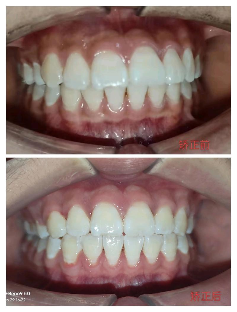
矫正牙齿(正畸治疗)的核心目标是改善牙齿排列、咬合功能及面部美观,但确实有部分人在矫正过程中或结束后,会出现“变丑”的困扰,这种“变丑”并非普遍现象,更多与矫正方案设计、牙齿移动方式、个人护理及口腔条件等因素相关,本文将从常见原因、机制、应对方法等方面展开分析,帮助理性看待正畸与美观的关系。
矫正过程中可能出现的“变丑”现象及原因
暂时性面部轮廓变化:牙槽骨改建的“阵痛期”
正畸的本质是通过施加持续力,引导牙齿在牙槽骨内移动,牙槽骨会随之发生“吸收-重建”的改建过程,这一过程中,可能出现暂时性面部变化:

- 脸颊凹陷或“牙套脸”:多见于拔牙矫正的患者(尤其是拔除前磨牙),拔牙后,前牙内收,支撑嘴唇的牙齿减少,加上矫正初期咀嚼功能受限,咬肌可能暂时性萎缩,导致面中部(苹果肌附近)显得凹陷、颧骨突出,但需注意,“牙套脸”并非骨骼改变,而是肌肉和脂肪的暂时性变化,通常在矫正结束、咀嚼功能恢复后3-6个月逐渐改善。
- 面部肿胀或“双下巴”:初戴牙套或每次复诊加力后,牙齿周围组织可能出现轻微水肿,导致嘴唇或下颌暂时性肿胀,类似“双下巴”,一般1-2周消退。
牙齿排列与笑容的“过渡期”不协调
矫正中后期,牙齿处于移动过程中,尚未达到最终理想位置,可能出现“暂时性反常”:
- “地包天”或“龅牙”加重:若原本存在上下颌骨发育不调(如下颌后缩),在矫正初期,为排齐牙齿,可能暂时将前牙移动至异常位置,导致“地包天”或“龅牙”外观更明显,但这属于“矫治必经阶段”,后续会通过颌骨调整或牙齿精细移动改善。
- 门牙“大小不一”或“牙缝”:矫正中需为拥挤牙齿创造空间,可能会暂时扩大牙缝,或因牙齿移动速度不同,导致门牙大小、形态在视觉上不协调,待排齐后,通过邻面去釉或修复调整可解决。
牙周问题引发的“显老”或“黑三角”
部分患者因口腔卫生维护不当,矫正中可能出现牙周问题,直接影响美观:
- 牙龈红肿、增生:牙套(尤其是传统托槽)会增加清洁难度,若刷牙不彻底,易堆积菌斑,引发牙龈炎,表现为牙龈红肿、增生,甚至覆盖部分牙面,导致牙齿“变短”“显老”。
- “黑三角”形成:牙齿排齐后,若牙龈萎缩(因牙槽骨吸收或年龄增长),相邻牙齿间会出现三角形缝隙,俗称“黑三角”,影响笑容美观,多见于年龄较大、原有牙周炎或牙根较细的患者。
矫正方案设计不当:技术层面的“硬伤”
少数情况下,“变丑”源于矫正方案设计缺陷,属于可避免的医疗问题:
- 过度拔牙导致面型塌陷:部分医生为排齐牙齿,盲目拔除健康前磨牙,导致前牙过度内收,失去对嘴唇的支撑,出现“瘪嘴”“鼻唇角过平”等面型凹陷,影响侧脸美观。
- 牙齿移动方向错误:如将前牙压低过多,导致笑容“僵硬”(露齿时上唇被过度牵拉);或磨牙垂直向控制不当,导致下面高增加,面型显长。
如何区分“暂时性变化”与“永久性变丑”?
矫正过程中的“变丑”多为暂时性,可通过科学干预改善;而永久性变丑通常与医疗失误或不可逆的口腔条件相关,以下为关键区别:

