矫正牙齿是改善口腔健康与面部美观的常见医疗手段,随着短视频平台的普及,大量“矫正牙齿视频过程”被分享,这些视频既能让潜在患者直观了解矫正流程,也可能因信息碎片化引发误解,本文将从矫正前准备、矫正中关键阶段、矫正后维护三个维度,结合视频常见内容,详细解析牙齿矫正的真实过程,并通过表格对比不同矫正方式的特点,最后附上相关问答,帮助读者全面、科学地认识牙齿矫正。
矫正前的评估与方案设计:视频中的“序幕”
牙齿矫正并非直接戴牙套,而是基于全面的口腔检查和数据分析制定个性化方案,视频中常展示的“初诊”环节,主要包括以下内容:

口腔检查与数据采集
医生会通过视诊检查牙齿排列、咬合关系、牙周健康状况(是否有牙龈炎、牙槽骨吸收等),并拍摄X光片(全景片观察全口牙齿、牙根及颌骨情况,头颅侧位片分析骨性关系),若选择隐形矫正,还会进行口内扫描(替代传统取模,生成3D数字模型);传统托槽矫正则可能取石膏模型,视频里常看到患者张嘴、咬合的动作,正是医生记录初始状态的环节。
方案设计与沟通
基于检查数据,医生会判断错颌类型(如牙列拥挤、龅牙、地包天、深覆颌等),并结合患者年龄、诉求(美观优先还是功能优先)、经济条件,设计矫正方案,视频中常见医生用模型或3D动画演示牙齿移动路径,拔除4颗第一前磨牙为拥挤牙齿腾出空间”“通过骨钉内收前牙改善凸嘴”等,此时患者会明确矫正类型(传统金属托槽、陶瓷托槽、隐形牙套、舌侧矫正)、预计时间(1.5-3年不等)、费用及可能的风险(如牙根吸收、复发),并签署知情同意书。
矫正中的核心阶段:视频里的“主角登场”
从戴上第一副牙套到拆除矫正器,是矫正过程的核心阶段,视频内容也最集中,不同矫正方式的操作差异显著:
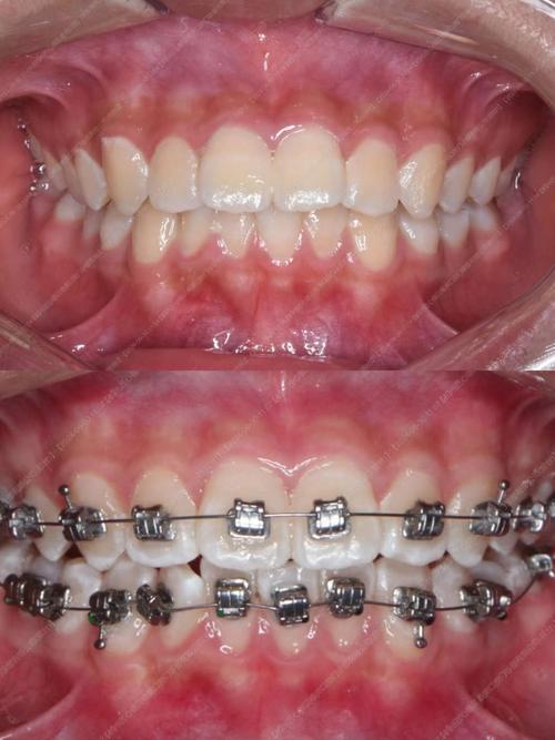
(1)传统托槽矫正:粘托槽与“钢丝弓丝”的配合
传统矫正的视频常以“粘托槽”为开场:医生用酸蚀剂处理牙齿表面(增强粘接强度),再将金属或陶瓷托槽(带有槽沟的小片)用树脂粘在牙齿唇颊/舌侧,最后将弓丝(镍钛丝、不锈钢丝等)嵌入托槽槽沟,用结扎丝或橡皮圈固定,此时患者会感觉牙齿酸胀(类似“紧绷感”),通常持续3-5天,视频里常有人调侃“像戴了牙套的钢铁侠”。

