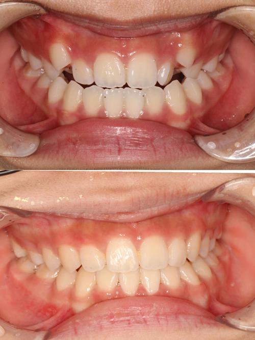
北大校医院作为校内医疗保障的重要机构,为师生提供牙齿矫正服务,凭借专业团队、亲民价格和便捷流程成为不少学生的选择,牙齿矫正不仅是改善美观的需求,更关系到口腔健康与功能,了解北大校医院矫正牙齿的具体流程、优势及注意事项,有助于师生更好地规划治疗。
矫正前的全面检查与评估
在北大校医院启动牙齿矫正,首先需完成系统的口腔检查,初诊时,医生会通过问诊了解患者的年龄、主诉(如牙列不齐、龅牙、地包天等)、过往病史及治疗期望,随后进行详细检查,包括牙齿咬合关系、牙周健康状况、颞下颌关节功能等,必要时会拍摄全景片(X光片)、头颅侧位片,或使用口内扫描仪获取数字化牙模,这些数据是制定方案的核心依据,能帮助医生判断牙齿移动空间、牙槽骨条件及是否存在潜在风险(如埋伏牙、骨量不足等),对于学生群体,医生还会特别关注学业安排,尽量将复诊时间调整在假期或课余时段,避免影响课程。

个性化矫正方案设计
基于检查结果,医生会与患者沟通矫正方案,北大校医院提供的矫正方式多样,涵盖传统金属托槽矫正、陶瓷半隐形矫正及部分隐形矫正(如时代天使、隐适美等,具体视医院合作品牌而定),方案设计需兼顾功能与美观:对于青少年,可能优先考虑生长改良治疗(如功能性矫治器);对于成年人,则更注重咬合稳定与面部美学协调,方案确定后,医生会详细说明治疗周期(通常1.5-3年)、每阶段目标(如排齐、内收、关闭间隙等)、费用及可能的风险,患者签署知情同意书后即可进入准备阶段。
矫正过程中的治疗与管理
矫治器佩戴与适应
根据选择的矫正类型,医生会完成托槽粘接或隐形牙膜佩戴,传统金属托槽矫正时,需分次粘接托槽,每次调整后可能有1-3天的不适感(如疼痛、口腔溃疡),可通过正畸蜡缓解;隐形矫正则需每天佩戴20小时以上,每1-2周更换一副牙膜,初期可能出现说话不便、口水增多等情况,通常1周内适应。
定期复诊与调整
矫正期间需定期复诊,金属托槽矫正一般4-6周一次,隐形矫正8-12周一次,复诊时,医生会检查牙齿移动进度,更换弓丝、调整托槽位置或更换牙膜,必要时使用橡皮筋调整咬合,若出现托槽脱落、弓丝扎嘴等紧急情况,需及时联系校医院口腔科处理,避免影响矫正进程。
口腔卫生与饮食护理
矫正期间口腔清洁难度增加,需使用正畸专用牙刷(如V型刷)、牙缝刷、冲牙器,配合含氟牙膏,每天至少刷牙3次,每次3分钟,预防龋齿和牙周炎,饮食上需避免过硬(如坚果、骨头)、过黏(如口香糖、年糕)的食物,减少托槽脱落风险;隐形矫正者虽可摘戴牙膜进食,但仍需注意避免染色食物(如咖啡、酱油),以免影响牙膜透明度。

矫正费用与医保报销
北大校医院矫正牙齿的费用相对校外机构更亲民,具体因矫治器类型、牙齿复杂程度而异,以下是常见类型的费用参考(以2025年标准为例):
| 矫治器类型 | 校医院费用(元) | 校外机构费用(元) | 医保报销比例(校医院) |
|---|---|---|---|
| 传统金属托槽 | 8000-12000 | 15000-25000 | 50%-70%(视大学生医保政策) |
| 陶瓷半隐形托槽 | 12000-18000 | 20000-30000 | 50%-70% |
| 隐形矫正(时代天使) | 20000-30000 | 35000-50000 | 部分项目可报(如检查费) |
注:大学生医保报销需符合当地政策,通常仅覆盖基础治疗项目,且需提前备案,校医院还会为家庭经济困难学生提供分期缴费或临时困难补助申请渠道。
矫正后的保持与维护
拆除矫治器后,需佩戴保持器防止复发,前6个月需全天佩戴(仅进食刷牙时取下),之后过渡到夜间佩戴,至少持续2年,保持器有哈雷保持器(金属+树脂)和透明压膜保持器两种,校医院会根据患者情况定制,需每3-6个月复查一次,检查牙齿稳定性及牙周健康状况,保持器损坏或丢失需及时补做,避免牙齿移位。
相关问答FAQs
Q1:北大校医院矫正牙齿需要提前多久预约?
A:建议提前1-3个月预约,开学季(9月、3月)及寒暑假前为就诊高峰,预约周期可能延长至3个月;寒暑假期间(7-8月、1-2月)预约相对宽松,约1个月可安排初诊,可通过校医院微信公众号、电话(010-62751234)或现场挂号机预约,选择“口腔科-正畸专业”即可。

Q2:矫正过程中疼痛难忍怎么办?
A:矫正初期(如戴牙后1周、每次调整后)出现轻微酸胀疼痛属正常现象,可通过温盐水漱口、服用布洛芬(非处方药)缓解;若疼痛持续加重或出现牙龈肿胀、咬合困难,可能是托槽脱落、弓丝刺伤或牙周感染,需尽快到校医院口腔科处理,避免延误治疗。
