15岁是牙齿矫正的黄金时期,此时颌骨仍有一定的发育潜力,恒牙基本萌出,矫正效果往往事半功倍,但不少家长和青少年会遇到“是否需要拔牙”的困惑——拔牙真的有必要吗?会不会影响牙齿健康或面部美观?牙齿矫正是否拔牙,需基于牙齿拥挤度、咬合关系、颌骨发育情况等多维度综合判断,并非“拔牙就一定不好”或“不拔牙就完美”。
为什么15岁矫正可能需要拔牙?拔牙的适应症有哪些?
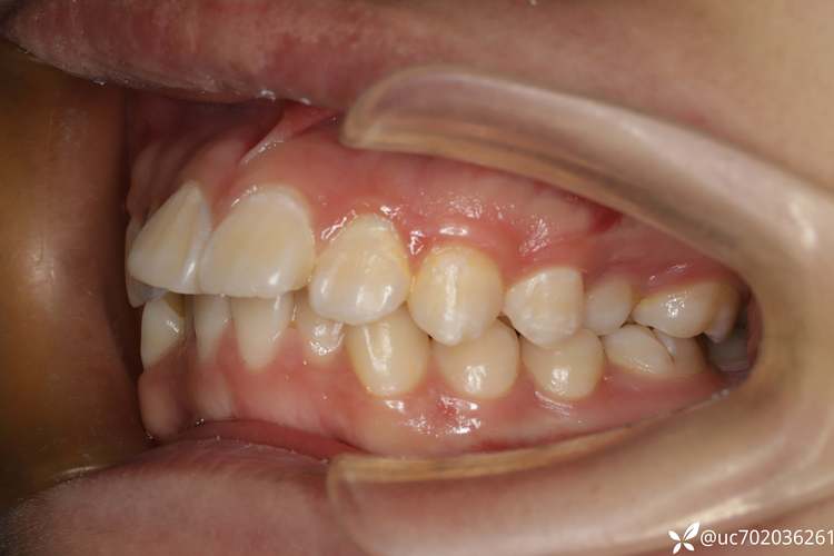
牙齿矫正的核心目标是“排齐牙齿、调整咬合、改善面型”,当牙齿量与颌骨空间不匹配时,拔牙就成了创造空间的必要手段,15岁青少年常见的拔牙适应症主要包括以下几类,可通过表格更直观理解:

| 适应症类型 | 具体表现 | 拔牙必要性 |
|---|---|---|
| 牙齿严重拥挤 | 上下牙弓存在明显间隙不足,牙齿排列不齐,甚至出现“扭转、重叠”,如“虎牙”被挤出牙弓外 | 拔牙可提供足够空间,让牙齿排列整齐,避免拥挤导致的清洁困难、龋齿、牙周病风险 |
| 前牙深覆盖(龅牙) | 上前牙突出过多,与下前牙的覆盖超过3mm,侧面观“嘴唇外翘” | 拔除部分前磨牙,可内收上前牙,改善龅牙问题,调整唇齿关系,让面部轮廓更协调 |
| 前牙深覆合 | 上前牙盖过下前牙过多,甚至下前牙咬到上颚软组织,可能伴随下面部短缩 | 拔牙后通过压低上前牙、升高下后牙,打开咬合空间,避免咬合创伤和面部发育异常 |
| 上下牙弓宽度不协调 | 上牙弓过窄或下牙弓过宽,导致“反合(地包天)”或“锁合” | 拔牙可调整牙弓宽度,让上下牙齿咬合更顺畅,改善咀嚼功能 |
| 严重拥挤伴牙周问题 | 牙齿拥挤导致刷牙困难,已有牙龈炎、牙槽骨吸收等牙周问题 | 拔牙可减轻牙周负担,有利于口腔卫生维护,避免牙周问题进一步加重 |
拔牙矫正的完整流程:从评估到保持
15岁青少年拔牙矫正需严格遵循专业流程,每一步都关乎矫正效果和安全性,具体可分为以下阶段:
术前全面检查:明确“是否拔牙、拔哪颗牙”
- 口腔检查:记录牙齿数量、形态、位置,评估拥挤度(如用“牙弓拥挤度公式”:现有牙弓长度-必需牙弓长度=拥挤度,正值越大越需拔牙)。
- 影像学检查:拍摄全口曲面断层片(观察牙根、牙槽骨)、头颅侧位片(分析颌骨发育、咬合关系)、CBCT(必要时评估牙根位置、骨量)。
- 模型分析:制取牙齿石膏模型,模拟牙齿移动路径,判断拔牙空间是否足够。
方案设计:个性化拔牙与非拔牙选择
若检查后确定拔牙,医生会根据“拔除后能否解决问题、对功能与面型的影响”选择拔牙牙位,青少年矫正最常拔除的是前磨牙(第一或第二前磨牙),原因包括:
