矫正牙齿是改善口腔美观与功能的重要手段,但部分患者在矫正过程中或矫正后可能出现牙龈萎缩问题,通过牙龈萎缩图片可直观了解其表现、进展及干预效果,牙龈萎缩指牙龈组织向牙根方向退缩,导致牙根暴露,不仅影响美观,还可能增加牙敏感、牙齿松动等风险,尤其在矫正期间,由于牙齿移动、口腔环境变化等因素,牙龈萎缩的发生风险需引起重视。
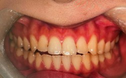
矫正牙齿牙龈萎缩的图片表现特征
牙龈萎缩的严重程度可通过图片分为轻、中、重度,不同阶段的特征差异显著,以下是典型表现总结:

| 阶段 | 牙龈退缩程度 | 图片特征 | 伴随症状 |
|---|---|---|---|
| 轻度 | 牙龈退缩≤1mm | 牙龈边缘轻微降低,牙根暴露约1-2mm,颜色呈粉红色或轻微发白,牙缝无明显变化 | 可能无自觉症状,或刷牙时轻微出血 |
| 中度 | 牙龈退缩1-3mm | 牙根暴露明显,可见牙根表面光滑或轻微粗糙,牙龈乳头变平,牙缝轻微增大 | 牙根敏感(冷热酸甜刺激痛),刷牙或咬硬物时出血 |
| 重度 | 牙龈退缩>3mm | 牙根大面积暴露,部分可见牙骨质,牙龈退缩至牙根中1/3或1/3以上,牙缝明显增宽,牙齿可能出现松动 | 持续性牙敏感,牙齿松动,甚至影响发音和咀嚼 |
矫正患者的牙龈萎缩图片中,常可见托槽周围牙龈红肿、退缩不均匀的情况,尤其是下前牙区,因牙齿移动幅度大、清洁难度高,更易出现萎缩,若图片显示牙龈退缩伴随牙槽骨吸收(通过X线片可观察),则提示牙周支持组织受损,需及时干预。
矫正期间牙龈萎缩的常见原因
- 口腔卫生维护不当:矫正装置(如托槽、弓丝)易堆积食物残渣和牙菌斑,若刷牙不彻底,会引发牙龈炎,长期炎症导致牙龈组织破坏和萎缩,图片中可见牙龈红肿、出血,是炎症的典型表现。
- 矫正力施加不当:过大的矫正力或牙齿移动速度过快,会超出牙周组织的耐受范围,导致牙槽骨吸收,进而引发牙龈退缩,部分患者的图片显示牙龈退缩集中在受力过大的牙齿区域。
- 个体解剖因素:部分患者天生薄龈生物型(牙龈厚度薄、弹性差),或牙槽骨骨量不足,矫正过程中牙龈萎缩风险更高,图片对比可见,厚龈生物型患者牙龈萎缩程度通常较轻。
- 牙周基础疾病:若矫正前存在未控制的牙周炎(如牙结石、深牙周袋),矫正会加速牙周破坏,导致牙龈萎缩,图片中可能伴随牙根表面附着的牙结石和牙周袋溢脓。
通过图片识别与早期干预
牙龈萎缩的图片可作为患者自我监测和医生评估的重要工具,患者可定期拍摄口腔照片,对比牙龈边缘位置、牙根暴露面积的变化,若发现退缩速度加快(如3个月内退缩超过1mm),需及时复诊,医生则可通过图片结合临床检查(如探诊深度、附着丧失、牙松动度)判断萎缩原因和严重程度,制定干预方案。
早期轻度萎缩可通过改善口腔卫生(使用正畸专用牙刷、牙线、冲牙器)、定期牙周洁治(每3-6个月)控制炎症,促进牙龈恢复;中重度萎缩可能需进行牙周手术(如引导性组织再生术、牙龈移植术),结合矫正力调整,避免进一步损伤。
预防措施:降低矫正期间牙龈萎缩风险
- 矫正前牙周评估:全面检查牙周状况,治疗 existing 牙周炎,确保牙周健康后再开始矫正。
- 加强口腔清洁:采用“巴氏刷牙法”配合正畸刷、牙缝刷,彻底清洁托槽周围;每日使用冲牙器清除牙菌斑。
- 定期复查监测:矫正期间每3-6个月进行牙周检查和口腔图片对比,及时发现异常并处理。
- 避免过度用力:遵医嘱调整矫正力,避免频繁更换粗弓丝或急于求成,牙齿移动速度控制在1mm/月以内。
相关问答FAQs
问题1:矫正期间自己拍牙龈照片能判断是否萎缩吗?
解答:患者可通过手机拍摄口腔照片(光线充足、对焦清晰)初步观察牙龈退缩情况,如发现牙龈边缘明显降低、牙根暴露或牙缝增大,需及时就医,但图片无法反映牙槽骨状况,需结合医生的专业检查(如牙周探诊、X线片)才能确诊萎缩程度和原因,避免自行判断延误治疗。

问题2:矫正后发现牙龈萎缩,还能继续矫正吗?
解答:需根据萎缩原因和程度决定,若为轻度萎缩且与口腔卫生相关,通过加强清洁和牙周治疗后可继续矫正,但需调整矫正方案(如减小矫正力、延长移动间隔);若为中重度萎缩或伴牙槽骨吸收,需暂停矫正,先进行牙周手术治疗(如骨再生、牙龈移植),待牙周稳定后再评估是否继续矫正,避免加重牙周损伤。

