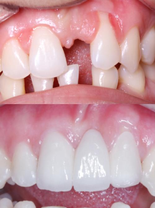
美容冠矫正牙齿是一种结合牙齿修复与美学改善的快速矫正方式,通过磨除少量牙体组织后佩戴定制牙冠,实现牙齿排列、颜色、形态的同步优化,相较于传统正畸,其优势在于矫正周期短(通常1-2周)、即刻见效,尤其适合对美观需求高、不愿长期佩戴牙套的人群,但同时也存在不可逆磨牙、适应症限制等需谨慎考量的因素。
适用人群与核心优势
美容冠主要解决以下牙齿问题:四环素牙、氟斑牙等重度色素沉着;牙齿缺损、过小或形态异常(如锥形牙);轻微排列不齐(如间隙、扭转)但不愿正畸;牙齿磨损导致的咬合功能下降,其核心优势在于“美学与功能兼顾”:牙冠材料如全瓷、超薄瓷等,可模拟天然牙的通透感与色泽,修复后牙齿整齐、色泽自然;同时牙冠覆盖牙体,能增强牙齿强度,改善咬合效率,矫正周期短,无需反复调整,适合对美观有迫切需求的人群(如演员、主持人等)。

潜在劣势与风险
尽管美容冠效果显著,但并非人人适用,其最大缺点是“不可逆性”——需磨除牙体表层(通常0.5-1.5mm),磨除后的牙体无法再生,可能引发牙髓敏感甚至损伤,因此对牙体健康和牙髓活力要求较高,费用较高(单颗约3000-8000元,根据材料品牌差异大),且对医生技术依赖性强:备牙量过多或牙冠密合度不佳,易导致继发龋、牙龈炎等并发症,对于严重骨性错颌(如地包天、龅牙)或牙齿排列极度紊乱者,美容冠无法移动牙根,矫正效果有限,需优先考虑正畸治疗。
美容冠矫正流程详解
- 口腔检查与方案设计:通过口腔CT、全景片等检查牙体、牙根及牙周状况,排除牙周炎、牙髓炎等禁忌症;结合患者脸型、笑容线设计牙冠形态与色泽,确定备牙量。
- 牙体预备:局部麻醉下,磨除牙齿表层釉质,保留足够牙本质支撑,确保牙冠强度与密合度;对于活髓牙,需注意保护牙髓,避免过度刺激。
- 取模与临时冠制作:用硅橡胶或数字化扫描获取牙模,制作临时牙冠保护磨牙后的牙体,避免敏感或食物嵌塞。
- 牙冠制作与试戴:技工所根据模型制作全瓷/烤瓷牙冠(如氧化锆、铸瓷等),1周左右完成;试戴时调整咬合、邻接关系及颜色,确保舒适与自然。
- 粘接与随访:用树脂粘接剂固定牙冠,去除多余粘接剂;术后1周、1个月复查,检查牙龈适应性、咬合情况及牙冠密合度。
美容冠与其他矫正方式对比
| 对比维度 | 美容冠 | 传统托槽矫正 | 隐形矫正 |
|---|---|---|---|
| 矫正时间 | 1-2周 | 1-3年 | 6-18个月 |
| 美观度 | 高(即刻改善) | 低(钢/陶瓷托槽明显) | 中高(透明牙套,可摘戴) |
| 牙体磨损 | 不可逆磨牙(0.5-1.5mm) | 无磨损(移动牙齿) | 无磨损(移动牙齿) |
| 适用情况 | 轻度排列不齐、牙齿缺损/变色 | 各类错颌(骨性/牙性) | 轻中度错颌,需配合度高 |
| 费用 | 较高(单颗3000-8000元) | 中等(1.5-5万元) | 较高(2-6万元) |
| 舒适度 | 初期可能有异物感 | 括号摩擦,口腔溃疡风险高 | 较舒适(可摘戴,无托槽) |
注意事项与术后护理
- 严格把握适应症:牙周健康、牙髓活力正常、牙体缺损不超过1/3者方可考虑;青少年(牙根未发育完全)、重度磨牙症患者禁用。
- 术后护理:避免咬硬物(如坚果、螃蟹壳),防止牙冠崩瓷;使用软毛牙刷、牙线清洁邻接面,定期洗牙(每6个月1次),预防牙龈萎缩。
- 选择正规机构:优先考虑有资质的口腔医院或诊所,确保医生具备丰富的牙体预备与牙冠制作经验,降低技术风险。
相关问答FAQs
Q1:美容冠矫正牙齿需要磨除多少牙体?会不会损伤牙齿?
A:磨除量需根据牙齿原形态、缺损程度及设计需求决定,通常为0.5-1.5mm(前牙磨除量少,后牙因咬合需求稍多),磨除仅限于牙釉质层,若操作规范且牙髓健康,一般不会损伤牙髓;但若牙齿本身隐裂、龋坏或磨除过量,可能引发牙髓敏感甚至坏死,因此术前需通过牙髓活力测试(如冷热测试、电活力测试)评估风险。
Q2:美容冠能用多久?日常使用中需要注意什么?
A:美容冠的使用寿命与材料、口腔护理及咬合习惯相关,全瓷牙冠通常可使用10-15年,若维护得当可达20年以上,日常需避免咬硬物(如开酒瓶、咬骨头)、减少色素食物(如咖啡、酱油)摄入,防止染色或崩瓷;同时定期复查(每年1次),检查牙冠边缘密合度及牙龈健康状况,发现问题及时处理。

