24岁,站在人生的新起点,可能刚步入职场,开始规划未来,但有些人的“新起点”里,藏着对牙齿的遗憾——或许是第一次矫正效果不理想,或许是成年后牙齿悄悄“反弹”,又或是年轻时没条件矫正,如今终于下定决心,二次矫正,成了不少24岁年轻人不得不面对的选择,它不像青少年矫正那样“理所当然”,反而带着更多复杂性、更谨慎的考量,但也正因为这份“主动”,让矫正之路有了不一样的意义。
二次矫正的原因往往比初次更复杂,最常见的,是初次矫正后的“复发”:比如青少年时期矫正时,因颌骨发育未完成,仅通过排齐牙齿暂时改善外观,成年后骨骼停止生长,牙齿又回到拥挤状态;或是保持阶段偷懒,没坚持佩戴保持器,导致下前牙拥挤、门牙扭转等问题重现,还有部分人,初次矫正时方案设计不当——比如该拔牙却选择非拔牙矫正,导致牙弓空间不足,矫正后牙齿仍拥挤或咬合紊乱;或是矫正过程中支抗控制不足,后牙前移,前牙反而突出,成年后口腔健康的变化也会引发二次需求:比如初次矫正后出现龋齿、牙周炎,未及时治疗导致牙齿移位;或是因颞下颌关节不适,希望通过矫正调整咬合关系,更有甚者,年轻时对美观要求不高,如今职场、社交中更注重形象,希望牙齿更整齐、笑容更自信,主动提出二次矫正。

与青少年初次矫正相比,24岁的二次矫正存在显著差异,青少年时期,颌骨仍在发育,可通过生长改良(如功能矫治器)调整骨骼不调,牙齿移动效率也更高;而24岁时,颌骨已完全定型,牙齿移动只能依赖牙槽骨改建,空间有限,难度自然增加,治疗时间上,初次矫正通常1.5-3年,二次矫正可能需要2-4年,尤其是复杂病例(如涉及骨钉植入、正颌手术联合治疗),复发风险也更高:成年后牙周条件可能变差,牙齿稳定性下降,若保持不当,更容易再次错位,24岁的患者往往更成熟,能主动配合治疗(如按时复诊、注意口腔卫生),且对美学需求更明确,能和医生充分沟通,让方案更贴合个人期望。
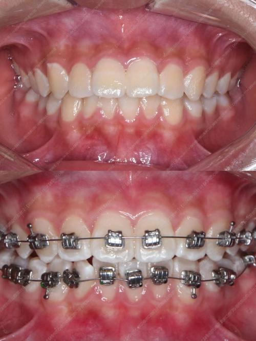
二次矫正的流程比初次更严谨,每一步都需“步步为营”,首先是全面检查:除了常规的口腔全景片、头颅侧位片,还需拍摄CBCT(三维锥形束CT),观察牙根形态、牙槽骨厚度、骨量是否充足,判断是否存在骨皮质穿孔、牙根吸收等风险;牙周评估是重中之重,成年后牙周病高发,需通过牙周探诊、附着丧失检测,确保牙周健康(若有牙周炎,需先治疗控制炎症再矫正),接着是方案设计:医生会结合影像数据和患者诉求,明确核心问题——是拥挤复发?咬合过深?还是侧脸突度改善?再制定个性化方案:比如是否需要拔牙(二次矫正拔牙指征更严格,需权衡现有空间和移动需求)、是否植入骨钉(辅助内收牙齿、压低咬合)、是否联合正颌手术(针对严重骨骼畸形),治疗阶段,若牙齿上有残留的树脂、托槽,需先清除;若存在龋齿、牙周炎,需同步治疗;安装矫正器时,可能比初次更精细,比如选择自锁托槽减少摩擦,或隐形矫正器精准控制牙齿移动,矫正期间,需每4-6周复诊调整,医生会监控牙根吸收情况、咬合变化,及时修正方案。
24岁二次矫正的优势,在于“主动”与“成熟”,患者能清晰表达“想要什么样的笑容”,医生可通过数字化微笑设计(DSD),提前模拟矫正效果,让方案更符合美学预期,技术上,隐形矫正、舌侧矫正等选择更多,既能满足美观需求,又不影响职场社交,更重要的是,成年患者配合度高:会认真清洁牙齿(避免矫正中龋齿、牙周炎),坚持佩戴橡皮筋,减少因配合问题导致的延误。
但二次矫正也有“雷区”需避开,牙周健康是“底线”:若存在牙槽骨吸收、牙周袋深度>3mm,强行矫正可能导致牙齿松动、脱落,复发风险必须重视:矫正后需终身佩戴保持器,尤其是夜间,前半年需24小时佩戴,之后逐渐减少频率,但每年至少复查1次,选择医生时,优先考虑有复杂病例经验的正畸专科医生——二次矫正好比“在旧房子里翻新”,对医生的技术、经验要求远高于初次,心理准备要充分:费用可能比初次高30%-50%(涉及额外检查、复杂治疗),时间成本更长,过程中可能出现牙齿酸痛、口腔溃疡等不适,需有耐心坚持。

相关问答FAQs
Q:24岁二次矫正会比第一次更疼吗?
A:疼痛程度因人而异,主要源于牙齿移动和加力,二次矫正可能涉及更复杂的牙齿移动(如压低、旋转、内收),初期不适感可能稍明显,但一般3-5天可缓解,且成年患者痛阈更高,对疼痛的耐受力和适应能力更强,整体体验与初次矫正差异不大,医生会通过轻力移动、分阶段加力,最大限度减少不适。
Q:二次矫正后牙齿会更容易松动吗?
A:不会,牙齿松动与矫正力控制和牙周健康相关,专业医生会通过影像学评估牙槽骨条件,控制合适的力量(一般不超过30-50g),避免过度移动牙齿导致牙根吸收,矫正后,牙齿会在新的位置稳定,只要坚持佩戴保持器、维护牙周健康,牙齿松动风险与正常牙齿无异,相反,若因牙周炎未治疗强行矫正,反而会增加松动风险。

