外凸颌畸形(俗称“地包天”“龅牙”等)是常见的颌面发育问题,不仅影响面部美观,还可能导致咀嚼功能下降、发音障碍甚至颞下颌关节紊乱,这类畸形通常需要通过“外凸颌整形矫正牙齿”的综合治疗,即结合正畸(牙齿矫正)与正颌手术(颌骨整形)来改善,本文将详细解析治疗原理、方法及注意事项。
外凸颌畸形分为骨性与牙性两类:骨性畸形是上下颌骨发育异常(如下颌前突、上颌后缩),牙性畸形则是牙齿排列问题(如拥挤、错位),多数患者为两者并存,单纯正畸无法解决骨性问题,需联合正颌手术才能实现功能与美观的协同改善,治疗的核心目标是:通过正畸调整牙齿位置,消除代偿(如“地包天”患者下前牙舌倾、上前牙唇倾的代偿性排列),再通过正颌手术移动颌骨至正常位置,最后通过精细正畸完善咬合关系。

治疗方法详解
正畸治疗:为手术“铺路”
正畸是治疗的基础,通常分两个阶段:
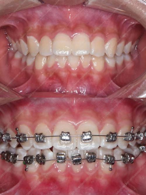
- 术前正畸:通过戴固定托槽或隐形牙套,将牙齿排列到颌骨内的理想位置,去除代偿,下颌前突患者需将舌倾的下前牙唇向移动,为术后下颌骨后退留出空间;上颌后缩患者需将内陷的上前牙前移,避免术后出现“牙齿暴露不足”,此阶段一般需6-12个月,期间需定期调整牙弓形态,确保牙齿与未来颌骨位置匹配。
- 术后正畸:正颌手术后,牙齿咬合关系可能仍需精细调整,通过3-6个月的正畸,关闭微小缝隙,确保上下牙尖交错咬合稳定,防止复发。
正颌手术:重塑颌骨位置
正颌手术是解决骨性畸形的关键,需在口腔颌面外科与正畸医生共同设计下进行,常见术式包括:
- 下颌支劈开术:用于下颌前突,通过截下颌骨,将其整体后退至正常位置,钛板钛钉固定。
- 上颌Le Fort I型截骨术:针对上颌后缩,将上颌骨整体前移,调整与下颌的咬合关系。
- 双颌手术:上下颌骨均存在异常时(如下颌前突+上颌后缩),需同时调整两者,实现面部中下1/3的平衡。
手术通常在全身麻醉下进行,住院时间1-2周,术后1-2周可恢复基本生活,3-6个月骨骼完全愈合。
联合治疗:功能与美学兼顾
正畸-正颌联合治疗是目前骨性外凸颌畸形的标准方案,优势在于:既能解决骨性问题,又能避免单纯正畸可能导致的“牙代偿”(如强行排齐牙齿但颌骨仍异常,导致面型不协调),治疗周期较长(通常2-3年),但效果稳定,可长期维持。
不同类型外凸颌的治疗方案对比
| 畸形类型 | 主要表现 | 正畸目标 | 手术方式 | 治疗周期 |
|---|---|---|---|---|
| 单纯下颌前突 | 下巴前突,“月牙脸” | 下前牙唇向移动,上前牙调整 | 下颌支劈开术+后退 | 18-24个月 |
| 单纯上颌后缩 | 鼻梁扁平,面中凹陷 | 上前牙前移,扩大牙弓 | 上颌Le Fort I型截骨+前移 | 18-24个月 |
| 双颌畸形(下前突+上后缩) | 面部1/3比例失调,咬合紊乱 | 上下牙列去代偿,协调牙弓形态 | 双颌联合手术 | 24-30个月 |
治疗流程与注意事项
- 术前准备:需拍摄头颅CT、X光片,进行模型分析,计算机模拟手术效果,制定个性化方案。
- 口腔管理:治疗期间需保持口腔卫生,避免牙龈炎,否则可能影响正畸效果或手术愈合。
- 术后护理:术后1周流质饮食,避免剧烈运动;3个月内避免啃咬硬物,定期复查骨骼愈合情况。
- 复发预防:遵医嘱佩戴保持器(至少2年),避免不良习惯(如咬笔、托腮),儿童患者需定期监测颌骨发育情况。
相关问答FAQs
Q1:外凸颌畸形一定要通过手术矫正吗?
A:不一定,若为单纯牙性畸形(如牙齿拥挤、轻度错位),仅通过正畸(如戴牙套、隐形矫正)即可改善;但骨性畸形(如下颌前突超过5mm、上颌后缩导致面中凹陷)需联合正颌手术,否则单纯正畸无法解决根本问题,甚至可能加重面型不协调,具体需通过头影测量检查判断。

Q2:矫正过程中会影响正常工作和生活吗?
A:初期(戴牙套后1-2周)会有轻微疼痛、口腔溃疡适应期,但可逐渐缓解;隐形矫正美观性较好,适合社交需求高的患者;正颌手术后需住院1-2周,术后2周可恢复工作,但3个月内避免剧烈运动,总体而言,治疗期间对生活影响可控,但需预留充足时间(2-3年)配合治疗。