| 特征 | 暂时性变化(可逆) | 永久性变化(需避免) |
|---|---|---|
| 发生时间 | 矫正中初期(1-6个月) | 矫正结束后或矫正中后期(因方案错误导致) |
| 主要表现 | 牙套脸、面部肿胀、牙齿暂时性拥挤/牙缝 | 面型凹陷、牙龈萎缩不可逆、咬合功能异常、笑容僵硬 |
| 恢复机制 | 咀嚼肌恢复、牙龈炎症消退、牙齿移动到位 | 牙槽骨吸收、牙龈组织退缩、颌骨发育异常 |
| 解决方法 | 调整饮食、加强功能训练、口腔护理 | 需修复治疗(如贴面、牙龈移植)或二次正畸 |
科学矫正:如何避免“变丑”,实现美观升级?
“矫正牙齿变丑”并非必然,通过以下措施可最大程度降低风险,甚至提升颜值:
选择专业正畸医生,重视方案设计
正畸方案是“变美”的核心,需医生结合患者面部比例、骨骼条件、牙齿情况进行个性化设计:
- 拔牙与非拔牙的权衡:并非“拔牙=变丑”,需根据拥挤程度、面型需求决定,轻度拥挤可通过扩排解决;严重拥挤或双颌前突者,拔牙可改善侧脸轮廓,避免“嘴唇外翻”。
- 面部美学指标考量:方案设计需兼顾“笑线”(上切牙与下唇的关系)、“鼻唇角”、“唇突度”等,确保牙齿排列与面部协调。
矫正中加强口腔卫生,预防牙周问题
牙套是细菌“温床”,每日需做到:
- 刷牙+牙线+冲牙器:每次饭后刷牙,使用正畸专用牙刷(如小头牙刷)清洁托槽周围,牙线清理邻面,冲牙器冲洗食物残渣。
- 定期牙周检查:每3-6个月洗牙一次,若出现牙龈红肿,及时进行牙周治疗(如龈下刮治)。
配合医生调整,度过“适应期”
矫正初期的不适是暂时的,需耐心配合:

- 牙套脸应对:适当进行咀嚼肌训练(如嚼口香糖、坚果),避免长期吃流食,促进肌肉恢复。
- 牙齿敏感处理:避免冷热刺激,使用脱敏牙膏,敏感严重时告知医生调整加力力度。
矫正后保持器佩戴,防止复发
牙齿移动后,牙槽骨需稳定期(约1-2年),必须严格佩戴保持器:
- 全天佩戴(初期):矫正结束后前6个月,除吃饭、刷牙外需全天佩戴;
- 夜间长期佩戴:6个月后改为夜间佩戴,防止牙齿移位导致的“反弹性变丑”。
矫正的本质是“动态平衡”,理性看待变化
矫正牙齿过程中出现的“变丑”现象,多为暂时性的“矫治反应”,而非最终效果,真正导致永久性美观问题的,往往是方案设计失误、口腔护理不当或忽视保持器佩戴,选择专业医生、充分沟通需求、配合治疗过程,才能让正畸成为“变美”的助力,而非负担,一口整齐的牙齿是基础,而协调的面部比例、自然的笑容才是正畸的终极目标。
相关问答FAQs
Q1:矫正后面型变丑(如脸颊凹陷),还能恢复吗?
A:若因拔牙矫正或咀嚼肌萎缩导致的“牙套脸”,属于暂时性变化,矫正结束后,随着咀嚼功能恢复、肌肉重新发育,通常3-6个月内会逐渐改善;若面型凹陷明显,需与医生沟通,通过保持器佩戴或少量牙齿调整优化,若因过度拔牙导致的骨骼性凹陷,则需通过正颌手术或填充治疗改善,因此拔牙决策需谨慎。
Q2:矫正后出现“黑三角”,怎么办?
A:“黑三角”主要因牙龈萎缩(牙槽骨吸收)导致,常见于年龄较大(>35岁)、原有牙周炎或牙齿严重倾斜的患者,矫正中可通过“邻面去釉”减少牙缝,矫正后若黑三角明显,可通过:① 牙龈移植术(增加牙龈组织);② 瓷贴面或树脂修复(关闭缝隙);③ 日常使用牙缝刷(防止食物嵌积加重炎症),预防关键在于矫正中控制牙菌斑,避免牙周炎。
