矫正牙齿是一个漫长且需要耐心陪伴的过程,而半年作为矫正周期中的重要时间节点,往往能带来肉眼可见的变化,无论是金属托槽、陶瓷牙套还是隐形矫正器,牙齿在半年内都会经历从“初始排列”到“逐步归位”的动态过程,这种变化不仅体现在牙齿的整齐度上,还可能涉及咬合功能、面部轮廓乃至口腔健康的整体改善,本文将结合矫正牙齿的生物学原理和临床案例,详细解析半年内牙齿的变化规律,并通过时间轴表格直观呈现不同阶段的进展,最后针对常见疑问进行解答。
矫正牙齿的生物学基础:牙齿如何“移动”?
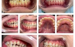
牙齿并非直接“嵌入”骨骼中,而是通过牙周膜(连接牙齿与牙槽软组织的纤维结构)悬浮在牙槽窝内,矫正过程中,牙套施加持续、轻柔的力,使牙周膜一侧受压(牙槽骨吸收),另一侧受牵拉(牙槽骨增生),牙齿便会在牙槽窝中缓慢移动,这一过程被称为“牙槽骨改建”,其速度因人而异,通常每月移动1-1.5毫米,半年左右即可实现3-6毫米的位移,这也是半年变化显著的核心原因。

矫正牙齿半年内的阶段性变化
1-3个月:适应期与初步移动
刚戴牙套的1-2周,牙齿会受到外力刺激,出现酸胀、咬合无力等不适感,属于正常生理反应(牙周膜轻微受损引发),一般3-5天后缓解,此时牙齿的移动以“解除拥挤”和“纠正旋转”为主:
- 拥挤牙齿:原本重叠的牙齿开始出现微小缝隙,排列方向逐渐调整(如“虎牙”向牙弓中央靠拢);
- 龅牙/突牙:上前牙受唇侧力作用,开始轻微回收,变化初期可能不明显,但用手触摸能感到牙面角度的改变;
- 咬合调整:后牙咬合点开始接触,可能伴随短暂咬合痛,因牙尖正在寻找新的平衡位置。
此阶段需注意口腔卫生,牙套周围易积存食物残渣,建议使用正畸专用牙刷、牙缝刷,避免牙龈炎;饮食上避免过硬、黏性食物(如坚果、口香糖),防止托槽脱落。
3-6个月:加速调整与功能改善
进入3个月后,牙齿移动速度加快,牙周膜改建进入稳定期,不适感基本消失,变化肉眼可见:
- 排列整齐度提升:牙齿缝隙逐渐关闭,扭转牙基本归位,牙弓弧度开始显现,原本“乱如麻”的牙列变得有序;
- 咬合关系优化:深覆颌(上牙完全覆盖下牙)可能改善,下牙有更多空间;深覆盖(龅牙)上前牙回收2-3mm,侧面轮廓更柔和;
- 口腔健康改善:牙齿排列整齐后,刷牙死角减少,牙龈炎、牙结石堆积风险降低,部分患者会出现牙龈“消肿”的现象,牙齿看起来更“亮白”。
若涉及拔牙矫正(如严重拥挤需拔除4颗前磨牙),此时拔牙间隙开始关闭,邻牙向拔牙槽移动,半年内可关闭约1/2-2/3间隙。

矫正牙齿半年内典型变化时间轴
以下表格综合临床案例,总结不同时间段牙齿变化的核心表现及注意事项:
| 时间段 | 牙齿移动表现 | 口腔感受 | 外观变化 | 注意事项 |
|---|---|---|---|---|
| 1个月 | 牙齿轻微松动,排列方向微调 | 酸胀、咬合无力,3-5天缓解 | 牙面托槽明显,无肉眼排列变化 | 避免啃咬硬物,使用软毛牙刷 |
| 2个月 | 拥挤牙出现缝隙,扭转牙角度改善 | 不适感消失,适应牙套存在 | 牙齿“不堆叠”,缝隙可见 | 加强牙缝清洁,预防邻面龋 |
| 3个月 | 拔牙间隙开始关闭(如需),龅牙轻微回收 | 咬合时有轻微“酸感”(移动中) | 侧面线条略柔和,笑容更自然 | 按时复诊调整弓丝 |
| 4-5个月 | 牙弓弧度形成,深覆颌打开2-3mm | 咬合稳定,无异常疼痛 | 牙列整齐度显著提升,牙龈红肿消退 | 佩戴橡皮筋(遵医嘱),辅助咬合调整 |
| 6个月 | 拥挤基本解除,咬合关系初步建立 | 口腔功能改善,咀嚼更顺畅 | 整齐牙列初具雏形,侧脸变化明显 | 拍摄对比照,记录变化,保持口腔卫生 |
影响半年变化的关键因素
半年矫正效果并非“千人一面”,主要受以下因素影响:
- 初始牙齿状况:轻度拥挤、单纯龅牙患者半年变化明显;严重骨性畸形(如地包天)可能需配合正颌手术,半年仅能改善部分排列问题;
- 矫正方案设计:是否拔牙、是否使用支抗钉(辅助牙齿精确移动)、牙套类型(隐形矫正可自行摘戴,依赖患者 compliance,金属矫正力更稳定);
- 患者配合度:隐形矫正需每日佩戴20-22小时,按时更换牙套;传统矫正需避免托槽脱落,定期复诊调整(通常4-6周一次);
- 年龄与代谢:青少年牙槽骨改建快,半年变化更显著;成年人因骨密度较高,移动速度稍慢,但最终效果一致。
半年变化的“惊喜”与“耐心”
许多患者在半年复诊时,会惊讶于牙齿从“杂乱无章”到“井然有序”的转变:原本不敢露齿的笑容变得自信,咬苹果不再“小心翼翼”,甚至面部轮廓因牙齿回收而更显协调,但需注意,半年仅为“中期节点”,后续还需精细调整咬合、关闭剩余间隙,最终保持器佩戴(通常1-2年)是防止反弹的关键。
相关问答FAQs
Q1:矫正牙齿半年后,牙齿会反弹吗?如何避免?
A:半年内牙齿处于“移动-稳定”的过渡期,存在轻微反弹风险,尤其是未完成咬合调整或保持器佩戴不规范时,避免反弹需做到:①严格遵医嘱佩戴保持器(拆除牙套后立即开始,前6个月需全天佩戴,之后逐渐减少夜间佩戴);②避免用牙啃硬物(如开酒瓶、咬坚果),防止牙齿移位;③定期复查(每3-6个月一次),医生会监控牙齿稳定性。
Q2:矫正半年后,可以正常吃东西吗?有哪些饮食禁忌?
A:半年后牙齿已基本适应矫正力,咀嚼功能逐渐恢复,但仍需避免“高糖、高硬度、高黏性”食物:①高糖食物(如奶茶、蛋糕)易引发龋齿,且残渣黏附牙套难以清洁;②高硬度食物(如排骨、螃蟹壳)可能导致托槽脱落或牙齿表面崩瓷;③高黏性食物(如口香糖、年糕)易黏附在牙套和牙齿间,增加清洁难度,建议选择易咀嚼、营养均衡的食物,如粥、面条、蒸蔬菜、鱼肉等,进食后及时漱口、清洁牙套。
