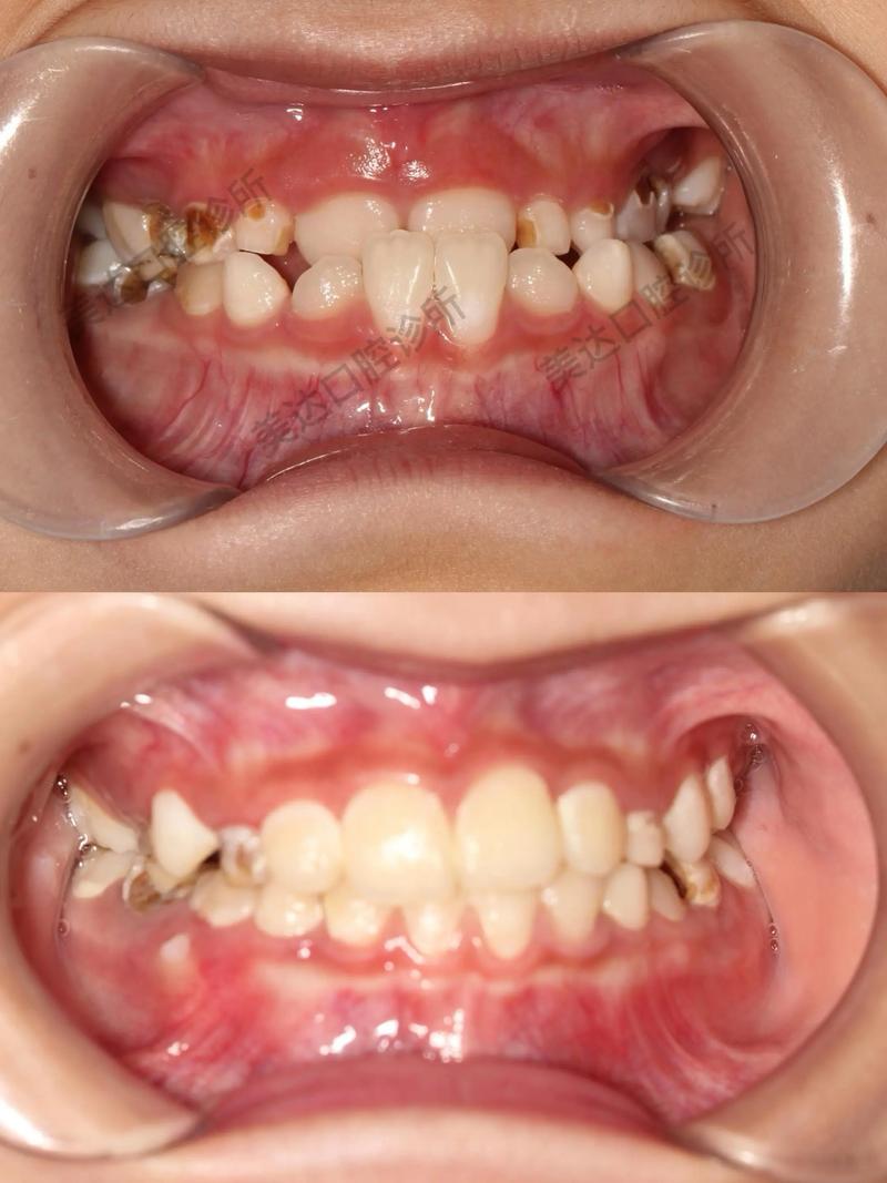
牙齿矫正后出现反弹,是许多患者关注的问题,所谓反弹,是指矫正治疗结束后,牙齿在多种因素作用下逐渐偏离矫正后的理想位置,导致治疗效果部分甚至全部丧失,这种情况不仅影响美观,还可能重新引发咬合问题、颞下颌关节紊乱等健康风险,了解反弹的原因、类型及预防处理方法,对维持矫正效果至关重要。
牙齿反弹的常见原因
牙齿矫正的本质是通过外力移动牙齿,使牙槽骨改建、牙周组织重新适应,但牙齿位置并非“一劳永逸”,矫正结束后若护理不当或存在潜在风险因素,极易出现反弹,主要原因包括:

保持器使用不当或未长期佩戴
保持器是维持矫正效果的“关键防线”,矫正结束后,牙齿周围的牙槽骨和牙周韧带仍处于改建活跃期,需要1-2年才能逐渐稳定,若未按医嘱佩戴保持器(如初期未全天佩戴、后期擅自减少夜间佩戴时间,或完全放弃佩戴),牙齿可能因肌肉力量、咬合压力等作用缓慢移回原位,数据显示,约70%-80%的患者若不规律佩戴保持器,会在5年内出现明显反弹。
不良口腔习惯未纠正
矫正前若存在吐舌、咬唇、夜磨牙、吮指等习惯,矫正后未主动纠正,会持续对牙齿产生异常力量,吐舌习惯会使前牙向唇侧倾斜,导致“龅牙”复发;夜磨牙则会带来非正常的咬合力,推动牙齿移位,这些习惯是青少年患者反弹的主要诱因之一。
矫正方案设计或执行不完善
部分反弹源于治疗过程中的细节问题:如拔牙矫正时,邻牙移动不足或牙弓宽度未充分调整,导致矫正后牙齿拥挤复发;对于骨性畸形(如下颌后缩),单纯正畸治疗未配合正颌手术,牙齿可能因骨骼限制而反弹;矫正器佩戴时间不足(如未达到2-3年的标准疗程),牙齿未完全稳定就提前结束治疗,也会增加反弹风险。
年龄增长与生理变化
随着年龄增长,牙齿会发生生理性移动,尤其是成年患者,牙槽骨密度增加,改建速度变慢,但颌骨肌肉力量仍可能变化,导致牙齿轻微移位,牙龈萎缩、牙槽骨吸收(牙周炎进展)也会削弱牙齿的稳定性,引发反弹。

