拔牙后是否可以矫正牙齿,是许多正畸患者心中的疑问,拔牙并非矫正的“禁区”,反而是解决复杂错颌问题的重要手段,在正畸领域,拔牙矫正已有百年历史,通过合理规划拔牙位置和数量,为牙齿移动提供空间,最终实现排列整齐、咬合稳定、面部协调的理想效果,本文将从拔牙矫正的必要性、适用情况、操作流程、效果保障及常见误区等方面展开详细说明,帮助读者全面了解这一技术。
拔牙矫正的“底层逻辑”:为什么需要拔牙?
牙齿矫正的核心是“在有限空间内排齐牙齿”,当口腔空间不足以容纳所有牙齿时,就需要通过拔牙创造间隙,常见的拔牙原因包括:
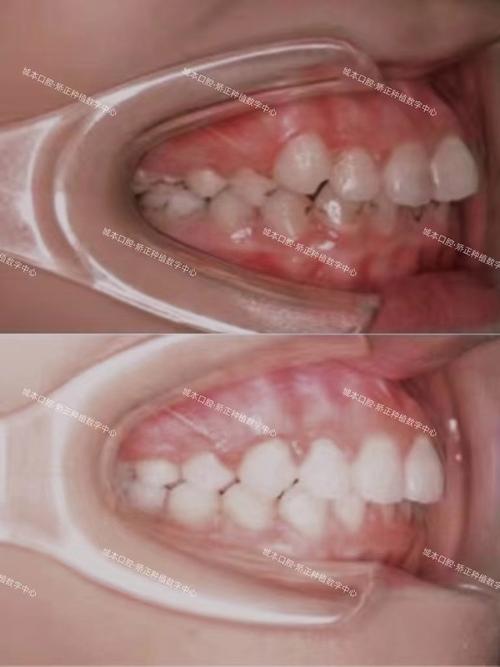
牙齿严重拥挤:牙弓长度不足,牙齿排列呈“叠罗汉”状,不仅影响美观,还易导致清洁困难、龋齿、牙周炎等问题,拔牙可解除拥挤,让每颗牙齿回到正常位置。
牙齿前突(龅牙):上下颌牙齿过度前突,导致嘴唇无法自然闭合,影响面部美观和发音,拔牙后通过内收前牙,可改善凸面型,使唇部更贴合。
咬合紊乱:如“深覆颌”(上牙过度覆盖下牙)、“深覆盖”(上牙超前过多)、“反颌”(地包天)等,常伴随骨骼不调,拔牙可通过调整牙齿位置,建立稳定的咬合关系,避免咀嚼功能受损。
保留健康牙齿:当存在严重龋坏、牙周病或智齿等无法保留的牙齿时,拔除患牙不仅能消除病灶,还能利用其间隙矫正其他牙齿,一举两得。

值得注意的是,拔牙并非“越多越好”,正畸医生会通过头颅侧位片、全景片、模型测量等数据,结合患者年龄、面部比例、骨骼情况等综合判断,制定个性化的拔牙方案。
拔牙矫正的“完整路径”:从术前到保持
拔牙矫正是一个系统的生物改建过程,需严格遵循医学规范,确保安全与效果。
术前评估:精准测量,方案定制
矫正前,医生会进行全面检查:
- 口腔检查:评估牙齿龋坏程度、牙周健康状况(是否有牙槽骨吸收)、牙龈炎症等,若有牙周病需先治疗再矫正。
- 影像学检查:拍摄头颅侧位片(分析骨骼关系、牙齿角度)、全景片(观察牙根形态、埋伏牙)、CBCT(三维评估骨量与牙根位置)。
- 模型分析:制作牙齿石膏模型,测量拥挤度、 Bolton指数(牙齿宽度协调性)等数据。
基于以上结果,医生会设计拔牙方案,明确拔除哪些牙齿(通常为第一前磨牙,对咀嚼功能影响小,间隙利用效率高)、拔牙顺序(一般先拔一侧,待牙齿移动后再拔另一侧,避免间隙关闭过快)。
拔牙时机:矫正初期同步进行
拔牙通常在矫正初期进行,即在戴入矫正器后1-2周内,此时牙齿尚未开始移动,拔牙后可立即利用矫正器关闭间隙,避免等待期间邻牙倾斜,拔牙后需咬棉球30-40分钟,24小时内避免刷牙漱口,预防干槽症(一种拔牙窝感染并发症,发生率约2%-5%,及时处理可快速缓解)。

矫正过程:牙齿“搬家”的生物力学原理
拔牙后,牙齿在正畸力的作用下缓慢移动,牙槽骨会随之改建——受压侧牙槽骨吸收,牵引侧新骨形成,如同“土壤”适应牙齿的“新位置”,这一过程:
- 初期(1-3个月):牙齿轻微松动,属于正常现象,牙根周围开始形成牙骨质,稳固牙齿。
- 中期(6-12个月):拔牙间隙逐渐关闭,牙齿排列整齐,咬合关系调整。
- 后期(12-24个月):精细调整牙齿位置、高度、接触点,确保咬合稳定。
矫正方式可根据需求选择:传统金属托槽、陶瓷托槽(美观)、隐形矫正(可自行摘戴,适合成人),不同方式对拔牙间隙的移动效率略有差异,但最终效果一致。
