在传统牙齿矫正的认知中,长达1-3年的治疗周期、反复复诊的繁琐以及矫正期间对美观的影响,常让许多人对整齐牙齿望而却步,而近年来,随着数字化口腔技术与修复材料的快速发展,“一天牙齿矫正”逐渐成为可能,其中hg一天口腔依托其数字化即刻美学矫正体系,通过精准的术前设计、高效的椅旁制作与微创修复技术,实现了“当天检查、当天戴牙”的高效矫正体验,为追求美观与效率的成年人提供了全新选择。
hg一天口腔牙齿矫正的核心技术原理
hg一天口腔的“一天矫正”并非简单的快速治疗,而是建立在数字化精准诊疗与微创修复基础上的系统性解决方案,其核心在于通过“口内扫描-方案设计-椅旁制作-即刻佩戴”的闭环流程,将传统矫正中需要数月甚至数年的等待时间压缩至单日完成,关键依赖三大技术支撑:

数字化口内扫描与3D模拟
传统矫正依赖取模获取牙齿数据,过程易导致患者恶心不适,且模型精度有限,hg一天口腔采用德国Sirona或美国iTero等数字化口内扫描仪,通过光学探头在5-10分钟内获取全口牙齿的3D数字模型,精度达微米级,扫描数据导入专业设计软件后,医生可模拟牙齿移动轨迹、设计修复体形态(如超薄贴面、全瓷冠等),并实时预览矫正后的效果,患者可参与方案调整,确保结果符合预期。
CAD/CAM椅旁即刻制作系统
传统修复体需外送加工厂制作,耗时1-2周,而hg一天口腔配备的CAD/CAM(计算机辅助设计/计算机辅助制作)系统,可将设计方案转化为数字加工指令,通过CNC切削机或3D打印机在1-2小时内完成修复体制作,对于超薄贴面,采用厚度仅0.3-0.8mm的E-max铸瓷或超韧瓷材料,通过微创牙体预备(磨除牙体组织0.3-0.5mm)或不预备,实现以修复代矫正的效果,既保护了牙体组织,又避免了传统托槽对牙龈的刺激。
微创粘接与咬合优化技术
修复体制作完成后,医生通过光固化树脂粘接剂将修复体精准粘接于牙齿表面,粘接过程需严格隔湿,确保边缘密合度,通过T-Scan咬合分析仪检测咬合接触点,调整修复体厚度与形态,避免早接触、咬合创伤等问题,保障矫正后的咀嚼功能与长期稳定性。
hg一天口腔牙齿矫正的适用人群与禁忌症
并非所有牙齿问题都适合“一天矫正”,其适用范围需严格把控,具体可分为以下几类:

