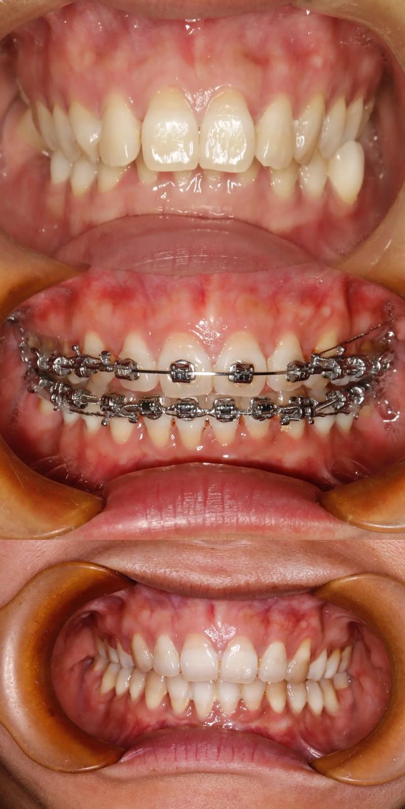
在牙齿矫正过程中,“带环”(又称“矫治带环”或“磨牙带环”)是固定矫治系统中的关键部件,通常粘接在磨牙(如第一磨牙或第二磨牙)上,为整个矫正治疗提供稳定的支抗基础,从外观上看,带环呈现为一个金属环状结构,内层与牙齿表面紧密贴合,外层则延伸出多个附件(如颊管、舌侧拉钩等),用于连接弓丝、橡皮筋或其他矫正装置,以下将详细带环的结构、作用、佩戴流程及注意事项,帮助全面了解这一矫正组件。
带环的结构与材料:精密设计的“牙齿铠甲”
带环虽小,却需兼顾稳固性、舒适性与功能性,其结构与材料选择需严格匹配口腔环境,从材料看,临床常用不锈钢带环,其强度高、耐腐蚀且性价比高,适合大多数患者;部分对金属过敏者会选用钛合金或贵金属(如金合金)带环,生物相容性更好,但成本较高,近年来,也有陶瓷材质带环用于前牙区域,兼顾美观性,但强度略低于金属。

结构上,带环可分为“主体环”和“功能附件”两部分,主体环通过精密制作,与牙齿的近中、远中、颊侧、舌侧表面紧密贴合,边缘光滑过渡,避免压迫牙龈;功能附件则是带环的“操作核心”:颊管(位于颊侧中央)用于插入主弓丝,允许弓丝在管内滑动或固定;舌侧拉钩(位于舌侧)用于牵引橡皮筋,辅助牙齿移动;部分带环还设计有结扎翼,便于用钢丝或橡皮圈固定弓丝,这种“贴合牙齿+功能附件”的设计,使带环既能作为“锚点”稳定整个矫治器,又能传递矫正力,引导牙齿向目标位置移动。
带环的佩戴流程:从“定制”到“粘接”的精细操作
佩戴带环是矫正治疗的重要开端,需由专业正畸医生操作,流程严谨且注重细节,具体可分为以下步骤:
口腔检查与牙齿预备
佩戴前,医生需通过口腔检查、X光片及数字化扫描(如口内扫描仪),评估牙齿形态、大小及位置,确保带环能完全覆盖牙齿咬合面,同时避免压迫牙龈,若牙齿存在邻面龋坏或牙龈炎症,需先治疗再佩戴,防止后续感染。
个性化带环制作
基于牙齿模型(传统取模或数字模型),技师会根据牙齿尺寸制作带环,带环的内层需与牙齿表面高度密合,通常有0.5-1mm的“间隙补偿”,以便粘接材料填充;外层功能附件的位置则需根据矫正方案精确设计,例如颊管的朝向需与弓丝滑动方向一致。

