,侧面轮廓线更柔和,颏部(下巴)不再过度前突。
- 微笑照:微笑时暴露牙齿数量(理想为6-8颗上前牙)、牙龈曲线是否自然,以及嘴角对称性,这些都能直观反映矫正对面部美观的提升。
不同阶段扩弓矫正后图片的特点
扩弓矫正后的图片可分为刚拆除矫治器时和保持期后两个阶段,效果存在差异:
- 刚拆除矫治器时:牙齿排列整齐,牙弓宽度已达到设计目标,但牙周组织(牙槽骨、牙龈)尚未完全稳定,可能存在轻微的牙齿松动或牙龈轻微肿胀,属于正常现象。
- 保持期后(通常3-6个月):随着牙周改建完成,牙齿位置更稳定,牙龈形态更自然,此时拍摄的照片更能反映长期效果,若患者严格佩戴保持器,效果可长期维持。
以下表格总结了不同角度扩弓矫正后图片的观察重点:

| 观察角度 | 图片重点 | 典型表现 |
|---|---|---|
| 口腔内正面照 | 牙齿排列、牙弓宽度、中线对齐 | 牙齿无拥挤,牙弓呈对称弧形,上下颌中线一致 |
| 口腔内侧面照(咬合位) | 后牙咬合关系、前牙覆颌覆盖 | 后牙尖窝交错,前牙覆颌≤1/3牙冠高度,覆盖≤4mm |
| 面部正面照 | 面部对称性、面中部饱满度 | 两侧面部轮廓对称,上颌狭窄改善后面中部更圆润 |
| 面部侧面照 | 唇部突度、下颌位置 | 上前牙唇移,覆盖下前牙,下颌不再前突 |
影响扩弓矫正后图片效果的因素
并非所有扩弓矫正后的图片效果完全一致,以下因素可能导致差异:
- 矫正方案设计:是否准确判断牙弓狭窄的原因(骨性/牙性),选择合适的扩弓方式(如快速扩弓RME、慢速扩弓HME),直接影响牙弓扩宽程度和稳定性。
- 患者配合度:矫正中是否遵医嘱佩戴扩弓器(如每天12-14小时)、避免咀嚼过硬食物,以及矫正后是否坚持佩戴保持器(通常至少1-2年),均会影响效果的维持。
- 个体差异:年龄(青少年骨改建能力强,效果更明显)、原始错颌类型(单纯牙性拥挤比骨性狭窄矫正效果更易稳定)、牙周健康状况(牙周炎患者可能影响牙槽骨改建)等,都会导致图片效果的差异。
扩弓矫正后图片的注意事项
- 图片仅供参考:矫正效果因人而异,图片展示的“理想效果”需结合个体实际情况,避免过度期待。
- 定期复查与拍摄:矫正后需按医生要求定期复查(如拆除矫治器后1个月、3个月、6个月),医生会通过拍摄新图片对比效果,及时处理问题(如牙齿轻微移位)。
- 保持器的重要性:即使矫正后图片效果满意,若不佩戴保持器,牙齿可能因牙周组织记忆性回缩导致复发,之前的效果将大打折扣。
相关问答FAQs
Q1:扩弓矫正后面型变化一定很明显吗?
A1:不一定,面型变化的明显程度取决于原始错颌类型和骨骼基础,若患者仅为单纯牙性狭窄(如牙齿拥挤但颌骨宽度正常),扩弓主要改善牙齿排列,对面型影响较小;若存在骨性狭窄(如上颌发育不足导致面中部凹陷),扩弓后面中部饱满度、唇部突度等会有较明显改善,年龄越小,骨骼改建能力越强,面型改善潜力越大。
Q2:扩弓矫正后牙齿会反弹吗?如何避免?
A2:扩弓后存在反弹风险,尤其是骨性扩弓后,若牙槽骨改建未完成即停止保持,牙齿可能向原始位置移动,避免反弹的关键:①严格佩戴保持器(通常建议全天佩戴6个月,后改为夜间长期佩戴);②避免用前牙啃咬硬物、口呼吸等不良习惯;③定期复查,若发现牙齿轻微移位,及时通过保持器或简单调整矫正。

