40岁可以做牙齿矫正,这一观念正在被越来越多的成年人接受和践行,长期以来,牙齿矫正似乎被视为青少年的“专利”,但随着口腔医学技术的进步和人们对生活品质要求的提升,越来越多的40岁左右人群开始关注并选择通过牙齿矫正来改善口腔问题、提升自信,年龄并非牙齿矫正的绝对障碍,40岁人群在具备一定条件下完全可以进行牙齿矫正,且往往能获得理想的效果。
从生理结构来看,牙齿矫正的核心原理是通过施加外力,引导牙齿在牙槽骨内移动,从而调整牙齿排列和咬合关系,这一过程依赖的是牙槽骨的改建能力,而非年龄本身,牙槽骨是人体内代谢活跃的骨骼之一,一生中都在进行持续的吸收和重建,只要牙槽骨健康,具备良好的改建潜力,无论年龄大小,牙齿都能在力的作用下移动,40岁人群的牙槽骨虽然相较于青少年可能代谢速度稍慢,但只要没有严重的骨质疏松、牙周炎等疾病,完全具备矫正的生理基础,现代口腔医学通过精准的力学设计和先进的材料技术,能够有效控制牙齿移动的速度和方向,确保矫正过程的安全性和舒适性。

从需求层面分析,40岁人群选择牙齿矫正往往具有更强的主动性和明确的目标,相较于青少年可能更多出于美观或家长要求,40岁人群通常对矫正后的效果有清晰的期待,比如改善因牙齿不齐导致的咀嚼功能下降、缓解颞下颌关节紊乱症状、修复因牙齿拥挤引发的口腔卫生问题,或是为了职业形象、社交自信等,这种主动配合的心态,使得他们在矫正过程中更能严格遵循医嘱,注意口腔卫生,按时复诊,从而提高矫正效率和效果,40岁人群通常具备一定的经济基础和稳定的生活状态,能够承担矫正费用,并合理安排时间配合治疗,这也是矫正成功的重要保障。
40岁人群在进行牙齿矫正前,需要更全面的口腔健康评估和充分的准备,与青少年相比,成年人口腔中可能存在更多的口腔问题,如牙周炎、牙根吸收、牙齿缺损、修复体(烤瓷牙、种植牙等)等,这些都可能影响矫正方案的设计和实施,矫正前的全面检查至关重要,包括口腔检查、牙周状况评估、牙片拍摄(曲面断层片、头颅侧位片等)、颞下颌关节检查等,必要时还需进行牙周治疗、根管治疗或修复体处理,确保口腔环境处于稳定状态后再开始矫正。
40岁人群矫正前需重点关注以下几个方面:一是牙周健康,牙周炎是成年人常见的口腔问题,若存在牙周炎症,需先进行系统治疗,控制炎症,待牙周指标(如牙龈出血指数、牙周袋深度)恢复正常后才能开始矫正,否则矫正过程中可能加重牙周破坏,导致牙齿松动;二是牙根情况,通过X光片检查牙根长度、形态是否存在吸收,若有严重牙根吸收,需谨慎评估矫正风险;三是咬合功能,检查是否存在咬合创伤、颞下颌关节紊乱等问题,矫正方案需兼顾咬合功能的改善;四是全身健康状况,如有糖尿病、高血压、骨质疏松等全身性疾病,需控制病情稳定后再考虑矫正,且矫正过程中需密切监测。
