牙齿中线是面部对称性的重要参考标志,连接上下颌中切牙牙尖的假想线,与面部中线(鼻尖、唇珠、颏部中点的连线)应基本重合,矫正后牙齿中线不齐,即上下颌牙齿中线与面部中线出现偏差,是正畸治疗中常见的并发症之一,不仅影响美观,还可能涉及咬合功能与口腔健康,本文将从原因、影响、处理方法及预防措施等方面展开详细分析。
矫正后牙齿中线不齐的常见原因
矫正后中线不齐并非单一因素导致,而是贯穿方案设计、治疗过程及结束维护的多个环节问题共同作用的结果,具体可归纳为以下三类:

(一)方案设计阶段的问题
- 数据测量与评估偏差
正畸方案设计依赖精准的口腔模型、X光片及面部数据测量,若取模时牙齿位置记录不准(如患者未放松导致模型变形),或头影测量中面部中线定位错误(如鼻尖偏斜未识别),可能导致方案中中线目标设定偏差,最终矫正结果自然偏离理想中线。 - 忽视面部美学因素
部分方案仅关注牙齿排齐与咬合调整,未将面部软组织美学纳入考量,患者存在轻度颌面不对称(如下颌偏斜),但方案中未通过牙齿移动进行代偿补偿,会导致矫正后中线与面部中线不匹配。 - 复杂病例的方案局限性
对于骨性畸形(如颌骨宽度不均、中线严重偏斜)、多生牙、埋伏牙等复杂病例,单纯正畸治疗可能难以完全纠正中线,若方案未提前设计联合治疗(如正畸-正颌联合),易出现中线残留偏差。
(二)治疗过程中的执行偏差
- 托槽/粘接位置误差
托槽是矫正牙齿移动的“导航”,若粘贴时位置偏离(如中切牙托槽中心偏离牙面长轴),会导致牙齿移动方向偏差,累积后形成中线不齐,尤其手动粘接时,医生经验不足或操作不当,误差可达0.5-1mm,长期移动后偏差会被放大。 - 矫正力控制不当
中线移动需要对称、持续的轻力,若一侧使用过大力量(如强牵引),或两侧力量不均衡,可能导致牙齿倾斜、扭转,破坏中线对称性,关闭拔牙间隙时,若滑动机制摩擦力过大,或弓丝未充分入槽,可能出现间隙关闭不均,中线偏离。 - 患者配合度不足
矫正过程中,患者需严格配合佩戴橡皮筋、保持器等,若未按医嘱佩戴橡皮筋(如中线移动所需的II类/III类牵引),或频繁摘戴保持器(尤其在矫正后早期),可能导致牙齿复发,中线再次偏移。
(三)矫正后维护阶段的疏忽
- 保持器佩戴不当
矫正结束后,牙齿仍处于稳定期,牙周组织需时间重建,若未全天佩戴保持器(尤其是夜间),或保持器与牙齿不密合(如热压保持器老化变形),牙齿可能因肌肉力量(如舌、唇肌)或咬合习惯发生缓慢移动,导致中线复发偏移。 - 未及时处理继发问题
矫正后若出现邻面龋坏、修复体(如牙冠、贴面)损坏、牙周炎等问题,可能导致牙齿位置改变,一侧后牙因龋坏过早脱落,对颌牙伸长,可能引起中线向该侧偏移。
中线不齐的影响:从美观到功能的连锁反应