试戴与调整
医生将制作好的带环在牙齿上试戴,检查密合度:若带环过松,易导致食物嵌塞和松动;过紧则可能压迫牙龈,引发疼痛,此时需用带环调整钳微调带环边缘,确保其与牙齿间隙均匀,同时让患者做咬合动作,确认无咬合干扰。
粘接固定
试戴合适后,医生会进行牙齿表面处理:用酸蚀剂(如磷酸)酸蚀牙面30-60秒,冲洗吹干后涂布粘接剂(如树脂粘接剂或玻璃离子水门汀),再将带环戴入牙齿,施加轻压力使其完全贴合,去除多余粘接材料,最后用光固化灯照射固化,确保粘接强度。
带环的作用:矫正治疗的“支抗核心”
带环在矫正中扮演多重角色,其核心作用是“提供稳定支抗”,支抗是矫正中抵抗矫正力的基础,若支抗不足,可能导致目标牙齿未移动,而支抗牙反而移位(如后牙前移影响矫正效果),带环通过与磨牙的大面积粘接,形成“强支抗”,可承受较大的矫正力,
- 稳定弓丝:颊管插入弓丝后,能限制弓丝的过度移动,确保矫正力均匀传递到其他牙齿;
- 辅助牙齿移动:通过舌侧拉钩牵引橡皮筋,可推动前牙内收、压低或伸长后牙;
- 增强装置稳定性:对于复杂病例(如需要种植支抗或颌间牵引),带环可作为固定装置的连接点,避免其他附件脱落。
带环佩戴期间的注意事项:细节决定矫正效果
佩戴带环后,口腔环境发生变化,若护理不当可能影响矫正进度或引发并发症,需重点关注以下事项:

口腔卫生:避免“带环周边”积垢
带环边缘与牙齿交界处易堆积食物残渣,若清洁不到位,会引发牙龈炎、龋坏甚至牙周炎,建议使用“巴氏刷牙法”(刷毛与牙面呈45°,小幅度水平颤动),重点清洁带环周围;牙线需穿过带环与邻牙的间隙,采用“C”型包裹牙面清洁;冲牙器可辅助冲洗难以触及的区域,每日至少使用1次漱口水(如含氯己定的漱口液)减少细菌。
饮食管理:拒绝“硬、黏、大”食物
带环虽坚固,但咬硬物(如坚果、骨头、冰块)可能导致带环变形或脱落;黏性食物(如口香糖、年糕)易粘附在带环上,难以清洁且可能拽动带环;过硬或大块食物(如苹果、甘蔗)需切成小块,避免直接用带环所在牙齿啃咬,以防矫正力异常或附件损坏。
复诊与观察:定期“检修”带环状态
矫正期间需每4-6周复诊一次,医生会检查带环是否松动、附件是否脱落、牙龈是否有红肿,若发现带环松动(咬合时感觉晃动)或脱落,需及时复诊处理,避免牙齿移位;若牙龈持续红肿出血,可能是带环边缘刺激或清洁不足,需加强口腔护理,必要时医生会调改带环边缘。
带环材料对比表:选择最适合你的“牙齿铠甲”
| 材料类型 | 特点 | 适用人群 | 优缺点 |
|---|---|---|---|
| 不锈钢带环 | 强度高、耐腐蚀、成本低,临床应用最广泛 | 大多数常规矫正患者 | 优点:性价比高、稳定性好;缺点:可能引发金属过敏,美观性差 |
| 钛合金带环 | 生物相容性极佳、重量轻、抗腐蚀性强,但成本较高 | 对金属过敏者、口腔敏感患者 | 优点:减少过敏风险、佩戴舒适;缺点:价格较高,硬度略低于不锈钢 |
| 贵金属带环 | 以金合金为主,生物相容性最佳,化学性质稳定,但价格昂贵 | 高敏感体质、对美观要求高的患者 | 优点:几乎无过敏、边缘贴合度好;缺点:成本高,颜色可能影响美观 |
| 陶瓷带环 | 透明或牙色材质,兼顾美观性,但强度较低 | 前牙区域矫正、对美观敏感的患者 | 优点:隐蔽性好;缺点:脆性大,易碎,价格较高,需避免咬硬物 |
相关问答FAQs
Q1:佩戴带环后感觉牙齿酸痛,正常吗?需要处理吗?
A:佩戴带环后1-3天内出现牙齿轻微酸痛或不适是正常现象,原因是带环改变了牙齿受力状态,牙周组织处于“适应期”,这种疼痛通常为轻度,可通过温盐水漱口、吃软食缓解,无需服用止痛药,若疼痛持续超过1周,或出现剧烈疼痛、咬合困难,可能是带环压迫牙神经或粘接材料刺激牙龈,需及时复诊检查,医生会调改带环或调整矫正力。
Q2:带环脱落了怎么办?可以自己粘回去吗?
A:带环脱落可能是由于粘接材料老化、咬硬物或牙齿形态异常导致,发现带环脱落时,切勿自行粘接,以免粘接剂误入牙龈或导致牙齿位置偏差,应立即保存脱落带环(若带环损坏需告知医生),并尽快复诊,医生会检查牙齿是否有龋坏或移位,重新试戴并粘接带环;若带环损坏,需重新制作,若脱落期间牙齿敏感,可用临时牙科保护蜡覆盖牙齿表面,避免刺激。
