牙齿矫正是否会导致脸型变丑,是许多准备矫正者的常见顾虑,矫正对脸型的影响并非绝对“变丑”,而是取决于矫正方案设计、医生技术、个体条件及术后维护等多重因素,科学合理的矫正不仅能改善牙齿排列,还能优化面部轮廓;反之,不当操作可能引发暂时性或永久性面部变化,需理性看待。
矫正过程中可能出现的暂时性面部变化
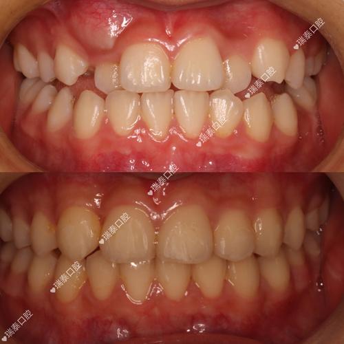
牙齿移动的本质是牙槽骨的改建过程,初期可能出现暂时性面部变化,但并非“变丑”,而是适应期的正常现象,对于牙齿前突(“龅牙”)患者,矫正内收牙齿时,若牙槽骨改建速度慢于牙齿移动,可能出现暂时性“脸颊凹陷”;嘴唇因失去前牙支撑,可能显得变突或松弛,这些变化通常在3-6个月内逐渐缓解,因为软组织会随着牙槽骨稳定而重新适应,最终恢复自然状态,矫正初期因牙齿酸痛,咀嚼功能暂时受限,可能导致面部肌肉轻微松弛,但随着进食功能恢复,肌肉张力会恢复正常。

医生技术是核心决定因素
矫正方案的设计直接影响脸型变化,而医生的技术水平直接决定方案的合理性,拔牙与否需严格依据牙量骨量比例:对于牙量大于骨量(牙齿拥挤前突)的患者,拔牙矫正能为牙齿内收提供空间,改善凸嘴、侧貌突度,反而让脸型更协调;若不该拔牙却拔牙,可能导致面中部塌陷,影响美观,牙齿移动方向同样关键:前牙内收时需控制“转矩”,避免过度内收导致嘴唇瘪陷;磨牙垂直向移动需注意维持下面高,防止后牙过度萌出导致“长脸”,选择有资质、经验丰富的正畸医生至关重要,需通过头影测量、面部美学分析等制定个性化方案,而非盲目追求“快速矫正”或“不拔牙矫正”。
个体差异与原始面部基础
每个人的骨骼结构、软组织厚度、肌肉张力不同,矫正后的脸型变化也存在差异,骨骼基础良好、软组织弹性佳(如嘴唇厚度适中、皮肤紧致)的人,矫正后脸型更自然;而本身骨骼发育异常(如下颌后缩、上颌前突)、软组织较薄(如嘴唇薄、皮肤松弛)的人,矫正效果可能受限于先天条件,但仍是“优化”而非“变丑”,年龄因素影响显著:青少年颌骨处于发育期,矫正可能引导颌骨生长(如扩弓改善上颌狭窄),脸型变化更积极;成年人颌骨定型,矫正主要针对牙齿和牙槽骨,脸型变化更可控,需避免过度移动牙齿导致软组织不协调。
矫正后的脸型优化与稳定性
多数情况下,矫正通过改善牙齿排列,能提升面部协调性,纠正“地包天”(反颌)后,下巴不再前突,侧面线条更流畅;改善“开颌”后,面部中下部比例更和谐;拥挤牙齿排齐后,嘴角形态更自然,矫正后需严格佩戴保持器(至少2年),防止牙齿复发,维持脸型稳定,若出现“变丑”迹象(如面中部塌陷、嘴唇瘪陷),多为矫正方案问题或复发,需及时与医生沟通,通过修复治疗或二次矫正调整。
牙齿矫正中可能出现的面部变化及应对
| 常见现象 | 原因分析 | 持续时间 | 应对方法 |
|---|---|---|---|
| 面颊凹陷 | 牙齿内收过快,牙槽骨改建未完成 | 3-6个月 | 调整饮食,避免单侧咀嚼,与医生沟通调整移动速度 |
| 嘴唇变突/松弛 | 前牙内收过多,失去牙齿支撑 | 1-3个月 | 及时复诊,调整前牙移动角度,必要时进行唇肌功能训练 |
| 下巴后缩 | 磨牙垂直向控制不足,下面高降低 | 矫正期间 | 佩戴颌垫,调整咬合关系,避免后牙过度萌出 |
| 面部不对称 | 单侧牙齿移动不一致,咀嚼习惯不良 | 矫正期间 | 纠正咀嚼习惯,医生调整双侧移动方案,必要时进行肌功能训练 |
牙齿矫正对脸型的影响是可控的,关键在于科学评估、专业操作和术后维护,选择正规机构和经验丰富的医生,配合治疗,不仅能收获整齐的牙齿,更能获得更美的面部轮廓,若担心脸型变化,矫正前可通过3D模拟预测效果,矫正中定期与医生沟通,避免因焦虑而放弃改善牙齿健康的机会。

FAQs
-
问:矫正后脸型变丑是医生技术问题吗?
答:不一定,脸型变化可能涉及多种因素:若医生方案设计不当(如不该拔牙拔牙、牙齿移动方向错误),可能导致脸型异常,属于技术问题;但若个体牙槽骨改建慢、软组织适应差,或矫正后未保持器导致复发,则可能与医生技术无关,建议矫正前与医生充分沟通,通过头影测量等评估风险,矫正后严格保持。 -
问:矫正过程中如何避免脸型变丑?
答:选择有资质的正畸医生,进行全面的口腔检查和面部美学分析,制定个性化方案;矫正中定期复诊,让医生监控牙齿移动和面部变化,及时调整方案;注意口腔卫生,避免因牙龈炎、牙周炎影响牙槽骨健康,同时纠正不良咀嚼习惯,促进面部对称,若出现明显不适,及时与医生沟通,避免问题加重。