牙齿中线不齐的影响远超“不好看”的范畴,涉及口腔功能、面部美学及心理健康等多个层面:
(一)面部美观与对称性受损
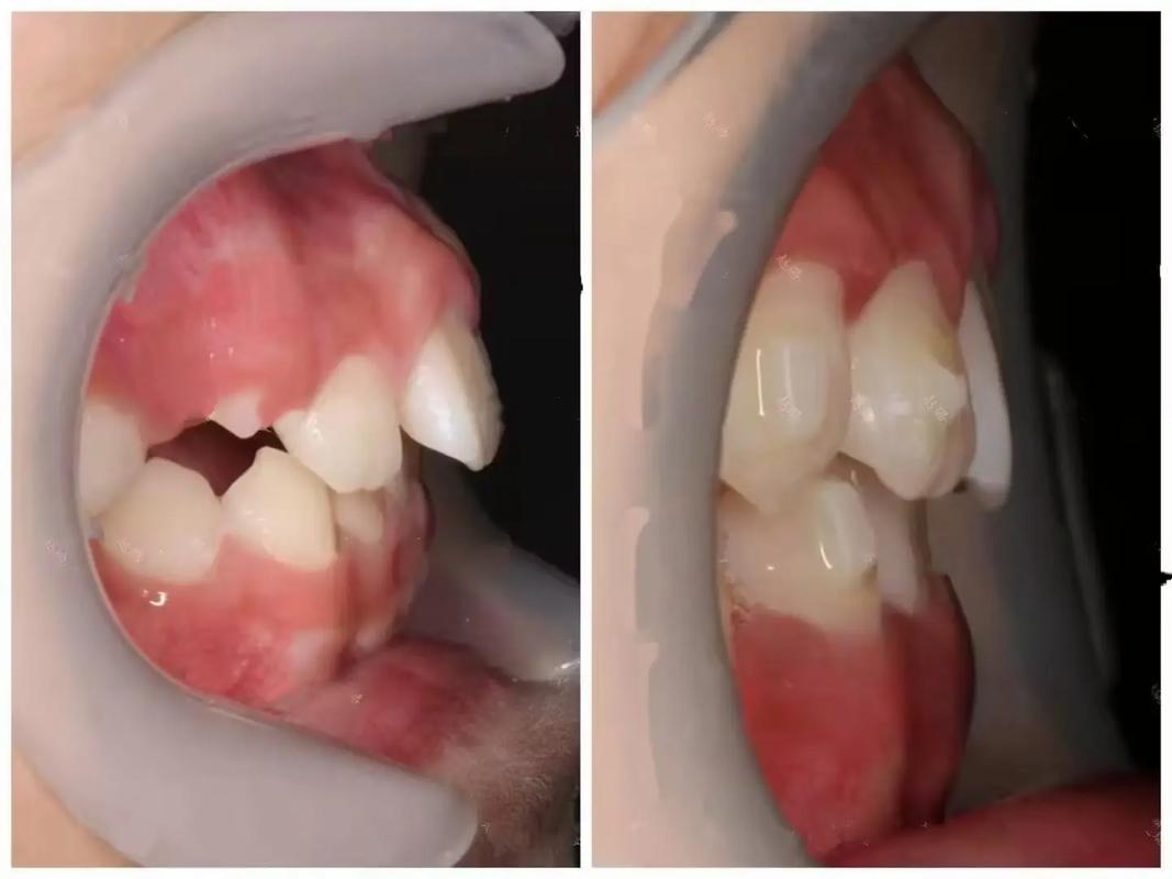
中线是面部中轴线的核心参考,上下中线与面部中线偏差(尤其是>2mm)时,会直接导致面部视觉不对称,中线偏斜时,可能表现为“歪嘴笑”、两侧口角高度不一致、鼻唇沟不对称,甚至加重面部原有畸形(如下颌偏斜),严重影响患者社交中的自信。
(二)咬合功能与口腔健康风险
- 咬合干扰与创伤
中线不齐常伴随个别牙齿咬合异常(如早接触、干扰),长期可能导致颞下颌关节紊乱(TMD),出现关节弹响、疼痛、张口受限等症状,咬合不平衡会加速牙周组织损伤,表现为牙齿松动、牙龈萎缩。 - 咀嚼效率下降
中线不齐可能影响后牙咬合接触面积与稳定性,导致咀嚼力量分布不均,降低食物研磨效率,增加胃肠道负担。 - 口腔清洁难度增加
中线偏斜可能造成牙齿排列拥挤、重叠,难以彻底清洁,易引发龋病、牙周炎等问题,进一步破坏牙齿稳定性。
(三)心理与社会适应问题
青少年患者因牙齿中线不齐可能遭受同伴嘲笑,产生自卑、焦虑心理;成人患者则可能因社交回避影响职业发展,研究显示,牙齿中线偏差>3mm时,患者对笑容的满意度会显著降低。
矫正后中线不齐的处理方法:根据程度选择干预方案
中线不齐的处理需结合偏差程度(轻微、中度、重度)、患者年龄、美观需求及咬合功能状况综合评估,具体方法如下:

(一)轻微中线不齐(偏差<2mm)
- 观察与保持器调整:若偏差极小(如1mm内),且无咬合干扰,可通过更换更贴合的保持器(如真空压膜保持器)利用牙齿自然适应性进行微调,无需额外治疗。
- 牙釉质微磨:对于个别牙齿轻微倾斜导致的中线偏差,可通过精细打磨牙釉质(不伤及牙本质)调整牙齿位置,改善中线对称性。
(二)中度中线不齐(偏差2-4mm)
- 隐形矫正微调:若矫正结束时间较短(<1年),可通过隐形矫正(如隐形牙套)设计10-20副的微调方案,利用附件与牙套的轻力移动牙齿,关闭中线间隙。
- 修复体调整:对于已戴牙冠或贴面的患者,可通过修复体改形(如加宽一侧牙冠颈部)或重新制作修复体,视觉上调整中线位置,适用于不愿再次正畸的患者。
(三)重度中线不齐(偏差>4mm)
- 二次正畸治疗:对于偏差较大且咬合功能受影响的患者,需重新开启正畸治疗,通常通过拔牙(如非对称拔牙)、种植支抗钉辅助牵引、方丝弓精细控根移动等方式,重新调整牙齿位置至理想中线,治疗周期约6-12个月,费用较高但效果稳定。
- 正畸-修复联合治疗:若患者伴有牙齿缺损、大面积龋坏或牙周支持不足,需先通过正畸排齐牙齿,再通过牙冠、贴面、种植牙等修复手段恢复牙齿外形与中线对称性,兼顾功能与美观。