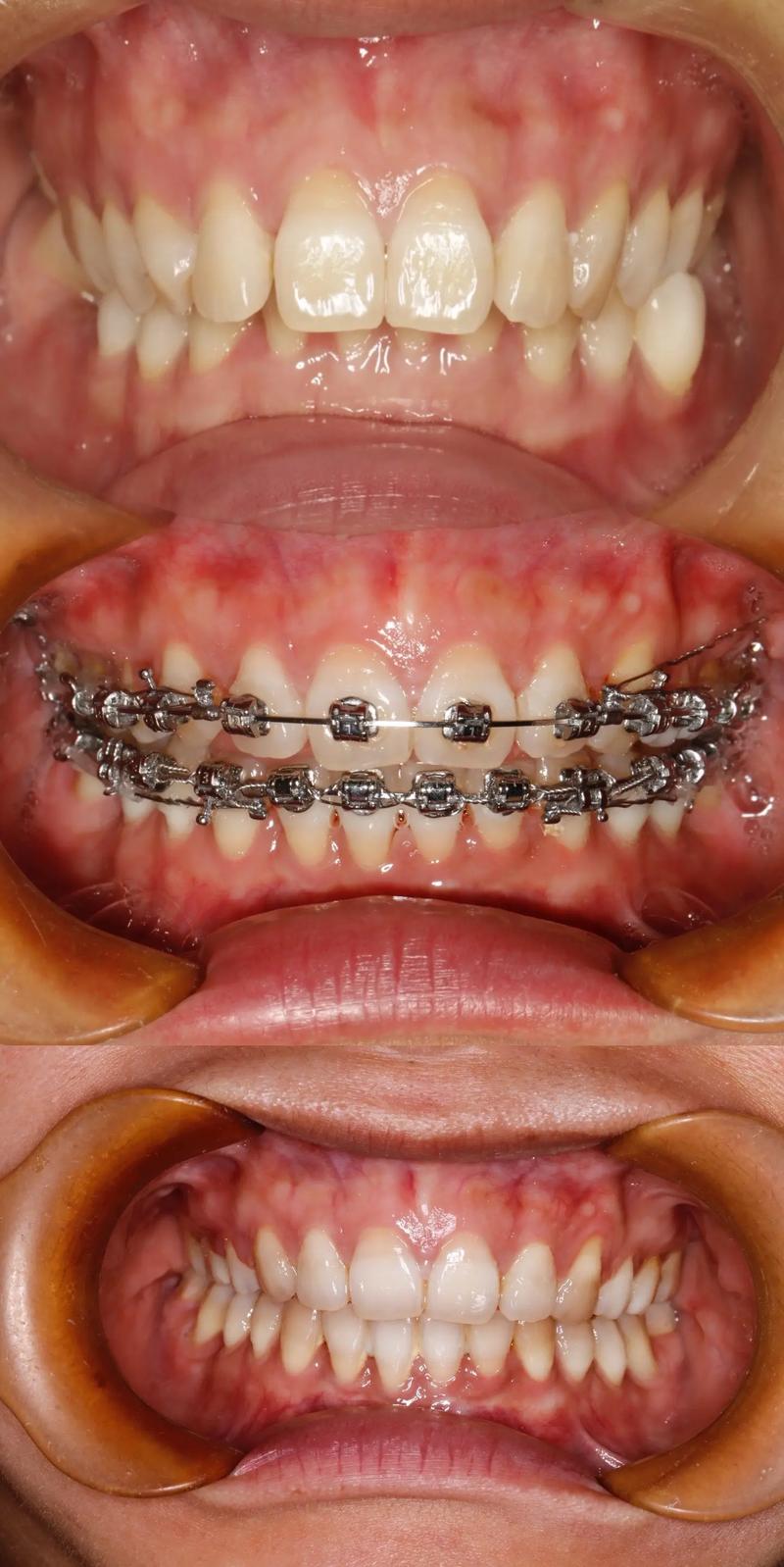
在矫正方法的选择上,40岁人群可以根据自身口腔状况、美观需求、经济预算等选择合适的矫正方式,目前主流的矫正方式包括传统金属托槽矫正、陶瓷托槽矫正、隐形矫正(如隐形牙套)和舌侧矫正等,传统金属托槽矫正技术成熟、性价比高,适用于各种错颌畸形,但美观性稍差;陶瓷托槽托槽颜色接近牙齿,美观性较好,但强度略低于金属托槽;隐形矫正可自行摘戴,美观舒适,便于清洁,适合对美观要求高、口腔卫生习惯较好的患者,但价格较高,对一些复杂错颌畸形的矫正能力可能受限;舌侧矫正将托槽粘贴在牙齿舌侧面,完全隐形,但技术难度大、费用高,且对发音和口腔舒适度有一定影响,下表对不同矫正方式的特点进行了对比:

| 矫正方式 | 美观度 | 舒适度 | 清洁难度 | 价格范围(元) | 适用情况 |
|---|---|---|---|---|---|
| 传统金属托槽 | 低 | 一般 | 较难 | 8000-15000 | 各种错颌畸形 |
| 陶瓷托槽 | 中 | 一般 | 较难 | 12000-20000 | 对美观有一定要求的患者 |
| 隐形矫正 | 高 | 高 | 容易 | 25000-50000 | 轻中度错颌畸形,美观需求高 |
| 舌侧矫正 | 极高 | 一般 | 难 | 40000-80000 | 对美观要求极高,经济条件好 |
矫正过程中的注意事项也不容忽视,首先是口腔卫生维护,40岁人群牙龈抵抗力相对较弱,矫正期间食物残渣更容易滞留,需使用正畸专用牙刷、牙缝刷、冲牙器等工具加强清洁,预防龋齿和牙周炎;其次是饮食调整,避免食用过硬、黏性食物(如坚果、口香糖),防止托槽脱落或损坏;再次是复诊配合,严格按照医生约定时间复诊,以便医生及时调整矫正力,监控牙齿移动情况;最后是心理准备,矫正通常需要1-3年时间,过程中可能出现牙齿酸痛、口腔溃疡等不适,需保持耐心,与医生保持良好沟通。
矫正完成后,保持器的佩戴同样重要,牙齿在移动后,牙槽骨改建需要时间,牙龈和牙周组织的稳定也需要过程,若不佩戴保持器,牙齿容易回到原来的位置,40岁人群的牙周组织代谢相对较慢,保持时间可能需要更长,通常建议全天佩戴保持器6-12个月,之后改为夜间长期佩戴,甚至终身佩戴,以维持矫正效果。
