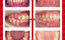
牙齿矫正过程中,侧面图片是评估矫正效果的核心工具之一,它能直观反映牙齿、颌骨及软组织的协调性,帮助医生精准判断面部轮廓、咬合关系的变化,相比正面图片,侧面视角更能凸显牙齿突度、鼻唇角、颏部形态等关键美学指标,是矫正方案设计与效果复盘的重要依据。
侧面图片的核心价值:从牙齿到面部的整体评估
牙齿矫正的目标不仅是排齐牙齿,更是实现面部美观与功能的平衡,侧面图片通过捕捉面部中线、咬合平面、软组织轮廓等细节,为医生提供多维度信息,矫正前可判断是否存在“凸嘴”“地包天”“下巴后缩”等问题,明确是牙齿因素(如前牙唇倾、拥挤)还是骨骼因素(如上颌前突、下颌发育不足)导致;矫正中可动态监测牙齿移动速度、软组织适应性,及时调整方案;矫正后则通过对比评估是否达到预期的鼻唇角、颏唇沟等美学指标,确保效果稳定。

不同矫正阶段的侧面变化特征
矫正过程中,侧面图片会呈现阶段性差异,这些变化直接反映矫正进展:
- 矫正前:侧面图片常显示牙齿与颌骨、软组织的不协调,如上前牙过度唇突(嘴唇无法自然闭合)、下颌后缩(颏部不明显)、咬合平面倾斜(面部中线偏斜)等,此时需结合X线片分析骨骼与牙齿的代偿关系,骨性凸嘴”可能需要正畸-正颌联合治疗,而“牙性凸嘴”可通过内收前牙改善。
- 矫正中:随着牙齿移动,侧面变化逐渐显现,拔牙矫正患者(通常拔除前磨牙)在矫正中期可见前牙开始内收,嘴唇凸度减轻,鼻唇角(鼻尖与上唇的夹角)逐渐增大;对于“地包天”患者,下前牙向唇侧移动,上颌牙齿向舌侧倾斜,侧面轮廓从“月牙形”向“鹅蛋形”过渡。
- 矫正后:理想状态下,侧面图片应呈现自然的面部轮廓:鼻唇角约为90-120度(女性略大,男性略小),颏唇沟(下唇与颏部的凹陷)清晰但不深,面部中份(鼻、唇、颏)协调,牙齿与软组织贴合度良好,无“瘪嘴”或“露龈笑”等问题。
不同矫正方式的侧面效果差异
矫正方式的选择会影响侧面变化的呈现特点,以下是常见矫正方式的侧面表现对比:
| 矫正方式 | 侧面图片特点 | 适用人群 |
|---|---|---|
| 传统金属托槽 | 牙齿移动控制精准,对复杂错颌(如深覆合、牙齿严重拥挤)的侧面改善显著,但初期可能影响唇部软组织形态,需适应期。 | 牙齿排列不齐、咬合复杂者 |
| 隐形矫正 | 牙齿移动渐进式,侧面变化自然,无明显唇部异物感,但对牙齿旋转、垂直向控制稍弱,需严格佩戴。 | 轻中度牙性错颌、美观要求高者 |
| 舌侧矫正 | 托槽粘接于牙齿舌侧,从侧面完全隐形,侧面轮廓改善更流畅,但对医生技术要求极高,费用较高。 | 对美观要求极高、能承担较高费用者 |
| 正畸-正颌联合治疗 | 针对骨性畸形(如严重凸嘴、小下颌),通过手术调整颌骨位置后,侧面轮廓可实现根本性改善,如颏部前移、面部比例协调。 | 成人骨性错颌、单纯正畸无法解决者 |
侧面图片的关键观察指标
解读牙齿矫正的侧面图片需重点关注以下指标,它们直接反映矫正效果的美学与功能:
- 牙齿突度:通过测量上切牙点(UI)到鼻根点(N)的距离,判断前牙是否唇突,正常情况下,上切牙唇倾度约为105-110度,矫正后应控制在正常范围内,避免“过矫正”导致的“瘪嘴”。
- 鼻唇角:鼻小柱与上唇的夹角,是侧面美学的核心指标,理想鼻唇角为90-120度,角度过小(<90度)显凸嘴,过大(>120度)显“鹰钩鼻”或上唇凹陷。
- 颏部形态:颏唇沟深度(下唇与颏部的凹陷)反映下巴后缩程度,正常颏唇沟深度为2-4mm,过深显“衰老”,过浅显“凸嘴”,矫正后可通过牙齿内收或正颌手术改善。
- 咬合关系:侧面可见上下前牙的覆盖关系(上前牙覆盖下前牙的量,正常2-4mm)和覆合关系(上前牙覆盖下前牙的垂直距离,正常不超过下前牙唇面1/3),矫正后应达到尖牙、磨牙的中性咬合,确保咀嚼功能。
影响侧面效果的关键因素
矫正后的侧面效果并非仅由牙齿排列决定,还受多重因素影响:

- 骨骼基础:若存在颌骨发育异常(如上颌前突、下颌后缩),单纯正畸矫正效果有限,可能需配合正颌手术。
- 肌肉习惯:长期咬唇、吮指等不良习惯可能导致牙齿复发,矫正后需破除习惯,保持器佩戴不足也会影响侧面稳定性。
- 年龄因素:青少年处于颌骨发育期,矫正后侧面改善空间大;成人颌骨已定型,矫正侧重牙齿代偿,效果相对有限。
- 方案设计:拔牙与否、支抗选择(如种植支抗)、牙齿移动顺序等均会影响侧面轮廓,需医生根据患者情况个性化设计。
相关问答FAQs
Q1:牙齿矫正后侧面图片显示鼻唇角变小,是否属于正常现象?
A:鼻唇角在矫正后可能出现暂时性变化,通常与牙齿移动速度和软组织适应性有关,若矫正前上切牙唇倾严重,矫正中牙齿内收过快,可能导致上唇支撑不足,鼻唇角暂时变小,此时需及时与医生沟通,通过调整牙齿移动速度(如暂停内收、唇向移动上切牙)或使用唇肌训练改善,多数情况下可恢复理想角度,若矫正结束后鼻唇角仍过小,可能需结合修复(如贴面)或正畸二次调整。
Q2:矫正后侧面轮廓改善不明显,可能是哪些原因导致的?
A:矫正后侧面效果不理想,常见原因包括:① 骨骼限制:如骨性凸嘴患者未配合正颌手术,仅通过正畸牙齿内收,侧面改善有限;② 方案偏差:拔牙量不足、支抗控制不当,导致牙齿内收不够;③ 软组织问题:患者上唇过厚、颏部肌肉发达,或存在肥胖导致面部脂肪堆积,掩盖了牙齿改善效果;④ 复发因素:保持器佩戴不足、不良习惯未破除,导致牙齿移位,建议及时复诊,通过X线片、模型分析明确原因,必要时进行二次矫正或辅助治疗(如瘦脸针、正颌手术)。