智齿萌出或邻牙缺失
若患者存在未拔除的智齿,尤其是近中阻生的智齿,萌出时会挤压前面的牙齿,导致牙列拥挤复发;若矫正后邻牙因龋病或外伤缺失,未及时修复,缺牙间隙两侧的牙齿会向间隙倾斜,破坏咬合稳定性。
牙齿反弹的类型与表现
根据反弹程度和位置,可分为不同类型,具体表现如下表:
| 反弹类型 | 具体表现 | 潜在影响 |
|---|---|---|
| 轻度反弹 | 前牙轻微不齐(如1-2颗牙齿扭转、重叠),后牙咬合关系基本正常 | 主要影响美观,咀嚼功能无明显障碍 |
| 中度反弹 | 前牙明显拥挤或散在,后牙咬合干扰(如尖窝关系不匹配),可能伴随颞下颌关节轻微不适 | 咀嚼效率下降,长期可能引发关节弹响、疼痛 |
| 重度反弹 | 牙列严重拥挤或散开,咬合关系紊乱(如反颌、深覆颌复发),面部形态改变(如“凸嘴”再现) | 咀嚼功能严重受损,颞下颌关节疾病风险增加,心理影响显著 |
如何有效预防牙齿反弹
预防反弹需从矫正结束开始,贯穿终身护理,重点措施包括:
严格佩戴保持器
- 初期阶段(矫正后6-12个月):除吃饭、刷牙外需全天佩戴,确保牙齿在稳定期不受外力干扰。
- 长期阶段(1年后):改为夜间佩戴,持续至少2-3年,部分患者(如成年、骨性畸形、有不良习惯史)需终身夜间佩戴。
- 保持器维护:避免用热水浸泡(防止变形),定期用牙膏清洁(可使用保持器清洁泡腾片),若损坏或丢失需及时联系医生重做。
纠正不良口腔习惯
通过行为训练或辅助工具纠正吐舌、咬唇等习惯:吐舌患者可在医生指导下使用“舌刺”;夜磨牙患者需佩戴颌垫,减少牙齿异常受力,家长需监督儿童习惯,避免乳牙期不良习惯影响恒牙列发育。

定期复查与专业干预
矫正后1年内每3个月复查1次,1年后每半年复查1次,医生会通过口腔检查、模型对比、X光片评估牙齿稳定性,及时发现轻微移位并调整(如更换保持器、局部加力),对于存在智齿、牙周炎等问题,需尽早处理(如拔除智齿、牙周治疗)。
保持口腔卫生与饮食健康
矫正后牙齿清洁难度增加,需使用牙线、冲牙器等工具,避免食物残渣堆积引发龋齿或牙周炎,这些疾病会破坏牙槽骨稳定性,间接导致反弹,饮食上避免过硬、黏性食物(如坚果、口香糖),防止矫正器或保持器损坏,减少牙齿意外受力。
反弹后如何处理?
若发现牙齿反弹,需根据严重程度采取不同措施:
- 轻度反弹:若仅个别牙齿轻微移位,且保持器未损坏,可立即复诊,医生可能通过调整保持器或短期佩戴加力器纠正。
- 中度反弹:若咬合关系受影响,需重新取模制作保持器,或进行短期二次矫正(通常6-12个月),通过隐形牙套或固定矫治器轻微移动牙齿。
- 重度反弹:若伴随骨骼畸形或严重咬合紊乱,可能需结合正畸-正颌联合治疗,通过手术调整颌骨位置,再配合正畸精细排牙,治疗周期较长(1-2年),但效果更稳定。
相关问答FAQs
Q1:矫正结束摘了牙套,是不是就不用戴保持器了?
A:不是,保持器是维持矫正效果的必需品,矫正后牙齿周围的组织(牙槽骨、牙周韧带)需要时间稳定,初期(6-12个月)必须全天佩戴(除进食刷牙),之后改为夜间长期佩戴,即使牙齿感觉稳定,也需定期复查,医生会根据情况决定是否需要继续佩戴,擅自停戴是反弹的最常见原因,70%以上的反弹与保持器使用不当有关。
Q2:已经发现牙齿有点反弹,但不是很严重,自己戴以前的保持器有用吗?
A:不建议自行佩戴旧保持器,旧保持器可能因长期变形无法贴合牙齿,强行佩戴可能压迫牙龈或导致牙齿移位加重;反弹可能涉及咬合关系变化,需医生通过专业检查(如拍X光片、取模型)评估是否伴随牙根吸收、牙槽骨问题,若反弹轻微,医生可能建议重做保持器;若反弹较重,需二次矫正,自行处理可能延误最佳时机,导致问题复杂化。