复诊是传统矫正的关键环节(通常4-6周一次),视频中常见医生更换弓丝(从细到粗,从软到硬,逐步施加移动牙齿的力)、调整托槽位置、添加橡皮圈(牵引牙齿关闭间隙或调整咬合),若涉及拔牙,拔牙间隙的关闭会贯穿整个矫正中期,视频可能展示“弓丝回弹带动牙齿移动”的细节,或患者用“皮筋”自行进行颌间牵引。
(2)隐形矫正:“换牙套”里的精密控制
隐形矫正的视频更“轻量化”,通常展示患者从医生处拿到一叠透明牙套(每副牙套对应1-2周的佩戴时间),咔哒”一声戴入牙列,其核心在于3D打印的牙套边缘包裹牙齿,通过每副牙套上细微的厚度差异,产生持续、轻柔的力(约0.1-0.25MPa),使牙齿逐步移动。
视频中常出现“附件”操作——医生在牙齿表面粘上树脂小凸点(增强牙套与牙齿的贴合度,辅助复杂移动),或展示“咬胶”(患者咬紧牙套,使其完全就位),复诊时,医生通过口扫对比牙齿移动进度,若移动滞后,可能增加“重牙套”或调整方案。
(3)特殊情况处理:视频中的“高光操作”
部分矫正涉及骨钉(微种植钉)植入,视频中可能看到局部麻醉下,医生用专用工具将骨钉植入牙槽骨(通常在上颌后牙区或下颌后牙区),作为“支抗”辅助内收前牙或压低牙齿,虽然听起来“可怕”,但实际操作仅需10-20分钟,视频中患者常表示“像打了一针麻药,没感觉”,若存在骨性畸形(如下颌后缩),可能需要“正畸正颌联合治疗”,视频中会展示术前术后对比,强调“功能与美观的双重改善”。

矫正结束与保持:视频里的“收官之战”
当牙齿排列整齐、咬合关系稳定后,便进入矫正后期,视频中常见医生拆除托槽(传统矫正)或停戴隐形牙套,用打磨工具去除残留粘接剂,此时患者常盯着镜子感叹“牙齿变整齐了”,但矫正并未结束,“保持器”才是防止复发的关键。
医生会根据患者情况制作保持器:传统矫正常用“哈雷保持器”(带钢丝和塑料基托),隐形矫正多用“透明压膜保持器”(类似最后一副牙套),视频中强调“保持器需全天佩戴(初期)→ 夜间长期佩戴”,因为牙齿周围的牙槽骨改建需要1-2年稳定,若不戴保持器,牙齿可能因“记忆效应”回到原位。
不同矫正类型特点对比表
| 对比维度 | 传统金属托槽 | 陶瓷托槽 | 隐形牙套 | 舌侧矫正 |
|---|---|---|---|---|
| 美观度 | 低(金属托槽明显) | 中(托槽接近牙齿色) | 高(透明,不易察觉) | 高(粘在舌侧,完全隐形) |
| 舒适度 | 一般(易磨口腔黏膜) | 较好(材质光滑) | 高(可摘戴,无刺激) | 较低(初期影响发音、异物感强) |
| 自洁性 | 差(托槽周围易存食物残渣) | 较差(同金属托槽) | 优(可摘戴,正常刷牙) | 差(清洁难度大,需专用工具) |
| 价格(万元) | 5-3 | 2-4 | 3-5 | 5-10+ |
| 适用情况 | 复杂错颌、青少年 | 对美观有要求、成人 | 轻中度错颌、成人 | 对美观要求极高、成人 |
视频观看注意事项
矫正牙齿视频多为“案例展示”,存在个体差异:一是视频可能省略细节(如骨钉植入的疼痛管理、牙周炎患者的额外治疗),二是“快速见效”的视频可能经过剪辑(实际矫正需循序渐进),观看视频时需理性看待,务必以专业医生的方案为准,避免盲目模仿或自行调整矫正器。
相关问答(FAQs)
问题1:矫正牙齿视频中的“酸胀感”真实吗?为什么我戴牙套后疼痛更明显?
解答:视频中的酸胀感是矫正初期的正常反应,源于牙齿受力移动时牙周组织受到的压迫,个体差异会导致疼痛程度不同:若牙齿本身较敏感、牙槽骨密度高,或医生施加的力较大(如更换粗弓丝、拔牙后间隙关闭初期),疼痛感可能更明显,通常疼痛在3-5天内缓解,若持续超过1周或出现刺痛、肿胀,需复诊排查弓丝末端刺激、托槽脱落等问题。
问题2:通过矫正视频能自己在家操作矫正吗?比如自己换隐形牙套或调整弓丝?
解答:绝对不能,牙齿移动是“生物力学+生物学”的精密过程,需医生根据牙齿位置、牙根长度、骨性条件等控制力的大小、方向和时机,视频中“自己换牙套”看似简单,但若忽略牙齿移动滞后、附件脱落等问题,可能导致牙齿移位异常、咬合紊乱;自行调整弓丝可能刺伤黏膜、甚至造成牙根吸收,矫正必须在专业医生全程监控下进行,任何“DIY”操作都存在严重风险。
