龅牙矫正过程中,牙齿的移动是核心环节,而通过视频记录这一过程不仅能直观展现矫正效果,还能帮助患者理解牙齿移动的生物学原理和阶段性变化,牙齿并非在牙槽骨中“硬性滑动”,而是在正畸力的作用下,通过牙周组织的改建实现位置调整,这种改建涉及施力侧牙槽骨的吸收和张力侧牙槽骨的沉积,是一个缓慢且精细的生物学过程,龅牙矫正视频通常会记录从初始排齐、内收前牙到精细调整的全过程,通过影像对比让患者清晰看到牙齿如何从拥挤、前突的状态逐渐排列整齐,改善面部侧貌。
牙齿移动的生物学基础与矫正阶段
牙齿移动的本质是牙周组织的改建,当牙齿受到适宜的正畸力(通常轻力持续)时,牙根周围的牙槽骨会发生反应:施力侧的牙周膜受压,破骨细胞被激活,吸收牙槽骨;张力侧的牙周膜受牵拉,成骨细胞活跃,沉积新骨,通过这种“一边溶解、一边重建”的动态平衡,牙齿逐渐移动到目标位置,龅牙矫正由于涉及前牙的内收和牙弓的调整,其牙齿移动过程更具复杂性,通常可分为以下几个阶段,每个阶段在视频中都有明确的特征表现:

矫正阶段与牙齿移动特点(表格呈现)
| 阶段 | 时间范围 | 主要移动目标 | 牙齿移动表现 | 视频中可观察的细节 |
|---|---|---|---|---|
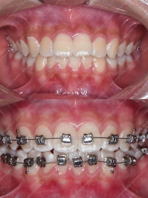
| 初始排齐整平阶段 | 1-3个月 | 解除牙齿拥挤,整平牙弓曲线 | 扭转、倾斜的牙齿逐渐直立,牙弓形态初步形成;可能存在暂时性牙齿酸痛、发音轻微变化 | 托槽粘接后弓丝入槽的动态过程;口内照片对比显示牙齿排列整齐度提升;牙齿移动轨迹的微观变化 |
| 磨牙调整与前牙内收阶段 | 3-9个月 | 调整磨牙关系,关闭拔牙间隙(如有),内收前牙 | 前牙向舌侧移动,改善突度;磨牙根据方案前移或后移;牙根逐渐平行 | X光片显示牙根平行度变化;面部轮廓侧貌对比(鼻唇角改善);模型间隙逐渐缩小;前牙与唇部距离变化 |
| 细节精细调整阶段 | 9-12个月 | 优化牙冠形态、咬合关系、邻接点 | 牙齿垂直高度调整,咬合接触点精准匹配;邻接关系紧密,避免食物嵌塞 | 咬合纸显示的咬合接触点变化;牙齿边缘嵴对齐情况;微笑时牙齿对称性和美观度提升 |
| 保持阶段 | 12个月后 | 稳定矫正结果,防止复发 | 牙齿位置固定,牙槽骨骨密度逐渐恢复,牙周组织改建完成 | 保持器佩戴前后对比;牙槽骨骨密度恢复的影像资料;长期随访中牙齿稳定性记录 |
龅牙矫正视频中的关键内容解读
龅牙矫正视频通常包含模拟动画、真实案例记录、数字化模型等多种形式,从不同维度展现牙齿移动过程。真实案例延时摄影是最直观的类型,通过每月或每季度拍摄口内照片、面部照片和X光片,串联起牙齿位置的变化,初期视频可能显示上颌前牙与唇部距离较大,笑时牙龈暴露过多;随着内收阶段推进,视频中可见前牙逐渐“后退”,唇部丰满度改善,侧面轮廓线条更流畅。
3D数字化模拟视频则基于患者的口腔扫描数据,通过计算机模拟牙齿移动路径,这类视频能提前展示矫正后的预期效果,包括牙齿排列、咬合关系甚至面部变化,帮助患者理解矫正方案的可行性,对于需要拔牙的龅牙患者,视频会模拟拔牙间隙如何通过前牙内收逐渐关闭,避免“牙齿空隙无法关闭”的误解。
视频还会记录辅助工具的使用效果,如橡皮筋(牵引力)如何调整磨牙关系,扩弓器如何改善牙弓宽度等,视频中可能展示患者如何佩戴橡皮筋,以及几周后磨牙位置的变化,直观体现“精准施力”对牙齿移动方向的控制。
矫正过程中的注意事项与视频的辅助作用
虽然视频能展现牙齿移动的宏观变化,但矫正效果的核心在于“个体化方案”和“患者配合”,龅牙矫正中,牙齿移动速度受多种因素影响:年龄(青少年牙槽骨改建快,移动效率高)、牙槽骨密度(密度越高,移动越慢)、口腔卫生状况(牙周炎患者需先控制炎症才能矫正)等,视频中记录的“理想移动速度”(如每月前牙内收1mm)仅作参考,实际需根据医生复诊时的检查结果动态调整。

视频的另一个重要作用是增强患者依从性,通过对比不同阶段的牙齿状态,患者能直观感受到矫正进展,从而更主动地配合治疗,如正确佩戴橡皮筋、保持口腔卫生、避免啃硬物等,视频中若显示某患者因频繁吃硬物导致托槽脱落,医生可通过视频案例提醒其他患者注意饮食,减少矫正意外。
相关问答FAQs
问题1:龅牙矫正牙齿移动视频能准确预测我的矫正效果吗?
解答:视频中的模拟动画或案例效果可作为参考,但无法完全预测个人结果,矫正效果受牙齿原始位置、牙槽骨条件、年龄、配合度等多种因素影响,成年患者的牙槽骨改建速度慢于青少年,可能需要更长的矫正时间;而存在牙周问题的患者,需先治疗炎症才能开始矫正,实际效果可能与视频中的“理想案例”存在差异,视频只能辅助理解矫正原理,具体方案需通过专业口腔检查和个性化设计确定。
问题2:观看矫正牙齿移动视频时,哪些细节需要重点关注?
解答:重点关注三个核心细节:①牙齿移动的阶段性:观察视频是否按“排齐→内收→精细调整”的顺序推进,避免跳跃式变化(如未排齐直接内收可能导致牙齿倾斜);②牙根位置变化:通过X光片对比看牙根是否逐渐平行,牙根平行是咬合稳定的关键;③面部轮廓改善:注意侧面鼻唇角、唇部突度的变化,以及笑线是否协调,同时需注意个体差异,若视频中出现牙齿移动缓慢或不适感,需及时与医生沟通,而非盲目对比进度。