保持阶段:巩固效果,防止复发
矫正结束后,需佩戴保持器2年以上(前半年全天,后半年夜间睡眠时),这是因为牙齿周围牙槽骨改建完成需1-2年,且牙周组织有一定“记忆性”,不戴保持器易复发,保持器种类有哈雷保持器(带钢丝,固位力强)和透明保持器(隐形,美观),医生会根据情况推荐。
拔牙矫正的“真相与误区”:解答核心顾虑
误区1:“拔牙会导致牙齿松动、脱落”
真相:拔牙本身不会导致牙齿松动,矫正过程中的“松动”是牙齿移动的正常生理反应,牙根始终稳固,若术后出现牙齿异常松动,多与牙周病、矫正力过大或未遵医嘱佩戴保持器有关,规范操作可完全避免。
误区2:“拔牙会让脸型变丑、凹陷”
真相:拔牙矫正通常改善“凸嘴”“国字脸”,使面部轮廓更柔和,拔除前磨牙内收前牙后,嘴唇丰满度提升,鼻唇角更自然,不会导致面部凹陷,若患者本身面部软组织较薄,医生会通过精确计算移动距离,避免过度内收。
误区3:“拔牙矫正会很疼,恢复慢”
真相:拔牙后疼痛感类似普通牙拔除,可通过止痛药缓解;矫正初期1周内有轻微酸胀感,属正常现象,后续适应后无不适,现代正畸技术(如轻力矫治系统)已大幅降低不适感,多数患者可正常生活。
不同人群的“定制方案”:青少年与成人差异
- 青少年(12-18岁):处于生长发育高峰期,骨改建速度快,矫正周期短(通常1.5-2年),拔牙后骨骼可自行调整,效果更稳定。
- 成年人(18岁以上):生长发育停止,骨密度较高,矫正周期略长(2-3年),需重点关注牙周健康(若有牙周炎,需先控制炎症再矫正),成人常伴随牙齿磨耗、关节问题,方案设计需兼顾功能与美观。
术后护理“关键点”:保障矫正效果
- 口腔卫生:矫正期间食物易嵌塞,需使用正畸牙刷、牙缝刷、冲牙器清洁,避免龋齿和牙周炎。
- 饮食注意:拔牙后1周避免过硬、过烫食物,矫正期间戒掉坚果、硬糖等易损坏托槽的食物。
- 定期复诊:每4-6周复查一次,调整矫正力,确保牙齿按计划移动。
常见拔牙模式及适用情况
| 拔牙模式 | 适用情况 | 优点 | 注意事项 |
|---|---|---|---|
| 上下颌各拔第一前磨牙 | 中度拥挤、双颌前突、咬合紊乱 | 间隙利用效率高,对咀嚼功能影响小 | 需保持中线对齐,避免面部不对称 |
| 上颌拔第一前磨牙,下颌拔第二前磨牙 | 上颌前突严重,下颌牙弓整齐 | 改善凸面型效果显著 | 下颌第二前磨牙位置需准确评估 |
| 拔除无法保留的智齿或残根 | 伴随智齿冠周炎、残根刺激 | 消除病灶,利用间隙矫正 | 需评估智齿位置,避免损伤邻牙 |
相关问答FAQs
Q1:拔牙矫正后,牙齿会反弹吗?如何预防?
A:反弹风险主要与保持器佩戴和口腔习惯有关,若矫正后未按要求佩戴保持器,或存在咬唇、吐舌等不良习惯,可能导致牙齿复发,预防方法:严格佩戴保持器至少2年,定期复查(每年1次),保持口腔卫生,避免用牙齿咬硬物。
Q2:拔牙矫正会影响咀嚼功能吗?
A:短期(3-6个月)内可能因牙齿移动感到轻微咀嚼无力,属于正常现象,随着牙槽骨改建完成,咀嚼功能会逐渐恢复,甚至优于矫正前(因牙齿排列整齐,咬合效率提升),拔除的第一前磨牙对咀嚼功能影响极小,可通过其他牙齿代偿。
拔牙矫正是一项成熟、安全的正畸技术,通过科学规划和规范操作,不仅能解决牙齿排列问题,更能改善面部美观和口腔健康,患者在选择时应信任专业正畸医生,充分沟通需求,积极配合治疗,最终收获健康整齐的笑容。
