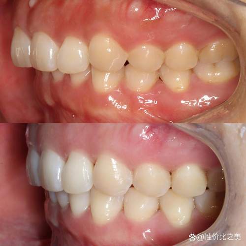
咬合是牙齿、颌骨、咀嚼肌以及颞下颌关节协同工作的复杂结果,良好的咬合关系不仅关系到咀嚼效率,还影响面部美观和口腔健康,牙齿矫正的核心目标之一便是建立稳定、协调的咬合,但在矫正过程中,部分人可能会遇到“咬合不了”的问题,表现为牙齿无法紧密接触、咀嚼无力、颞下颌关节疼痛等,这可能与多种因素相关,需要具体分析原因并采取针对性措施。
矫正牙齿“咬合不了”的常见原因
矫正方案设计问题
正畸方案是矫正的“蓝图”,若设计不当,可能导致牙齿移动方向偏离理想位置,进而影响咬合,咬合平面设计不对称(如一侧牙齿过高、过低),或对严重骨性畸形(如下颌后缩、上颌前突)的牙齿代偿不足,矫正后上下牙齿无法形成稳定的尖窝交错关系;若未充分考虑患者的咀嚼习惯、肌肉张力等因素,也可能导致咬合干扰。

牙齿移动过程中的暂时性适应
矫正过程中,牙齿需要在牙槽骨中缓慢移动,周围的牙周组织、咀嚼肌及颞下颌关节需要时间适应新的位置,尤其在矫正初期(如刚戴矫正器、更换弓丝后),或进行大幅度牙齿移动(如拔牙后的关闭间隙)时,可能出现暂时性咬合干扰,表现为“咬不上”“感觉牙齿没力气”,通常1-2周内会随着适应逐渐缓解。
口腔不良习惯的干扰
长期存在的口腔不良习惯,如夜磨牙、紧咬牙、偏侧咀嚼、咬唇、吐舌等,会破坏牙齿移动的平衡,导致咬合紊乱,夜磨牙会产生异常咬合力,使矫正中的牙齿偏离预设位置;吐舌习惯可能推前牙前倾,造成前牙开颌(上下前牙无法接触),后牙咬合不紧密。
牙周健康问题
牙周是牙齿移动的基础,若患者存在牙周炎(牙槽骨吸收、牙齿松动),矫正过程中牙齿移动可能加重牙周组织的负担,导致牙齿松动度增加,咬合时感觉“牙齿晃动”“无力”,甚至无法承受正常咀嚼力,牙周组织未完全稳定就进行矫正,也可能影响咬合的建立。
矫正器本身的干扰
矫正器(如托槽、弓丝、隐形牙套)的安装或调整问题,也可能直接导致咬合异常,托槽粘贴位置偏差,使牙齿向错误方向移动;弓丝变形、末端过长,刺激口腔软组织或阻碍牙齿完全就位;隐形矫正中牙套厚度不均或附件设计不当,导致牙齿咬合时无法完全贴合。

