隐形矫正牙齿作为近年来流行的正畸方式,因美观、舒适、可摘戴等优势受到广泛关注,但部分人在矫正过程中或结束后可能出现一系列问题,这些常被讨论的“后遗症”其实与个体差异、矫正方案、口腔卫生维护等多因素相关,客观认识这些潜在风险,并掌握科学的应对方法,是确保矫正效果和口腔健康的关键。
牙齿敏感与短暂疼痛:矫正初期的常见反应
隐形矫正的核心原理是通过持续、轻柔的力值移动牙齿,这一过程中牙根周围牙槽骨会发生改建(吸收与重建),可能刺激牙髓神经,导致牙齿出现敏感或疼痛,具体表现为对冷热刺激的短暂不适,或咀嚼酸胀感,尤其在每次更换新牙套后的3-5天内较为明显。
这种敏感本质上是牙齿移动的生理反应,多数属于暂时性现象,随着牙齿逐渐移动到位,不适感会自行缓解,若疼痛持续加重或出现自发痛,则需警惕牙髓损伤可能,需及时就医排查,预防上,初期可使用脱敏牙膏(如含硝酸钾成分),避免咀嚼过硬食物,必要时遵医嘱服用非处方止痛药缓解症状。

牙根吸收:潜在且需密切监测的并发症
牙根吸收是指牙根尖周组织发生改建,导致牙根长度变短,是正畸治疗中可能出现的并发症,在隐形矫正中发生率约为10%-20%,多为轻微吸收(牙根长度缩短<2mm),一般不影响牙齿功能和寿命。
牙根吸收的发生与个体易感性(如遗传因素)、牙齿移动距离过大、矫正力值控制不当或存在根尖周炎症等因素相关,轻微吸收通常无需特殊处理,但严重吸收(牙根显著缩短)可能导致牙齿松动、咀嚼力下降,甚至影响牙齿长期稳定性,矫正前需拍摄全口根尖片评估牙根情况,矫正中每6-12个月复查根尖片,动态监测牙根长度,医生会根据吸收程度调整矫正方案。
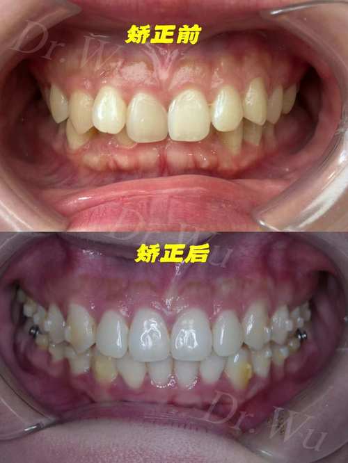
牙龈问题:清洁不到位或牙套刺激所致
牙龈问题(如牙龈炎、牙龈退缩)是隐形矫正中较为常见的困扰,发生率约30%-50%,主要表现为牙龈红肿、刷牙出血,严重时牙龈缘退缩,导致牙根暴露。
其诱因包括:牙套边缘与牙齿贴合不紧密时,易堆积食物残渣和菌斑;牙套长期覆盖牙龈,局部刺激导致炎症;患者因清洁难度增加,忽视口腔卫生维护,预防关键在于加强清洁:使用正畸专用牙刷(如小头软毛刷)、牙线棒、冲牙器,每天至少3次彻底清洁牙套和牙齿表面;若牙龈已出现炎症,需及时进行牙周治疗(如龈下刮治),必要时医生会打磨牙套边缘,减少对牙龈的刺激。
咬合干扰与颞下颌关节(TMJ)不适:矫正方案精细度的考验
部分人在矫正中或结束后可能出现咬合不适(如某颗牙齿早接触)、张口弹响、关节疼痛等颞下颌关节紊乱(TMD)症状,这多源于矫正过程中牙齿移动路径设计不合理,或咬合未精细调整,导致牙齿咬合力分布不均,关节负担增加。
TMD的发生率较低(约5%-10%),且与个体关节适应性、咬合习惯(如夜磨牙)密切相关,预防上,矫正前需通过咬合模型、计算机模拟设计精确移动路径;矫正中医生会定期检查咬合关系,必要时进行调颌;若出现关节症状,可佩戴咬合垫、进行热敷理疗,严重时需暂停矫正并联合口腔颌面科治疗。
口腔卫生问题与龋齿风险:牙套带来的清洁挑战