适用人群
- 轻度牙齿排列异常:如前牙轻度拥挤(拥挤度<3mm)、牙缝(散在间隙,总间隙<4mm)、牙齿扭转角度<15°等,通过修复体形态调整可实现视觉上的整齐。
- 牙齿美学缺陷:四环素牙、氟斑牙、釉质发育不全导致的牙齿变色、缺损;过小牙、锥形牙等形态异常;前牙轻微外凸(“龅牙”但骨骼型正常,仅牙列前突)。
- 对美观与效率要求高的成年人:如职场人士、演员、主持人等,需快速改善笑容美观,避免传统矫正期间的“钢牙”形象。
- 传统矫正后效果维持:对于已完成传统矫正但出现轻微复发(如牙缝再发、轻微拥挤)的患者,可通过修复体进行微量调整。
禁忌症
- 重度错颌畸形:如骨性龅牙、地包天(Ⅲ类错颌)、牙齿严重拥挤(拥挤度>5mm)等,需通过正畸治疗移动牙根,单纯修复无法解决根本问题。
- 口腔疾病未控制者:如活动性牙周炎、牙根吸收、牙体大面积缺损(无法提供足够修复体支撑)等,需先治疗基础疾病。
- 咬合功能紊乱:如颞下颌关节紊乱(TMD)、严重夜磨牙等,需先调整咬合功能,否则易导致修复体脱落或损坏。
hg一天口腔牙齿矫正的详细流程(含时间分配)
hg一天口腔的“一天矫正”流程高度紧凑,从初诊到完成佩戴通常在4-6小时内完成,具体步骤如下表所示:
| 步骤 | 耗时 | 关键细节 | |
|---|---|---|---|
| 初诊检查 | 口内检查(牙齿排列、咬合关系、牙龈健康)、拍X光片(全景片、头颅侧位片)、沟通需求 | 30分钟 | 排除禁忌症,评估是否适合一天矫正 |
| 数字化扫描 | 使用口内扫描仪获取牙齿3D模型,拍摄面部微笑照片 | 10-15分钟 | 儿童或敏感患者可使用喷雾式麻醉剂缓解不适 |
| 方案设计 | 医生在软件中模拟矫正效果,设计修复体类型(贴面/牙冠)、厚度、颜色,与患者确认 | 60分钟 | 颜色比色需在自然光下进行,避免色差 |
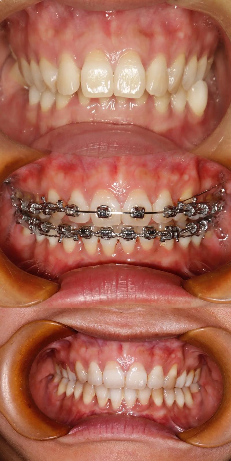
| 牙体预备 | 根据修复体类型进行微创磨牙(贴面磨除0.3-0.5mm,牙冠磨除1.0-1.5mm),排龈取龈 | 30-60分钟 | 局部麻醉下操作,最大限度保留健康牙体 |
| 修复体制作 | CAD/CAM系统设计切削路径,CNC机床切削瓷块,或3D打印树脂基底 | 60-120分钟 | 实时监控制作进度,确保边缘密合度 |
| 试戴调整 | 修复体试戴,检查形态、颜色、咬合,微调边缘与咬合点 | 30分钟 | 使用咬合纸标记早接触点,精准调整 |
| 粘接完成 | 牙面酸蚀、涂粘接剂,光固化树脂粘接修复体,抛光 | 30分钟 | 粘接后用探针检查边缘是否光滑,无悬突 |
hg一天口腔牙齿矫正的优势与注意事项
核心优势

- 时间效率高:单日完成治疗,避免传统矫正每月复诊的繁琐,尤其适合时间紧张的成年人。
- 美观即刻见效:修复体颜色、形态可模拟天然牙,粘接后即可看到整齐美观的笑容,矫正期间无“钢牙”尴尬。
- 微创舒适:牙体预备量少,对牙髓刺激小,无托槽摩擦导致的口腔溃疡风险。
- 效果可预测:数字化模拟让患者提前知晓矫正结果,避免传统矫正中“效果未知”的焦虑。
注意事项
- 术后维护:避免啃咬硬物(如坚果、螃蟹壳)、开酒瓶等,防止修复体脱落;使用软毛牙刷、含氟牙膏,配合牙线清洁,定期(3-6个月)做口腔检查与洁牙。
- 效果维持:修复体寿命与材料、维护习惯相关,超薄贴面一般可维持5-10年,全瓷冠可维持10-15年,若出现脱落或损坏需及时复诊修复。
- 风险提示:少数患者可能出现短期牙齿敏感(可使用脱敏牙膏),或修复体边缘微渗漏导致继发龋,需选择正规机构与经验丰富的医生操作,降低风险。
相关问答FAQs
问题1:一天矫正的效果能维持多久?需要终身佩戴保持器吗?
解答:一天矫正的效果维持时间取决于修复体材料与个人维护习惯,超薄贴面因厚度较薄,平均寿命约5-8年;全瓷冠因覆盖面积更大,可维持10-15年,若维护得当(避免咬硬物、定期洁牙),部分患者可延长至12年以上,与传统矫正不同,一天矫正通过修复体固定牙齿位置,一般无需终身佩戴保持器,但建议夜间佩戴透明保持器(如Essix保持器)6-12个月,防止牙齿自然移位。
问题2:一天矫正和传统牙齿矫正(戴牙套)有什么区别?如何选择?
解答:两者核心区别在于原理、适用人群与治疗周期:一天矫正通过修复体覆盖牙齿表面,改善美观与排列,属于“美学修复性矫正”,适合轻中度牙齿问题及成年人;传统矫正通过托槽+弓丝施加生物力,移动牙根位置,解决骨骼性及重度错颌畸形,治疗周期1-3年,适合青少年及复杂病例,选择时需经专业医生评估:若仅为牙齿轻微不齐、美观需求高,可选一天矫正;若存在牙根倾斜、骨性问题,则需传统矫正或正畸-修复联合治疗。
