牙齿矫正通过施加持续、轻柔的力移动牙齿,最终达到排列整齐、咬合协调的目的,是常见的口腔治疗方式,部分患者在矫正过程中或矫正后,可能会发现牙齿出现裂纹,这不仅影响美观,还可能带来敏感、疼痛等问题,牙齿矫正产生裂纹的原因复杂,涉及牙齿自身状况、矫正操作及患者习惯等多方面因素,需要科学认识和妥善应对。
牙齿矫正产生裂纹的常见原因
牙齿裂纹的出现并非偶然,往往是多种因素共同作用的结果。牙齿自身结构脆弱是重要基础,部分患者牙齿本身存在隐裂(肉眼不易察觉的细微裂纹)、釉质发育不全或牙本质过敏等问题,这类牙齿在矫正过程中,即使正常的矫正力也可能成为“压垮骆驼的最后一根稻草”,尤其是大牙(磨牙),承担主要咀嚼功能,牙尖交错时受力集中,若本身存在薄弱结构,更容易在矫正力作用下裂纹显现或加深。

矫正力过大或加力过急是直接诱因,牙齿移动需要生理性改建过程,包括牙槽骨吸收与重建,若医生经验不足,在牙齿移动尚未稳定时过早施加过大力量,或频繁调整矫正力度,可能导致牙齿超出其耐受范围,出现裂纹,在关闭拔牙间隙时,若使用过强的牵引力,前牙牙根可能受到过大扭力,牙颈部(牙齿最细的部位)容易出现裂纹。
矫正器附件的摩擦与刺激也不容忽视,传统矫正器的托槽、弓丝边缘若打磨不光滑,或隐形矫正器的附件(如附件、牙套边缘)与牙齿贴合不紧密,长期摩擦可能损伤牙釉质,形成浅表裂纹;而患者若在矫正期间频繁咬硬物(如坚果、冰块),可能导致局部应力集中,加剧裂纹风险。
口腔卫生维护不当会间接增加裂纹风险,矫正期间牙齿清洁难度增大,若刷牙不彻底,牙菌斑堆积导致牙釉质脱矿(牙齿表面出现白色斑点),使牙齿硬度下降,脆性增加,更容易在受力时产生裂纹,夜磨牙或紧咬牙等不良习惯,会使牙齿承受非正常咬合力,与矫正力叠加,显著提高裂纹发生率。
牙齿裂纹的表现与危害
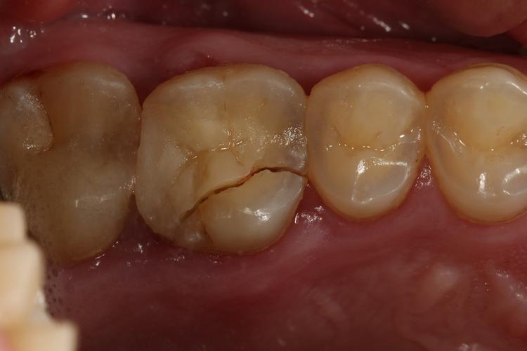
牙齿裂纹根据深度和位置可分为不同类型,症状也轻重不一。浅层裂纹(仅累及釉质)通常无明显症状,可能在偶然照镜子或医生检查时发现,表现为牙齿表面细小的线条状纹路;中层裂纹(达牙本质)则可能对冷热刺激敏感,进食酸甜食物或冷饮时出现短暂尖锐疼痛;深层裂纹(近牙髓或穿髓)危害较大,可引发牙髓炎(剧烈疼痛、夜间加重),甚至导致牙根感染,需要根管治疗才能保留牙齿。

若裂纹未及时处理,可能进一步发展:裂纹加深后,细菌易通过裂纹侵入牙髓,引发感染;严重时牙齿可能从裂纹处劈裂,直接导致牙齿缺失,不仅增加治疗难度,还可能影响矫正效果(如牙齿移位异常、咬合紊乱)。
如何预防与应对牙齿裂纹
预防牙齿裂纹,需从矫正前、矫正中、矫正后三个阶段入手:
矫正前全面评估是关键,患者应进行口腔全景片、CBCT等检查,排查牙齿隐裂、牙根吸收等潜在问题;对存在釉质发育不全或严重敏感的牙齿,先进行脱敏治疗或树脂修复,增强牙齿抗力;医生需根据患者牙齿密度、牙根形态等制定个性化矫正方案,避免“一刀切”的加力方式。
矫正中精细操作与护理是核心,医生应遵循“轻力、间歇”原则,每次加力后给牙齿足够的改建时间(通常4-6周),避免频繁调整;定期检查矫正器附件,确保边缘光滑,隐形矫正器需严格按医嘱更换,避免过紧或过松;患者需纠正咬硬物、夜磨牙等习惯,必要时佩戴夜磨牙垫;同时加强口腔卫生,使用正畸专用牙刷、牙缝刷,配合含氟牙膏,预防釉质脱矿。

矫正后定期复查是保障,矫正结束后,牙齿位置尚未完全稳定,需佩戴保持器;若出现牙齿敏感或裂纹迹象,及时就医,通过涂氟、树脂充填等方式早期干预,防止裂纹进展。
不同类型牙齿裂纹的特征与处理建议
| 裂纹类型 | 累及层次 | 主要症状 | 处理建议 |
|---|---|---|---|
| 釉质裂纹 | 仅达釉质表层 | 无明显症状,偶见色素沉着 | 抛光、树脂修复(美观需求) |
| 牙本质裂纹 | 达牙本质中层 | 冷热敏感,咬合轻微不适 | 脱敏治疗,树脂充填封闭裂纹 |
| 深层裂纹 | 近牙髓或穿髓 | 剧烈疼痛,牙髓炎症状 | 根管治疗+全冠保护,防止劈裂 |
相关问答FAQs
Q1:矫正后牙齿有裂纹一定会坏吗?
A:不一定,裂纹的预后取决于深度和是否及时处理,浅层釉质裂纹若未进展,通常不影响牙齿功能,仅需定期观察;若裂纹达牙本质或深层,细菌可能侵入引发感染,需及时治疗(如充填、根管治疗),否则可能导致牙齿劈裂或缺失,发现裂纹后应尽快就医,通过专业检查明确程度,避免延误治疗。
Q2:矫正期间出现牙齿裂纹,还能继续矫正吗?
A:需根据裂纹严重程度决定,若为浅层裂纹,无敏感或疼痛症状,医生可能会调整矫正方案(如减小局部力值、暂停加力),同时加强口腔护理,继续矫正;若裂纹较深或已出现牙髓症状,需先暂停矫正,进行牙髓治疗或裂纹修复,待牙齿稳定后再评估是否继续矫正,切忌强行继续矫正,以免加重牙齿损伤。
