牙齿矫正是一项通过专业医疗手段调整牙齿排列、改善咬合关系、提升口腔健康与面部美观的系统性过程,而图片记录贯穿始终,既为医生提供精准诊疗依据,也让患者直观见证牙齿的蜕变,从矫正前的方案设计到矫正后的效果巩固,不同阶段的图片承载着不同的意义,共同构成了一部完整的“牙齿变形记”。
矫正前的评估与方案设计:用图片绘制“矫正蓝图”
矫正前的全面评估是成功的基础,这一阶段拍摄的各类图片如同“地基数据”,直接决定矫正方案的个性化与科学性,医生通常需要拍摄四大类核心图片:

口腔X线片:包括全景片(曲面断层片)和头颅侧位片,全景片能清晰展示全口牙齿的数量、形态、位置以及牙根、牙槽骨的情况,帮助判断是否存在埋伏牙、多生牙、牙根吸收等问题;头颅侧位片则用于分析骨骼关系,如上下颌骨的发育是否协调、有无凸嘴或凹面型等骨骼性问题,为制定拔牙方案、掩饰性矫正等提供依据。
口内数字化扫描图或石膏模型:通过口内扫描仪获取牙齿的3D数字模型,或传统印模制作石膏模型,可直观记录牙齿的初始排列、拥挤程度、牙间隙、咬合深度等细节,这些模型或扫描图是后续方案设计的重要参照,医生可在其上模拟牙齿移动路径,预测矫正后的效果。
面部与口腔正面/侧面照:拍摄患者自然状态下的正面、侧面及45°侧面照片,记录面部轮廓、微笑曲线、唇部形态等,这些图片不仅用于评估面部美观,还能在矫正后对比面部软组织的变化,比如凸嘴矫正后嘴唇与牙齿的协调度。
动态功能照:包括开闭口、咀嚼、发音时的视频或图片,用于评估颞下颌关节(TMJ)功能、咬合运动轨迹等,排除关节紊乱等潜在风险,确保矫正方案不会影响口腔正常功能。

这一阶段的图片作用在于“精准诊断”:医生通过综合分析这些图片,明确牙齿问题的本质(是单纯拥挤还是伴骨骼问题),制定出“量体裁衣”的矫正方案,患者也能通过图片直观理解自身牙齿状况,增强对矫正的信心。
矫正中的动态调整:用图片追踪“牙齿移动轨迹”
矫正过程中,牙齿会按照预设的方案缓慢移动,而定期拍摄的对比图片是医生调整方案、患者了解进度的“导航仪”,根据矫正方式的不同(传统托槽矫正、隐形矫正、舌侧矫正等),图片拍摄的重点略有差异,但核心目标一致:记录牙齿变化、确保矫正方向正确。
定期复诊对比照:通常每4-6周复诊一次,医生会拍摄与初期同角度的口内照(如正面、咬合面、左右侧)和面部照,对于拥挤的牙齿,初期图片可能显示牙齿重叠明显,随着矫正推进,后续图片会逐渐展示牙齿排列整齐度的提升;对于地包天患者,侧位照可清晰记录下颌骨的回退程度,这些对比照能让患者直观看到“牙齿每天都在变整齐”,提升矫正依从性。
数字化矫正的实时监控图:隐形矫正患者可通过配套APP上传牙齿佩戴情况的照片,医生通过对比口扫数据与佩戴照片,判断牙齿移动是否符合预期,若出现附件脱落、牙齿移动滞后等情况,可及时调整矫正方案或提醒患者正确佩戴,舌侧矫正因托槽位于舌侧,医生则更多依赖小口镜检查和X光片,配合患者反馈调整。

