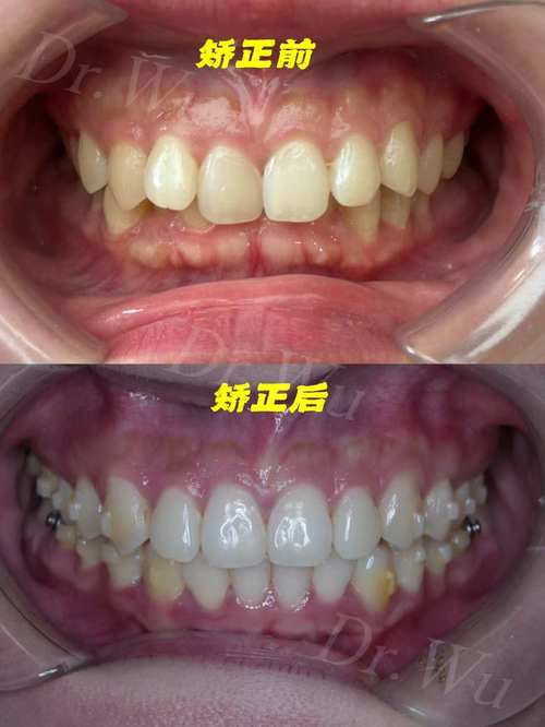
牙齿隐形矫正作为一种兼顾美观与功能的正畸方式,已成为越来越多牙齿不齐人群的选择,但面对市场上众多的口腔机构和矫正品牌,很多人会困惑“牙齿隐形矫正哪家好”。“好”的定义并非绝对,需结合机构资质、医生技术、设备服务、价格口碑等多维度综合考量,找到最适合自己的才是关键。
选择隐形矫正机构,首先要关注“资质”这一基础门槛,正规机构需具备《医疗机构执业许可证》,医生团队中应有正畸专业背景的执业医师,最好具备主治医师及以上职称,且隐形矫正案例经验丰富(建议累计完成500例以上隐形矫正案例),这是因为隐形矫正看似“隐形”,实则对医生的专业要求极高,需精准判断牙齿移动方向、力度,制定个性化方案,避免出现矫正失败、牙根吸收等问题。

“医生技术”,这是矫正效果的核心决定因素,优秀的正畸医生不仅需掌握扎实的口腔医学知识,还需具备良好的审美能力——毕竟矫正不仅是排齐牙齿,更要改善面部微笑曲线、咬合功能,选择时可通过面诊沟通,观察医生是否能耐心倾听诉求,是否详细检查牙齿情况(如取模、拍X光片),是否能清晰解释方案细节(如矫正周期、预期效果、可能风险),而非一味推销高价套餐,要求查看医生的案例库,尤其是与自己牙齿畸形类型相似的案例,直观对比矫正前后的效果差异。
“设备与服务”是提升矫正体验的重要保障,隐形矫正依赖数字化技术,先进的设备(如口内扫描仪替代传统取模、3D模拟矫正动画)能更精准获取牙齿数据,让患者提前预知矫正效果,服务方面,需关注机构是否提供全程跟踪服务,如矫正中定期调整方案、处理突发问题(如牙套刮嘴、附件脱落),矫正后保持器佩戴指导及长期复查(通常建议保持1-3年复查),地理位置和复诊便利性也需考虑,避免因频繁奔波影响矫正依从性。
“价格与口碑”是多数人关心的现实问题,隐形矫正价格因品牌(如隐适美、时代天使、Spark等)、矫正难度、医生资历、城市消费水平等因素差异较大,通常在2万-5万元不等,建议选择价格透明、无隐形消费的机构,警惕“低价陷阱”——部分机构可能通过降低材料成本、减少复诊次数来压低价格,却牺牲矫正效果,口碑方面,可通过大众点评、小红书等平台查看真实用户评价,重点关注“医生专业度”“服务态度”“矫正效果”等关键词,同时可向身边做过矫正的朋友了解实际体验。
为更直观对比不同类型机构的优劣势,以下表格整理了常见选择方向:

| 机构类型 | 优势 | 劣势 | 适合人群 |
|---|---|---|---|
| 公立三甲医院 | 资质权威,医生经验丰富,价格透明 | 排队时间长,服务流程较慢,预约难 | 矫正难度大、注重权威性、时间充裕者 |
| 连锁私立口腔 | 设备先进,服务贴心,预约便捷,案例多 | 价格偏高,医生资质参差不齐需甄别 | 注重体验、追求效率、预算充足者 |
| 中小型私立诊所 | 价格灵活,服务个性化,沟通直接 | 医生经验可能不足,设备较基础,风险较高 | 矫治简单、预算有限、需谨慎考察 |
综合来看,选择隐形矫正机构可遵循“三步筛选法”:第一步,通过卫健委官网或“医疗执业信息查询”平台核实机构资质,排除无证机构;第二步,筛选2-3家候选机构,重点面诊医生,查看案例,对比方案细节和价格;第三步,结合自身需求(如预算、时间、对效果的要求)做最终决定,切忌盲目追求“大牌”或“低价”。
相关问答FAQs
Q1:隐形矫正价格差异为什么这么大?
A:价格差异主要由四方面决定:一是矫正品牌,进口品牌(如隐适美)价格高于国产品牌(如时代天使);二是矫正难度,简单排齐比涉及骨性问题的复杂矫正费用低;三是医生资历,主任医师、资深专家的诊疗费高于普通医生;四是附加服务,是否包含保持器、定期复查、牙齿美白等,一线城市消费水平高于二三线城市,也会影响价格。
Q2:隐形矫正需要多久复诊一次?复诊可以延迟吗?
A:通常隐形矫正每4-8周需复诊一次,具体时间根据牙齿移动速度和医生方案调整,复诊主要是检查牙套佩戴情况、更换下一副牙套、处理附件脱落等问题,确保牙齿按计划移动,不建议延迟复诊,因为牙套需持续施加轻微力才能有效移动牙齿,间隔过长可能导致牙齿移动停滞、牙套不贴合,甚至延长矫正周期或影响最终效果,若因特殊情况无法按时复诊,应提前与医生沟通,协商调整时间。

