牙齿矫正拔牙收缝隙是正畸治疗中常见的处理方式,常被患者误解为“损伤牙齿”,实则通过科学拔牙为牙齿排列创造空间,最终实现咬合功能与面部美观的平衡,并非所有矫正都需要拔牙,其核心目的是解决牙齿量与骨量不匹配的问题,当现有空间无法容纳所有牙齿正常排列时,拔牙成为必要手段。
拔牙适应症主要分为三类:一是牙齿严重拥挤,表现为牙齿重叠、扭转,常规矫正无法排齐,需通过拔牙解除拥挤,为牙齿移动提供空间;二是牙齿前突(龅牙),上下牙弓前突明显,影响侧貌美观,拔牙可内收前牙,改善唇齿关系;三是咬合异常,如深覆合、深覆盖,需通过拔牙调整牙轴,建立稳定的咬合接触,临床中,最常拔除的为前磨牙(如上下颌第一或第二前磨牙),因其位于牙弓中段,拔除后既能提供足够空间,又不会影响前牙区和后牙区的功能。

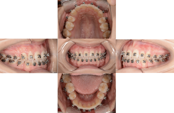
拔牙后,矫正器(如传统托槽、隐形牙套)会对牙齿施加持续、轻柔的牵引力,引导牙齿向拔牙间隙移动,这一过程依赖牙齿周围的牙槽骨改建:牵引力一侧牙槽骨吸收,另一侧新骨沉积,如同“电梯轨道”般使牙齿平稳移动,收缝速度因人而异,一般每月移动1-1.5mm,总时长取决于间隙大小与牙齿移动难度,通常需6-12个月,期间需定期复诊,医生通过调整矫正力确保牙齿沿正确方向移动,避免倾斜或扭转。
收缝过程中,口腔卫生维护至关重要,食物残易滞留在矫正器周围,需使用正畸专用牙刷、牙线间隙刷,预防龋齿和牙龈炎,饮食上避免过硬、黏性食物,防止矫正器脱落影响进度,部分患者可能出现牙齿酸胀、轻微疼痛,属正常现象,一般3-5天缓解。
| 常见拔牙适应症 | 具体表现 | 常见拔牙位置 |
|---|---|---|
| 严重牙齿拥挤 | 牙齿重叠、扭转,牙弓长度不足 | 上下颌第一/二前磨牙 |
| 牙齿前突(龅牙) | 上下唇前突,自然状态下唇齿关系不协调 | 上下颌第一/二前磨牙 |
| 咬合异常(深覆合等) | 上下前牙覆盖过大,后牙咬合关系紊乱 | 上下颌第一磨牙或前磨牙 |
拔牙矫正并非“越少拔越好”,医生会通过X光片、模型分析等精准评估,制定个性化方案,科学拔牙与规范收缝,是矫正成功的关键一步,最终收获的不仅是整齐的牙齿,更是健康的咬合与自信的笑容。
FAQs:
Q:拔牙矫正会让牙齿松动吗?
A:不会,正畸治疗中牙齿移动是生理性改建过程,牙槽骨会随牙齿移动重建,治疗结束后牙齿会稳定在新位置,若护理不当(如口腔卫生差导致牙周炎),才可能影响牙齿稳固,与拔牙本身无关。

Q:拔牙后的缝隙多久能收完?
A:取决于间隙大小与矫正方式,一般拔牙单侧间隙约5-7mm,收缝时间约6-12个月,隐形牙套因可精准控制移动,效率较高;传统托槽需医生定期调整弓丝,时间可能略长,患者配合度(如按时佩戴、避免托槽脱落)也会影响收缝速度。