关键节点的阶段性图片:在拔牙病例中,拔牙后1-3个月会拍摄X光片,观察牙槽骨愈合情况及牙齿向拔牙隙移动的速度;在关闭拔牙隙阶段,通过咬合面照监测牙齿是否垂直向稳定,避免出现“牙根吸收”或“牙齿倾斜”;对于需要调整咬合的病例,则通过 Articulation纸记录咬合接触点,拍摄咬合照片确保达到稳定的咬合关系。
这一阶段的图片作用在于“动态监控”:医生通过对比不同时间点的图片,判断牙齿移动是否偏离预设轨道,及时调整加力方式或附件设计;患者则通过图片看到“努力没有白费”,更积极地配合矫正。
矫正后的效果巩固:用图片定格“完美笑容”
拆除矫正器后,牙齿进入保持阶段,但此时牙龈组织、牙槽骨仍需时间稳定,定期拍摄的图片是监测复发风险、巩固矫正效果的“最后一道防线”。
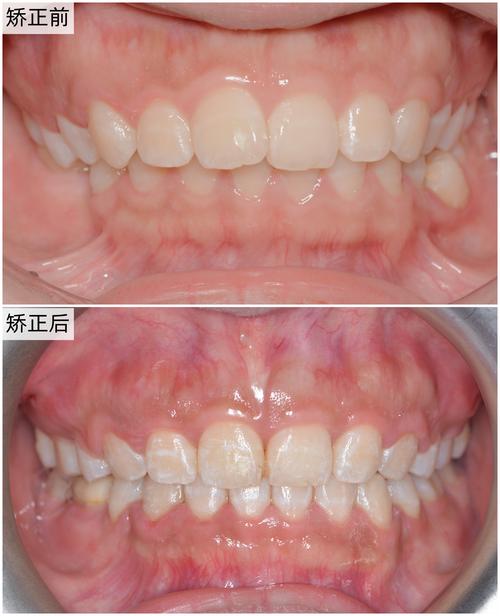
拆除矫正器时的“毕业照”:拆除牙套后,医生会拍摄全景片、口内对比照和面部对比照,全景片确认牙根排列是否正常、有无牙根吸收;口内对比照将矫正后牙齿排列与初期模型或扫描图对比,直观展示拥挤解除、咬合改善的效果;面部对比照则突出微笑曲线、侧貌轮廓的变化,龅牙”患者矫正后嘴唇不再外凸,侧脸线条更流畅。
保持器阶段的监测图:保持器是防止复发的关键,尤其是前6个月,需定期拍摄佩戴保持器时的口内照,确保保持器与牙齿贴合紧密(透明保持器无气泡、无翘起;活动保持器卡位准确),每6-12个月拍摄一次全景片,监测牙齿是否有轻微移位,尤其是曾拔牙或存在牙周问题的患者,需重点关注牙槽骨吸收情况。
长期随访的效果图:矫正完成1-2年后,医生会建议拍摄“长期效果照”,与矫正前对比,评估牙齿稳定性,若出现复发迹象(如牙齿轻微拥挤、咬合干扰),可通过调整保持器或短期干预解决,避免二次矫正。
这一阶段的图片作用在于“效果固化”:既为患者留下矫正前后的对比记忆,也为医生积累临床经验,同时通过长期监测确保矫正效果的持久性。
矫正过程图片记录阶段概览
为更直观展示不同阶段的图片作用,以下为矫正过程图片记录的阶段性总结:
| 阶段 | 时间周期 | 核心操作 | 图片拍摄重点 | 图片作用 |
|---|---|---|---|---|
| 矫正前评估 | 1-2周 | 临床检查、数据采集 | 全景片、头颅侧位片、口内/面部基线照、模型 | 制定方案、建立参照 |
| 矫正中调整 | 6-24个月(因人而异) | 戴牙套、定期复诊、加力调整 | 复诊对比照、口扫3D图、功能照 | 跟踪进度、优化方案、提升依从性 |
| 矫正后保持 | 6-24个月以上 | 戴保持器、定期复查 | 拆除“毕业照”、保持器佩戴照、长期随访照 | 巩固效果、监测稳定性、预防复发 |
相关问答FAQs
矫正过程中自己用手机拍摄牙齿图片,有哪些注意事项?
答:自行拍摄牙齿图片时,需注意以下几点以确保图片有效参考价值:① 光线充足:尽量在自然光下拍摄,避免灯光阴影导致牙齿细节模糊;② 角度固定:每次拍摄保持正面、45°侧面、咬合面(张口对镜拍摄)同一角度,便于对比;③ 背景简洁:用白色或纯色背景,避免杂乱干扰;④ 自然放松:嘴唇自然闭合(拍摄面部)或微张(拍摄口内),不刻意拉扯或遮挡牙齿;⑤ 定期拍摄:建议每周固定时间拍摄,记录牙齿渐进变化,若发现牙套脱落、钢丝刺破黏膜等异常,及时联系医生。
矫正后医生为什么要求定期拍摄图片?即使牙齿看起来已经整齐了?
答:矫正后牙齿仍处于“不稳定状态”,牙周组织(牙龈、牙槽骨、牙周膜)需要6-12个月甚至更长时间来适应新的位置,定期拍摄图片是监测稳定性的关键:① 预防复发:部分患者(如曾拔牙、牙周条件差)可能出现牙齿轻微移位,通过对比初期与当前的口内照、全景片,可早期发现复发迹象(如牙齿拥挤、咬合干扰),及时调整保持器;② 评估软组织变化:矫正后面部轮廓、微笑曲线可能随牙齿移动进一步改善,定期拍摄面部照可确认美观效果是否达到预期;③ 排除潜在问题:通过X光片可观察牙根是否吸收、牙槽骨是否健康,避免因忽视细节导致矫正效果长期受损,即使牙齿“看起来整齐”,定期图片监测仍是必要的“保险措施”。