“咬合不了”的典型表现
- 咀嚼功能下降:咬食物时感觉无力,或牙齿无法紧密接触,导致食物研磨不充分,甚至需要反复咀嚼。
- 颞下颌关节紊乱(TMD):关节区疼痛、弹响(张口或咀嚼时“咔咔”响),张口受限,严重时可能伴随头痛、耳部不适。
- 牙齿磨耗:咬合干扰点(如个别牙齿过高)会导致相邻牙齿过度磨耗,出现牙齿敏感、牙体缺损。
- 发音影响:前牙咬合异常(如深覆颌、开颌)可能影响唇齿音、齿音发音,说话时漏气或含糊不清。
“咬合不了”的应对策略
区分暂时性与持续性干扰
若矫正初期出现轻微咬合不适,可先观察1-2周,避免咬硬物(如坚果、牛肉干),选择软食(如粥、面条),同时进行轻柔的肌肉按摩(如按摩咀嚼肌),帮助适应,若超过2周无缓解,或伴随疼痛、咀嚼困难,需及时复诊。
调整矫正方案(针对方案设计问题)
医生会通过临床检查、模型分析、X光片等评估咬合异常原因,必要时重新设计方案,通过颌垫(临时性咬合板)调整咬合平面,缓解关节压力;或使用弹性牵引(如颌间牵引)引导上下牙齿精确对位;对于复杂病例,可能需联合正颌手术治疗骨性问题。
纠正口腔不良习惯
通过行为矫正(如记录习惯日记、提醒装置)减少夜磨牙、吐舌等行为;夜磨牙者可佩戴颌垫(如软垫、硬垫),夜间吸收咬合力,保护牙齿和关节;偏侧咀嚼者需治疗口腔疾病(如龋齿、牙周炎),恢复双侧咀嚼功能。
控制牙周健康后再矫正
若存在牙周炎,需先进行牙周治疗(如龈上洁治、龈下刮治、牙周手术),控制炎症,待牙周指标(如牙槽骨高度、牙齿松动度)稳定后,再在医生指导下进行轻力度矫正,矫正中需定期复查牙周情况。

调整或更换矫正器
医生会检查矫正器是否存在干扰:托槽位置偏差可重新粘贴;弓丝变形或过长可调整或更换;隐形矫正者需检查牙套贴合度,必要时修改牙套厚度或调整附件设计,确保牙齿能完全就位。
不同原因“咬合不了”的应对策略总结
| 可能原因 | 典型表现 | 应对策略 |
|---|---|---|
| 矫正方案设计问题 | 咬合不匹配、关节不适 | 重新评估方案,使用颌板、颌间牵引或联合正颌手术 |
| 暂时性适应 | 短期咬合干扰、肌肉酸痛 | 观察适应1-2周,软食饮食,避免咬硬物 |
| 口腔不良习惯 | 夜磨牙、吐舌导致咬合紊乱 | 行为矫正,佩戴颌垫,纠正偏侧咀嚼 |
| 牙周健康问题 | 牙齿松动、咬合无力 | 先治疗牙周炎,控制炎症后再矫正,定期复查牙周 |
| 矫正器干扰 | 托槽/弓丝位置偏差,牙齿无法就位 | 调整或更换矫正器,重新粘贴托槽,修改隐形牙套 |
矫正牙齿“咬合不了”并非罕见,可能是暂时性适应、方案设计、不良习惯或口腔健康问题的综合结果,关键在于及时与正畸医生沟通,通过专业检查明确原因,针对性处理——多数情况下,通过调整方案、纠正习惯或优化矫正器,都能逐步建立稳定咬合,矫正过程中需定期复查(一般4-6周一次),以便医生早期发现并解决问题,确保矫正效果和口腔健康。
相关问答FAQs
问题1:矫正牙齿咬合不了是不是意味着矫正失败了?
解答:不一定,矫正初期或调整阶段出现暂时性咬合干扰是常见现象,多与牙齿移动、肌肉适应有关,通常1-2周会缓解,若持续存在或伴随疼痛、咀嚼困难,可能是方案设计、矫正器干扰或口腔问题导致,需及时复诊调整,通过优化方案或处理诱因,多数可改善咬合,不影响最终效果,只有当医生评估无法达到预期咬合目标时,才可能视为矫正效果不佳,但并非绝对。
问题2:矫正后咬合不稳定,容易咬合不上,是什么原因?怎么办?
解答:矫正后咬合不稳定可能与以下因素有关:①保持器佩戴不当或时间不足,牙齿有复发趋势;②牙周支持组织未完全稳定(矫正后1年内仍可能轻微调整);③原有口腔不良习惯(如夜磨牙)未纠正,持续影响咬合;④矫正中咬合平衡建立不完善,存在个别干扰点,建议:立即联系正畸医生,检查咬合情况,可能需要调整保持器(如更换新保持器或增加佩戴时间);若存在干扰点,医生会进行少量调磨;同时纠正不良习惯,定期复查(矫正后第一年建议每3-6个月复查一次),确保咬合长期稳定。