- 牙冠相对较小,拔除后对咀嚼功能影响小;
- 牙根形态规则,移动难度低;
- 位于牙弓中段,可为前后牙齿提供均匀的调整空间。
方案确定后,医生会与家长、青少年沟通,解释拔牙原因、预期效果及风险,确保知情同意。
拔牙与矫正实施:分阶段进行
- 拔牙操作:通常在口腔门诊局部麻醉下完成,创伤小、时间短(单颗牙约5-10分钟),术后遵医嘱护理(如24小时内不刷牙、避免吮吸、进食软食)即可。
- 戴矫正器:拔牙后1-2周,牙齿无明显肿胀时即可安装固定矫正器(金属托槽、陶瓷托槽)或隐形矫正器,通过持续、轻柔的力量(如每颗牙施加0.5-1牛顿力)移动牙齿:
- 拔牙间隙前后牙齿向中间移动,关闭间隙;
- 前牙内收改善突度,后牙前调调整咬合;
- 整个过程需定期复诊(通常4-6周一次),医生根据牙齿移动情况调整矫正力。
保持阶段:防止复发
矫正结束后,需佩戴保持器(如透明压膜保持器、 Hawley保持器)至少1-2年,前6个月需全天佩戴,之后逐渐减少夜间佩戴时间,这是因为牙齿移动后,牙槽骨和牙周组织仍需时间重建稳定,保持器可有效避免牙齿复发回原位。

拔牙矫正的常见误区:科学认知破除顾虑
误区1:“拔牙会让牙齿松动、提前脱落”
真相:矫正中牙齿移动是生理性过程,牙根周围的牙槽骨会改建(吸收与重建),只要在专业医生控制下施加合适的力量,牙齿不会松动,相反,不拔牙矫正可能导致拥挤牙齿清洁困难,反而增加牙周病风险,长期更易导致牙齿脱落。
误区2:“拔牙后脸会凹陷、显老”
真相:拔牙通常针对前磨牙,主要影响中面部(鼻唇沟附近)的轻微调整,而非“凹陷”,对于龅牙患者,拔牙后上前牙内收,反而能让嘴唇更贴合面部,改善“凸嘴”导致的显老态;对于非龅牙患者,若颌骨发育正常,拔牙对面部轮廓影响微乎其微。
相关问答FAQs
Q1:15岁拔牙矫正会影响颌骨发育吗?
A:15岁青少年颌骨仍有一定发育潜力,但矫正的核心是“牙齿移动”而非“改变颌骨大小”,若存在颌骨发育异常(如下巴后缩、上颌前突),需先通过矫形治疗(如功能矫正器)调整颌骨关系,再考虑拔牙,单纯牙齿拥挤导致的拔牙矫正,不会影响颌骨正常发育,反而通过改善咬合功能,能为颌骨健康发育创造条件。
Q2:拔牙矫正后,牙齿能排齐吗?需要多久?
A:在专业方案设计下,拔牙后的牙齿可通过移动完全排齐,并建立稳定的咬合关系,矫正时间因人而异,一般拔牙矫正比不拔牙矫正时间延长3-6个月,总疗程约1.5-2.5年,若青少年配合度高(如注意口腔卫生、定期复诊、避免啃咬硬物),可缩短矫正时间,提升效果。
