上颌发育过度是指上颌骨在生长发育过程中出现向前、向下过度生长,导致上颌牙齿及周围软组织位置异常,表现为上颌前突、牙齿前倾、面中份饱满等,是常见的颌面畸形之一,不仅影响口腔功能,还可能导致面部美观问题及心理负担,其病因复杂,主要包括遗传因素(父母有类似畸形,子女风险增加)、环境因素(儿童期长期口呼吸、吮指、咬唇等不良习惯,导致上颌骨持续受刺激生长;鼻咽部疾病如腺样体肥大、慢性鼻炎,导致气道狭窄,被迫张口呼吸,进而影响上颌骨发育)以及少数内分泌或代谢因素(如生长激素分泌异常可能影响颌骨生长)。
上颌发育过度的危害涉及功能与美观两方面,功能上,上下牙齿咬合关系紊乱(深覆盖、深覆合),咀嚼效率降低,长期可能引发颞下颌关节紊乱(关节弹响、疼痛);发音方面,可能因牙齿前突导致发音不清(如“s”“z”音),美观上,面中份向前突出,鼻唇沟变浅,嘴唇闭合困难,露龈笑,侧面观呈“凸面型”,尤其对青少年及成人社交自信产生较大影响,部分患者因此出现自卑、社交回避等心理问题。

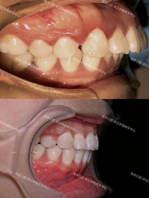
矫正方法需根据患者年龄、畸形程度及骨骼发育情况个性化选择,主要分为非手术矫正和手术矫正两类,非手术矫正适用于青少年及轻度成人患者,核心是通过抑制上颌骨生长、引导下颌骨发育改善畸形,常用方法包括功能性矫治器(如 activator、FR-III),通过调整颌间关系,刺激下颌骨生长,控制上颌骨过度生长;固定矫治器(如传统金属托槽、陶瓷托槽)配合颌间牵引(如Ⅲ类牵引),内收上前牙,调整咬合;隐形矫治器(如隐适美)通过个性化牙套移动牙齿,改善前突,适合轻度病例且对美观要求高的患者,手术矫正则适用于成人及重度青少年患者(骨骼发育停止后),通过外科手术调整颌骨位置,结合正畸治疗实现功能与美观统一,常用术式为 Le Fort I 型截骨术,将上颌骨水平截断,向前或向后移动至理想位置,用钛板钛钉固定,术后再通过正畸精细调整咬合关系,即“正畸-正颌联合治疗”,效果稳定,能显著改善面型。
矫正流程需系统规范:首先进行全面检查,包括临床检查(牙齿排列、咬合关系、面部形态)、影像学检查(X光片、头颅侧位片、CBCT)、模型分析,明确畸形类型及严重程度;其次根据检查结果制定个性化方案,青少年以非手术干预为主,成人可能需手术矫正;进入矫治阶段后,非手术患者佩戴矫治器定期调整,手术患者则先进行术前正畸(排齐牙齿,为手术创造条件),术后 3-6 个月进行术后正畸(精细调整咬合);最后是保持阶段,矫正完成后佩戴保持器(如 Hawley 保持器、透明保持器),通常需 1-2 年,部分患者需长期佩戴,防止复发。
矫正期间需注意:青少年患者应尽早干预(8-10 岁骨龄),利用生长发育潜力改善畸形;成人手术矫正需选择正规医院,评估手术风险;矫正期间保持口腔卫生,避免龋齿和牙周炎;术后注意饮食(流质、半流质),避免剧烈运动,定期复查。
非手术矫正与手术矫正对比

| 项目 | 非手术矫正 | 手术矫正 |
|---|---|---|
| 适用人群 | 青少年、轻度成人患者 | 成人、重度青少年(骨骼发育停止后) |
| 常用方法 | 功能性矫治器、固定矫治+颌间牵引、隐形矫治 | Le Fort I型截骨术+钛板固定、正畸联合治疗 |
| 优点 | 创伤小、费用低、无手术风险 | 效果稳定、显著改善面型、适用于重度畸形 |
| 缺点 | 疗程较长、可能需长期佩戴、复发风险较高 | 创伤大、费用高、恢复期长、需全麻 |
FAQs
问:上颌发育过度矫正的最佳年龄是什么时候?
答:青少年患者(8-16 岁)是矫正黄金期,此时骨骼仍处于生长发育阶段,通过功能性矫治器等非手术方法可有效抑制上颌过度生长,引导下颌发育,改善畸形,成人患者(18 岁以上)骨骼已停止发育,需通过手术矫正,结合正畸治疗,效果稳定但创伤相对较大。
问:矫正后会不会复发?如何预防?
答:复发风险与畸形程度、矫正方法、保持情况有关,非手术矫正患者若骨骼发育未完全停止,可能因生长潜力出现复发;成人手术矫正复发风险较低,但若术后不良习惯(如口呼吸)未纠正,也可能影响效果,预防措施包括:严格佩戴保持器(至少 1-2 年,部分需终身保持);纠正不良习惯(如戒除吮指、治疗鼻咽部疾病);定期复查(术后每 3-6 个月复查一次)。

