24岁是否可以进行牙齿矫正,是许多年轻人关心的问题,牙齿矫正并没有严格的年龄限制,只要牙周健康状况允许,任何年龄段都可以进行矫正,24岁不仅可行,反而具有一些独特的优势,随着年龄增长,人们对美的需求更明确,经济独立性也更强,能够更好地配合治疗,因此成为矫正的“黄金年龄”之一。
24岁矫正牙齿的可行性:打破年龄误区
牙齿矫正的核心原理是通过施加持续、温和的力,引导牙齿在牙槽骨内移动,最终排列整齐并建立稳定的咬合关系,这一过程依赖的是牙周组织的改建能力,而非年龄本身,成年人的牙槽骨虽然 remodeling 速度较青少年稍慢,但只要牙周健康(无严重的牙龈萎缩、牙槽骨吸收等问题),完全可以通过矫正改善牙齿问题,临床上,24岁患者的牙根发育已完成,牙齿移动更可控,矫正效果反而更稳定。

24岁矫正的独特优势
相较于青少年,24岁群体进行矫正往往具备以下优势:
- 配合度高:成年患者能清晰理解矫正目标,主动遵守医嘱(如按时复诊、注意口腔清洁),减少因配合不当导致的治疗延误。
- 需求明确:24岁对“美观”和“功能”的需求更具体,例如希望改善“龅牙”“牙缝过大”等问题,或解决因咬合异常导致的咀嚼疼痛、颞下颌关节紊乱,矫正目标更聚焦。
- 经济独立:矫正费用通常在1万-5万元不等(根据矫正方式和难度),24岁多已具备经济能力,无需依赖家庭支持,能选择更适合自己的矫正方案。
- 时间自主:虽然矫正周期较长(平均1.5-3年),但成年人可自主安排复诊时间,避免因学业影响治疗进度。
矫正前必须关注的注意事项
24岁矫正前,需做好充分准备,确保治疗安全有效:
- 全面口腔检查:需拍摄全景片、头颅侧位片,评估牙根长度、牙槽骨状况,是否存在龋齿、牙周炎等问题,若有牙周炎,需先控制炎症再开始矫正;严重龋齿需先补牙。
- 选择矫正方式:根据美观需求、预算和牙齿畸形程度选择合适方式(详见下表)。
- 心理预期管理:矫正过程中可能出现牙齿酸痛、口腔溃疡等暂时不适,需提前了解并保持耐心;矫正后需长期佩戴保持器,防止复发。
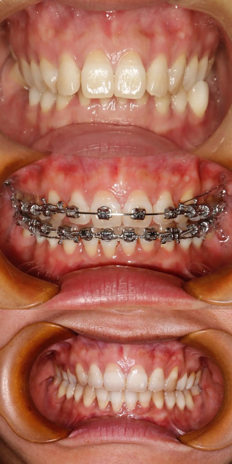
主流矫正方式对比
| 矫正方式 | 美观度 | 舒适度 | 价格区间(万元) | 清洁难度 | 适用情况 |
|---|---|---|---|---|---|
| 传统金属托槽 | 低 | 一般 | 1-2 | 易 | 复杂错颌(如牙列拥挤、反颌) |
| 陶瓷托槽 | 中 | 一般 | 5-3 | 较易 | 对美观有要求,预算中等 |
| 隐形矫正(如隐适美) | 高 | 好 | 3-5 | 难 | 轻中度错颌,注重美观 |
| 舌侧矫正 | 极高 | 一般 | 5-10 | 难 | 对美观要求极高,预算充足 |
矫正流程与周期
24岁矫正通常分为四个阶段:
- 方案设计(1-2周):医生根据检查结果制定个性化方案,患者确认后开始准备。
- 矫治器粘接/佩戴(1-3天):传统托槽需粘接在牙齿表面,隐形矫正则需定制牙套并首次佩戴。
- 主动矫正期(1.5-3年):每4-6周复诊一次,调整矫治力,直至牙齿排列整齐、咬合稳定。
- 保持期:拆除矫治器后,佩戴保持器(通常夜间佩戴至少2年,部分需终身佩戴),防止复发。
费用与效果保障
矫正费用因地区、医生资质和矫正方式差异较大,一线城市价格通常高于二三线,建议选择正规口腔医院或连锁机构,确认医生是否具备正畸专科资质,虽然矫正费用较高,但长期来看,整齐的牙齿能提升自信、降低牙周病风险,改善咀嚼功能,性价比极高。

相关问答FAQs
Q1:24岁矫正牙齿会不会影响工作社交?
A:传统金属托槽初期可能影响美观,但隐形矫正可摘戴,完全不影响社交和职场形象;即使选择传统托槽,1-2周后即可适应,复诊时间可安排在下班后,对工作影响较小。
Q2:矫正后牙齿会反弹吗?如何避免?
A:矫正后牙齿存在反弹可能,主要原因是牙槽骨改建未完全稳定及口腔习惯(如咬唇、夜磨牙),为降低反弹风险,需严格佩戴保持器:初期(拆除后6-12个月)需全天佩戴,之后过渡到夜间佩戴,建议至少坚持2年,部分患者需终身佩戴。

