儿童牙齿矫正是口腔领域的重要分支,不仅关乎牙齿排列美观,更直接影响咀嚼功能、颌面发育及心理健康,由于儿童处于生长发育阶段,其牙齿和颌骨的可塑性强,矫正效果往往优于成人,因此家长需关注孩子的牙齿发育情况,及时干预潜在问题。
儿童牙齿矫正的重要性
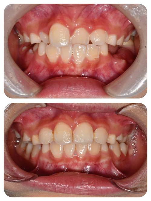
牙齿排列不齐、咬合异常等问题在儿童中较为常见,如“地包天”“龅牙”“牙齿拥挤”等,这些问题若不及时干预,可能导致一系列危害:一是影响咀嚼功能,降低食物消化吸收效率;二是增加龋齿、牙周病风险,因为错位牙难以清洁;三是可能影响发音,如“地包天”可能导致发音不清;四是对面部美观造成影响,导致孩子产生自卑心理,甚至影响社交发育,部分错颌畸形(如上颌前突、下颌后缩)还可能伴随颌骨发育异常,早期干预可引导颌骨正常生长,避免成年后需要正颌手术的复杂治疗。

儿童牙齿矫正的最佳时机
儿童牙齿矫正并非越晚越好,不同类型的错颌畸形有其“黄金干预期”,根据儿童牙齿发育特点,可分为三个阶段:
- 乳牙期(3-5岁):主要针对乳牙反颌(“地包天”)、后牙反颌、口腔不良习惯(如吮指、咬唇、口呼吸)等,此阶段孩子颌骨可塑性强,通过简单矫正器(如活动矫治器)破除不良习惯,可引导上颌骨发育,避免下颌骨过度前伸。“地包天”若在乳牙期不干预,可能导致恒牙期反颌加重,甚至影响面部中份发育。
- 替牙期(6-10岁):这是“颌骨生长发育的快速期”,也是纠正功能性错颌的关键阶段,常见问题包括上颌前突(“龅牙”)、下颌后缩、个别牙反颌、牙列间隙异常等,此时可通过功能矫治器(如FRⅢ矫治器、Twin Block)刺激或抑制颌骨生长,改善上下颌骨关系,为恒牙排列创造空间。
- 恒牙早期(11-14岁):此时大部分恒牙已萌出,颌骨发育接近成熟,是进行固定矫正的“黄金时期”,主要解决牙齿拥挤、牙列稀疏、深覆合、深覆盖等问题,通过传统托槽矫正或隐形矫正排齐牙齿,调整咬合关系。
以下是不同错颌畸形类型的最佳干预时机总结:
| 错颌畸形类型 | 最佳干预年龄 | 干预原因 |
|---|---|---|
| 乳牙反颌(地包天) | 3-5岁 | 引导上颌骨发育,防止下颌骨过度前伸,避免恒牙反颌 |
| 口腔不良习惯 | 3-6岁 | 破除吮指、咬唇等习惯,防止牙齿错位及颌骨发育异常 |
| 上颌前突(龅牙) | 8-10岁 | 利用替牙期颌骨生长潜力,抑制上颌骨过度生长,改善面型 |
| 牙齿拥挤 | 11-14岁 | 恒牙列基本形成,通过矫正排齐牙齿,调整咬合,避免拥挤加重 |
| 下颌后缩 | 8-12岁 | 功能矫治器刺激下颌骨生长,改善面部后缩,避免成年后正颌手术 |
常见儿童矫正方法及特点
儿童牙齿矫正需根据错颌畸形类型、年龄及生长发育情况选择合适方法,常见包括以下几类:
- 传统固定矫正:通过金属托槽、陶瓷托槽与弓丝固定牙齿,适用于各类错颌畸形,尤其是牙齿拥挤、复杂咬合问题,优点是力度稳定、适用范围广;缺点是美观度稍差,口腔清洁难度增加。
- 隐形矫正:采用透明牙套逐步移动牙齿,适用于轻度至中度错颌畸形,如牙列拥挤、间隙等,优点是美观舒适、可摘戴、便于清洁;缺点是对患者自律性要求高,价格相对较高,部分复杂病例需配合传统矫正。
- 功能矫治器:主要用于替牙期,通过调整颌骨肌肉功能引导颌骨生长,如“Twin Block”纠正下颌后缩,“FRⅢ”矫治器改善上颌前突,优点是可干预颌骨发育异常,降低成年后正颌手术概率;缺点是适用范围有限,需在特定年龄段使用。
- 活动矫治器:常用于乳牙期,如“上颌颌垫矫治器”纠正反颌,“ habit breaker”破除不良习惯,优点是体积小、可摘戴,便于孩子适应;缺点是矫正力度较弱,适用于简单错颌。
儿童矫正过程中的注意事项
- 口腔卫生维护:戴矫正器后食物易嵌塞,需使用正畸专用牙刷(如U型刷、正畸牙刷)、牙线、冲牙器清洁,避免托槽周围龋坏。
- 饮食调整:避免过硬(如坚果、骨头)、黏性(如口香糖、奶糖)食物,防止托槽脱落;减少含糖饮料摄入,降低龋齿风险。
- 定期复诊:一般4-6周复诊一次,医生会检查牙齿移动情况,调整矫治力,确保矫正进度。
- 心理疏导:部分孩子因戴矫正器外观自卑,家长需耐心解释矫正的必要性,鼓励孩子坚持;同时提醒孩子不要因好奇触摸或玩弄托槽,避免脱落。
- 保持器佩戴:矫正结束后需严格佩戴保持器(通常夜间佩戴为主),防止牙齿复发,颌骨发育未完全的儿童(如替牙期矫正者)可能需要更长时间的保持。
相关问答FAQs
Q1:儿童矫正过程中牙齿疼痛正常吗?如何缓解?
A:矫正初期及每次加力后1-3天,牙齿可能出现轻微酸胀、疼痛,属于正常现象,是牙齿移动的生理反应,疼痛可通过以下方式缓解:① 饮食宜软,避免咀嚼过硬食物;② 可用温毛巾轻敷面部;③ 若疼痛剧烈,可遵医嘱服用儿童适用的止痛药(如布洛芬混悬液),一般无需特殊处理,疼痛会逐渐减轻。

Q2:矫正后牙齿会反弹吗?如何预防?
A:牙齿矫正后存在反弹风险,主要原因包括:① 未按医嘱佩戴保持器;② 矫正后仍存在口腔不良习惯(如吐舌、咬唇);③ 颌骨发育未完全停止(如青春期儿童颌骨继续生长),预防措施:① 矫正结束后严格佩戴保持器,至少夜间佩戴1-2年,部分情况需长期佩戴;② 定期复查(一般每3-6个月一次),医生会检查牙齿稳定性,及时调整;③ 纠正不良习惯,如避免用牙齿咬硬物、吐舌等。