隐形矫正的牙套虽透明,但覆盖牙齿后易形成“封闭环境”,若清洁不到位,食物残渣和细菌堆积会破坏牙面矿化平衡,导致牙釉质脱矿(表现为白垩色斑块)甚至龋齿(蛀牙),研究显示,矫正期间龋齿发生率比普通人群高2-3倍,尤其好发于牙套边缘与牙齿贴合处、邻面等清洁死角。
预防龋齿的核心是“彻底清洁”:每次进食后立即摘下牙套漱口,用正畸刷+牙线清洁牙齿,再戴上牙套;避免饮用含糖饮料(如碳酸饮料、果汁),以免糖分滞留;每天使用含氟牙膏刷牙,配合含氟漱口水增强牙面抗酸能力;定期(3-6个月)做口腔检查和洁牙,及时发现早期龋坏。

矫正后复发:保持器是“终身保险”
隐形矫正结束后,牙齿仍处于“不稳定状态”,牙周组织改建需1-2年才能完全稳定,若未按佩戴保持器,牙齿可能向原始位置移动,导致矫正效果反弹(复发),数据显示,不戴保持器者复发率可达50%以上,即使佩戴保持器,若未坚持(如仅夜间戴),也可能出现轻度复发。
保持器是矫正效果的“终身保障”:通常矫正后前6个月需全天佩戴(进食摘除),之后改为夜间长期佩戴;若牙齿出现轻微移位,及时就医通过保持器调整可避免二次矫正;对于严重复发者,可能需重新进行固定或隐形矫正。
常见隐形矫正后遗症及预防措施总结
| 常见后遗症 | 主要表现 | 发生原因 | 预防与处理措施 |
|---|---|---|---|
| 牙齿敏感疼痛 | 冷热敏感、咀嚼酸胀 | 牙齿移动中牙髓受刺激 | 脱敏牙膏、避免硬食、遵医嘱调整加力 |
| 牙根吸收 | 牙根尖变短(X光可见) | 个体易感性、力值过大、移动距离过长 | 矫正前拍根尖片、定期复查监测、调整方案 |
| 牙龈问题 | 牙龈红肿、出血、退缩 | 清洁不到位、牙套边缘刺激 | 正畸专用清洁工具、定期洁牙、打磨牙套边缘 |
| 咬合干扰与TMD | 咬合不适、关节弹响疼痛 | 咬合未精细调整、关节负担增加 | 计算机模拟设计、定期调颌、咬合垫治疗 |
| 口腔卫生问题 | 牙釉质脱矿、龋齿 | 牙套覆盖导致清洁困难、菌斑堆积 | 餐后清洁、避免含糖食物、含氟牙膏+漱口水 |
| 矫正后复发 | 牙齿移位、咬合反弹 | 未戴保持器、牙周组织未稳定 | 严格佩戴保持器(夜间长期)、定期复查 |
相关问答FAQs
Q1:隐形矫正后牙齿会变松吗?能恢复吗?
A:矫正中牙齿出现轻微松动是正常现象,因为牙根周围牙槽骨正在改建(吸收与重建),为牙齿移动提供空间,这种松动是“生理性”的,随着矫正结束、牙槽骨稳定,牙齿会逐渐恢复稳固,若矫正后牙齿仍长期松动(如晃动明显、咀嚼无力),则需警惕牙根吸收或牙周问题,及时就医拍片检查,明确原因后针对性处理(如牙周治疗或调整保持器)。
Q2:矫正期间牙龈一直出血,是后遗症吗?怎么办?
A:矫正期间牙龈出血多数是牙龈炎的表现,而非永久性“后遗症”,主要原因包括牙套边缘刺激牙龈、清洁不到位导致菌斑堆积等,建议:① 使用正畸专用牙刷(小头软毛)和牙线棒,每天至少3次彻底清洁牙套与牙齿贴合处;② 餐后使用冲牙器冲洗食物残渣;③ 配合含氯己定成分的漱口水(如复方氯己定含漱液)控制炎症,连续使用1周后观察改善情况;④ 若出血持续或牙龈肿胀明显,需及时就医进行牙周治疗(如龈上洁治),避免发展为牙周炎。

