牙齿矫正是通过外力调整牙齿排列、改善咬合关系的常见治疗手段,但部分患者在矫正过程中会出现牙龈增生问题,不仅影响美观,还可能伴随口腔不适,牙龈增生是指牙龈组织在炎症或刺激下异常肿胀、肥大,超出正常生理范围,在矫正人群中发生率约为5%-15%,需引起重视。
牙龈增生的发生与多因素相关,首要原因是矫正器附件的机械刺激,托槽、弓丝、结扎丝等矫正装置直接附着于牙齿表面,其边缘若处理不光滑,或弓丝末端过长,会持续摩擦牙龈,导致局部黏膜受损、血液循环障碍,进而引发胶原纤维组织过度增生,尤其是下前牙区牙龈乳头,因接近弓丝末端,更易受到刺激而肿胀。

口腔卫生维护难度增加是关键诱因,矫正器附件较多,牙刷、牙线等常规清洁工具难以彻底清除托槽周围的食物残渣和菌斑,导致菌斑堆积,菌斑中的细菌(如牙龈卟啉单胞菌、中间普氏菌)会释放内毒素和炎症介质,激活牙龈内的免疫细胞,引发慢性炎症反应,长期炎症刺激会使牙龈上皮增生、血管扩张,临床表现为牙龈颜色暗红、质地松软、易出血,严重时甚至增生至覆盖牙面,形成“假性牙周袋”。
个体易感性也不容忽视,部分患者本身牙龈较厚、有牙龈炎或牙周炎病史,或处于青春期、孕期等激素水平波动时期,雌激素和孕激素的升高会增强牙龈对炎症的反应,降低抵抗力,使矫正期间牙龈增生的风险显著增加,若矫正过程中施加的矫治力过大或过集中,可能导致牙齿移动时压迫牙槽骨和牙龈,引发组织修复性增生。
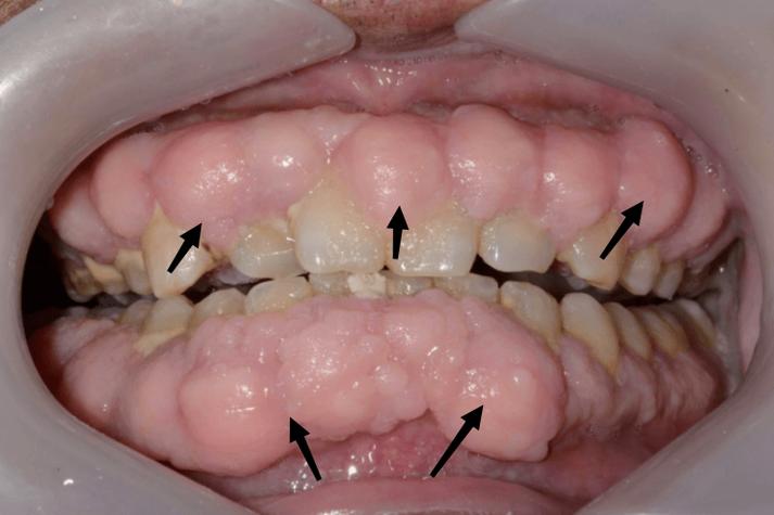
牙龈增生的临床表现主要包括:牙龈乳头和牙龈边缘明显肿胀,呈球形或分叶状,表面光滑或呈颗粒状;颜色从鲜红到暗红不等,质地松软易出血;严重时可增生至牙齿切缘或咬合面,影响美观和咀嚼;部分患者伴有口臭、牙龈疼痛或刷牙时出血症状。
预防牙龈增生需从矫正前、中、后期全程管理,矫正前应进行全面口腔检查,治疗 existing 牙龈炎、牙周炎,确保口腔健康;选择经验丰富的正畸医生,优化矫正器设计,优先使用表面光滑的陶瓷托槽或自锁托槽,减少机械刺激,矫正中需加强口腔清洁:使用正畸专用牙刷(小头、刷毛柔软)、牙缝刷、冲牙器等工具,每日至少刷牙两次,每次三分钟,重点清洁托槽周围;配合使用含氟牙膏和抗菌漱口水(如氯己定,但不宜长期使用),定期(每3-6个月)进行专业洁治,清除菌斑和结石,医生需定期复查,及时调整弓丝末端、更换结扎丝,避免尖锐部件刺激牙龈;若出现轻微牙龈红肿,可局部涂抹抗炎凝胶(如米诺环素凝胶),控制炎症进展。

对于已发生的牙龈增生,治疗需分阶段进行,轻度增生以基础治疗为主:通过洁治、刮治彻底清除菌斑和牙结石,指导患者正确清洁方法,多数可在1-3个月内缓解,中重度增生需联合药物治疗:局部使用抗菌漱口水(如复方氯己含漱液),口服抗生素(如甲硝唑、阿莫西林)控制感染;若伴有明显炎症,可短期使用非甾体抗炎药(如布洛芬)缓解症状,对于基础治疗和药物治疗无效的顽固性增生,需进行手术治疗,如牙龈切除术(传统手术刀切除增生组织)或牙龈成形术(激光或高频电刀切除,创伤更小),术后需加强口腔护理,防止复发。
| 主要原因 | 对应预防措施 |
|---|---|
| 矫正器附件机械刺激 | 选择光滑矫正材料,医生精细调整附件边缘,避免尖锐或过长部分接触牙龈 |
| 口腔卫生维护困难,菌斑堆积 | 使用正畸专用清洁工具(小头牙刷、牙缝刷、冲牙器),每日彻底清洁,定期专业洁治 |
| 菌斑生物膜引发慢性炎症 | 矫正前治疗牙龈炎/牙周炎,矫正中定期复查,及时控制早期炎症 |
| 个体易感性(激素、牙龈厚度等) | 矫正前评估口腔状况,高风险患者加强清洁频率和复查次数,必要时与内分泌科协作 |
| 矫正力过大或过集中 | 医生制定合理矫正方案,控制矫治力大小和移动速度,避免对牙龈过度压迫 |
矫正牙齿导致的牙龈增生是可防可控的,患者需重视口腔卫生,医生需规范操作,双方配合才能有效降低风险,确保矫正治疗顺利进行及口腔健康。
FAQs
-
矫正期间牙龈增生一定会发生吗?
不一定,牙龈增生的发生与口腔卫生、矫正器设计、个体差异等因素相关,若矫正前口腔健康、矫正中保持良好清洁、医生操作规范,多数人不会出现明显增生,高风险人群(如本身有牙龈炎、激素水平异常者)需更注意预防,但通过规范管理,仍可避免或减少增生发生。
(图片来源网络,侵删) -
牙齿矫正结束后,牙龈增生会自己恢复吗?
部分轻度增生可能在矫正结束后,随着矫正器拆除、口腔卫生改善而逐渐缓解,尤其是由机械刺激和轻度炎症引起的增生,但中重度增生(如纤维组织明显增生、牙龈形态异常)通常无法自行恢复,需在矫正结束后通过牙龈成形术等手术方式修复,以恢复牙龈正常形态和功能。
