深圳远东牙齿矫正作为当地口腔医疗领域的重要服务项目,凭借专业的医生团队、先进的矫正技术以及个性化的方案设计,帮助众多患者解决了牙齿排列不齐、咬合异常等问题,重获健康整齐的牙齿与自信笑容,牙齿矫正不仅是美学需求,更关系到口腔健康与功能,深圳远东口腔在矫正领域始终以“精准、舒适、长效”为核心,为不同年龄段的患者提供全方位的矫正服务。
深圳远东牙齿矫正的核心优势在于其强大的技术支撑与医疗团队,机构配备了国际先进的数字化矫正设备,如3D口扫仪、CBCT影像系统及AI正畸方案设计软件,能够通过高精度扫描获取患者牙齿、颌骨及面部软组织的三维数据,结合面部美学比例与咬合功能需求,模拟出矫正过程中的牙齿移动轨迹及最终效果,让患者在治疗前即可直观预见矫正后的变化,医生团队由多名拥有十余年正畸临床经验的资深医师组成,涵盖儿童早期矫正、青少年及成人各类复杂错颌畸形矫正领域,团队定期参与国内外正畸学术交流,紧跟国际矫正技术前沿,确保治疗方案的科学性与先进性。

在矫正技术方面,深圳远东口腔提供多样化的选择,满足不同患者的需求,隐形矫正是其特色项目之一,与时代天使、隐适美等知名品牌合作,采用医用高分子材料制作的透明牙套,兼具美观与舒适度,患者可自行摘戴,便于清洁,不影响正常饮食,尤其适合对美观要求较高的成人及青少年,传统矫正技术同样成熟,包括金属自锁托槽矫正、陶瓷半隐形托槽矫正等,其中自锁托槽通过降低摩擦力,有效缩短矫正周期,减少复诊次数,且疼痛感较轻,针对复杂病例,如骨性错颌、严重拥挤等,机构还开展联合正畸-正颌治疗,通过多学科协作实现功能与美学的双重改善。
为帮助患者更好地选择矫正方式,以下为不同矫正技术的对比参考:
| 矫正类型 | 特点 | 适合人群 | 参考周期 |
|---|---|---|---|
| 隐形矫正(时代天使) | 透明材质,美观度高;可自行摘戴,清洁方便;摩擦力低,舒适度较好 | 成人、青少年对美观要求高者;轻度至中度错颌 | 1-3年 |
| 隐形矫正(隐适美) | 全球知名品牌,材料韧性强;附件设计精准,牙齿移动控制更精细;适用范围广 | 成人复杂错颌、美学需求极高者 | 5-3年 |
| 金属自锁托槽矫正 | 自锁结构减少摩擦力,矫正效率高;复诊间隔延长至6-8周;性价比高 | 青少年、复杂错颌病例;预算有限者 | 5-2.5年 |
| 陶瓷半隐形托槽矫正 | 托槽材质透明,接近牙齿颜色;美观度介于隐形与金属矫正之间;强度高,不易染色 | 青少年及成人对美观有一定需求者 | 5-2.5年 |
| 舌侧矫正 | 托槽粘贴于牙齿内侧,完全隐形;个性化定制,精准度高 | 对美观要求极高者,如演员、主播等 | 2-3年 |
深圳远东牙齿矫正的服务流程以“个性化”与“规范化”相结合,确保矫正效果与患者体验,初诊阶段,医生会通过口腔检查、X光片、3D扫描等方式全面评估患者口腔状况,包括牙齿排列、颌骨关系、面部美学等,并与患者充分沟通需求,明确矫正目标,方案设计阶段,结合数字化模拟结果,医生会制定1-2套个性化方案,说明不同方案的优缺点、周期及费用,患者确认后即可进入矫正实施阶段,治疗中,医生会定期复诊调整矫治器,监控牙齿移动进度,确保矫正方向与方案一致,拆除矫治器后,患者需佩戴保持器以维持效果,机构会提供长期的保持器跟踪服务,降低复发风险。
价格方面,深圳远东牙齿矫正的收费因矫正类型、牙齿畸形程度、医生资历等因素有所不同,以下为参考范围(单位:元):隐形矫正(时代天使)15000-30000元;隐形矫正(隐适美)30000-50000元;金属自锁托槽矫正8000-15000元;陶瓷半隐形托槽矫正15000-25000元;舌侧矫正50000-80000元,部分复杂病例可能涉及骨钉植入、牙周治疗等附加项目,费用需根据实际情况评估,机构支持分期付款,并定期推出矫正优惠活动,减轻患者经济压力。

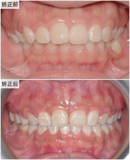
案例分享是深圳远东牙齿矫正效果的有力证明,18岁的小明因“牙列拥挤+龅牙”导致自卑,经检查诊断为中度骨性龅牙,医生为其制定隐适美隐形矫正方案,通过19个月的治疗,牙齿排列整齐,侧脸线条改善,笑容更加自然自信,35岁的李女士因“地包天”影响咀嚼功能,采用传统金属自锁托槽矫正联合颌板治疗,2年后不仅咬合恢复正常,面部对称性也得到显著提升,这些案例体现了深圳远东口腔在美学与功能矫正上的综合实力。
牙齿矫正期间的护理同样重要,患者需保持口腔卫生,使用正畸专用牙刷、牙线清洁牙齿及托槽周围,避免龋齿和牙周炎;饮食上避免过硬、黏性食物,防止托槽脱落;复诊需按时前往,若出现托槽松动、疼痛等异常情况,应及时联系医生,矫正结束后,严格佩戴保持器是维持效果的关键,初期需全天佩戴,后期逐渐过渡至夜间佩戴,建议终身佩戴以防止复发。
相关问答FAQs
问题1:深圳远东牙齿矫正一般需要多长时间?
解答:矫正周期因人而异,主要取决于牙齿畸形程度、矫正类型及患者配合度,简单病例如轻度拥挤、牙缝较大,矫正周期约6-12个月;中度复杂病例(如中度龅牙、反颌)通常需1.5-2年;严重骨性错颌或需联合正颌手术的病例,可能需要2-3年,隐形矫正因患者需自行佩戴牙套,若佩戴时间不足(每日少于20小时),可能会延长周期,医生会根据患者具体情况制定个性化方案,并在治疗过程中定期调整,确保高效完成矫正。
问题2:隐形矫正和传统矫正怎么选?有哪些区别?
解答:选择隐形矫正还是传统矫正,需结合美观需求、畸形程度、预算及生活习惯综合判断,主要区别如下:
- 美观度:隐形矫正牙套透明,佩戴时不易察觉,美观度高;传统矫正(金属/陶瓷托槽)托槽外露,美观度较低,但陶瓷托槽颜色接近牙齿,相对隐蔽。
- 舒适度:隐形矫正材质光滑,摩擦力小,舒适度较高;传统矫正初期可能存在口腔黏膜适应问题,但自锁托槽可缓解不适。
- 清洁难度:隐形矫正可自行摘戴,清洁方便;传统矫正需使用正畸专用工具清洁托槽周围,清洁难度较大。
- 适用范围:隐形矫正适用于轻度至中度错颌,复杂病例可能需传统矫正或联合治疗;传统矫正适用范围广,几乎涵盖所有类型的牙齿畸形。
- 价格:隐形矫正(尤其是隐适美)价格较高,传统金属托槽矫正性价比更高,建议患者先进行专业检查,由医生评估后推荐最适合的方案。