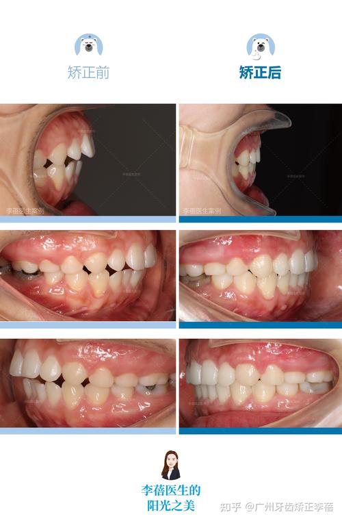
40岁人群矫正成功的案例并不少见,某45岁的企业高管,因牙齿前突影响职业形象,通过隐形矫正排齐牙齿,不仅改善了面型,还提升了自信心;某42岁的宝妈,因牙齿拥挤导致刷牙困难,频繁发生龋齿,矫正后口腔卫生状况明显改善,牙齿健康得到保障,这些案例表明,只要经过充分评估和科学治疗,40岁人群完全可以通过牙齿矫正获得健康与美观的双重收获。
40岁矫正也存在一些特殊性,比如矫正时间可能略长于青少年,牙齿移动过程中可能出现轻微的牙根吸收(通常在可接受范围内),对医生的技术要求更高等,选择一位经验丰富的正畸医生至关重要,医生会根据个体情况制定个性化方案,在保证效果的前提下,尽可能降低风险,缩短矫正时间。

40岁完全可以做牙齿矫正,年龄不是阻碍,关键在于全面的口腔评估、良好的牙周健康、科学的治疗方案以及患者的积极配合,随着口腔技术的不断发展和人们对生活质量追求的提升,越来越多的成年人将牙齿矫正视为改善口腔健康、提升个人魅力的重要投资,如果你也是40岁左右,正被牙齿问题困扰,不妨勇敢迈出第一步,咨询专业的正畸医生,让自己拥有一口整齐健康的牙齿,绽放自信的笑容。
相关问答FAQs
Q1:40岁矫正牙齿会比年轻人慢很多吗?效果会打折扣吗?
A:40岁人群的牙槽骨代谢速度确实可能略慢于青少年,因此牙齿移动速度可能会稍慢,矫正时间可能会比青少年延长3-6个月左右(具体因人而异),但只要牙周健康,牙槽骨具备改建能力,矫正效果并不会打折扣,现代正畸技术通过精准控制矫正力,能够有效引导牙齿移动至理想位置,最终达到排齐牙齿、改善咬合、提升面型的效果,关键在于矫正方案的个性化设计和患者的配合度。
Q2:矫正后牙齿会容易松动吗?老了会不会掉牙?
A:矫正过程中牙齿出现轻微松动是正常现象,这是因为牙齿在力的作用下牙槽骨发生改建,牙齿移动后牙槽骨会逐渐稳定,松动会消失,矫正完成后,如果保持器佩戴规范,牙齿会重新稳固,牙齿松动或脱落主要与牙周健康状况有关,而非矫正本身,若矫正前牙周健康,矫正中注意口腔卫生,定期进行牙周检查和维护,牙齿可以正常使用,不会因矫正导致老掉牙,相反,通过矫正改善牙齿拥挤,更有利于口腔清洁,反而能降低牙周病风险,保护牙齿长期健康。