- 正畸-正颌联合治疗:对于骨性因素导致的中线严重偏斜(如下颌偏斜、颌骨宽度不均),单纯正畸无法纠正,需通过正颌手术(如下颌矢状劈开术、Le Fort I型截骨术)调整颌骨位置,再配合正畸精细调整牙齿咬合,实现中线与面部中线的重合。
预防措施:从源头降低中线不齐风险
矫正后中线不齐虽可处理,但预防永远优于补救,通过以下措施可显著降低发生率:
(一)方案设计阶段:精准评估与美学规划
- 数字化辅助设计:采用口内扫描仪获取精准牙齿模型,结合CBCT、面部三维扫描数据进行头影测量与面部美学分析,制定个性化中线目标方案。
- 多学科会诊:复杂病例(如骨性畸形、多生牙)需联合正畸医生、颌面外科医生、修复医生共同制定方案,兼顾功能与美观。
(二)治疗过程:精细操作与患者管理
- 精准托槽定位:使用间接粘接技术(在模型上预粘托槽后转移至口腔),减少手动粘接误差,确保牙齿按计划移动。
- 矫正力实时监测:通过数字化矫正系统(如Damon自锁托槽、隐形矫正智能监控)实时调整矫正力,避免力量过大或过小。
- 患者依从性教育:治疗前明确告知患者橡皮筋、保持器的重要性,通过复诊检查佩戴情况,对不配合患者及时干预。
(三)矫正后维护:长期稳定管理
- 定制化保持器:根据患者牙齿形态与咬合情况制作保持器(如Hawley保持器、透明压膜保持器),确保牙齿与保持器完全密合。
- 定期复查:矫正后前两年每3-6个月复查一次,检查保持器状态、牙齿稳定性及咬合情况,发现问题及时处理。
- 口腔健康维护:强调口腔清洁(如巴氏刷牙法、牙线使用),定期洁牙,预防龋病与牙周炎,避免继发因素导致中线复发。
相关问答FAQs
Q1:矫正后牙齿中线不齐,是不是一定是医生的责任?
A:不一定,中线不齐的原因复杂,可能涉及方案设计(如面部美学评估不足)、治疗执行(如托槽粘贴误差)、患者配合(如未戴橡皮筋)、矫正后维护(如保持器佩戴不当)等多个环节,患者若频繁咬硬物(如坚果、冰块)导致托槽脱落,或矫正后未按时佩戴保持器,也可能引起中线偏移,若怀疑医生责任,可携带病例资料(如矫正前后的模型、X光片)寻求第三方正畸专家评估,明确原因。
Q2:中线不齐不严重,比如偏差1-2毫米,需要处理吗?
A:需结合具体情况判断,若偏差<2mm,且无咬合不适、面部不对称不明显,通常无需处理,可通过保持器佩戴观察牙齿是否自行调整,若患者对美观要求较高(如职业需要频繁社交),或存在轻微咬合干扰(如一侧牙齿早接触),建议通过隐形微调或修复体调整改善,需注意,中线偏差可能随时间缓慢加重,即使轻微也应定期复查(每6-12个月),避免发展为中度或重度问题。

