23岁完全可以通过牙齿矫正改善牙齿排列问题,牙齿矫正的核心原理是利用牙齿移动性,通过持续、轻柔的力引导牙槽骨改建,这一过程与年龄无直接关联,关键在于牙周组织的健康状况,只要牙周健康、无严重骨性畸形,成年后矫正不仅可行,还能获得理想效果。
牙齿移动的基础是牙周膜内的细胞反应,无论青少年还是成年人,只要牙周组织(牙龈、牙槽骨、牙周膜)健康,都能在力的作用下发生改建,成年人的牙槽骨密度可能更高,移动速度相对青少年稍慢,但通过延长矫正时间或调整加力频率,完全可以达到预期效果,临床数据显示,25-35岁成年正畸患者占比逐年上升,不少案例中,成年人的配合度甚至高于青少年,矫正效果更稳定。

23岁矫正的优势较为明显:配合度高,23岁人群通常具备较强的自律性,能严格遵循医嘱进行口腔清洁、佩戴橡皮筋等,减少矫正过程中的并发症;需求明确,成年人对矫正后的美观、功能有清晰预期,与医生沟通更高效,方案设计更贴合个人需求,比如避免拔牙或优先考虑面部美学;伴随口腔问题综合改善,成年人口腔可能存在牙周炎、牙齿磨损、颞下颌关节紊乱等问题,矫正前可同步进行牙周治疗、修复体制作,实现“矫治+修复”一体化效果,提升长期稳定性。
23岁矫正也可能面临挑战:时间成本方面,矫正周期通常为1-3年,可能影响工作或社交安排;美观顾虑,传统金属托槽可能影响形象,尤其对外交、销售等职业;经济压力,成年矫正多需自费,费用从1万到5万不等,具体取决于矫正方法和复杂程度。
不同矫正方法各有特点,可根据需求选择:
| 矫正方法 | 优点 | 缺点 | 适用人群 |
|---|---|---|---|
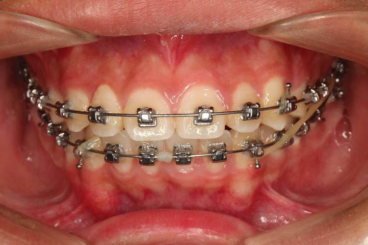
| 传统金属托槽 | 性价比高,适用复杂病例,力度稳定 | 美观度低,易刮嘴,清洁难度大 | 牙齿畸形复杂、预算有限者 |
| 陶瓷托槽 | 颜色接近牙齿,较隐蔽,强度适中 | 脆性较高,价格稍高,易染色 | 对美观有要求、非复杂病例者 |
| 隐形矫正 | 美观舒适,可自行摘戴,方便清洁 | 价格高(3-5万),需自律佩戴,复杂病例受限 | 社交需求高、预算充足、自律性强者 |
| 舌侧矫正 | 完全隐蔽,不影响美观 | 价格昂贵(5-10万),清洁难度极大,适应期长 | 对美观要求极高、不介意高成本者 |
矫正前需注意:进行全面口腔检查,包括牙周状况、龋齿、根尖周炎等,必要时先进行牙周治疗(如洗牙、刮治),确保牙周健康;选择正规医疗机构和认证的正畸医生,医生经验直接影响方案设计和矫正效果;矫正后必须佩戴保持器,前两年需全天佩戴,之后逐步过渡到夜间佩戴,防止复发;矫正期间加强口腔清洁,使用正畸牙刷、牙线、冲牙器等,避免托槽周围龋坏。

相关问答FAQs
-
23岁矫正牙齿会不会比小时候慢?
成年人的牙槽骨密度较高,牙齿移动速度可能比青少年慢10%-20%,但通过合理延长矫正周期或调整加力频率,最终效果与青少年无异,只是时间可能稍长,医生会根据骨密度、移动距离等制定个性化方案,无需过度担心速度问题。 -
矫正后牙齿会反弹吗?
矫正后牙齿存在反弹风险,尤其是未佩戴保持器或不良习惯(如吐舌、夜磨牙)未纠正,严格佩戴保持器是维持矫正效果的关键,通常建议夜间佩戴至少2年,部分人群需长期佩戴,定期复查可及时发现并处理潜在复发问题。

