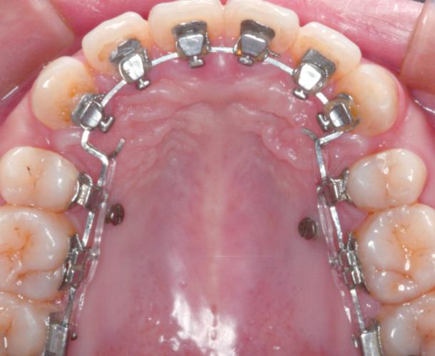
矫正牙齿内侧托槽,专业名称为“舌侧正畸托槽”,是将托槽、弓丝等矫正部件粘接在牙齿舌侧(靠近舌头的一面)的一种隐形矫正技术,与传统唇侧矫正(托槽粘在牙齿外侧)相比,其核心优势在于“完全隐形”,不影响美观,尤其适合对形象要求较高的成年矫正者,但因其技术难度高、操作复杂,对医生技术和患者配合度均有严格要求,属于正畸领域中的“高阶选择”。
内侧托槽与传统唇侧托槽的核心差异
内侧托槽与唇侧托槽虽同为固定矫正技术,但在多个维度存在显著区别,可通过下表直观对比:

| 对比维度 | 唇侧托槽 | 内侧(舌侧)托槽 |
|---|---|---|
| 美观度 | 托槽、弓丝位于牙齿外侧,可见金属/陶瓷色 | 完全隐藏于舌侧,从正面、侧面均不可见,隐形效果最佳 |
| 舒适度 | 初期易磨嘴唇、颊黏膜,需适应 | 初期易磨舌头,发音受影响,适应期较长(1-2周) |
| 清洁难度 | 易清洁,普通牙刷、牙线即可 | 清洁难度高,需专用正畸牙刷、牙线穿引器、冲牙器 |
| 矫正周期 | 平均1.5-2年 | 因操作复杂,可能延长3-6个月,平均2-2.5年 |
| 价格 | 金属托槽1-2万元,陶瓷托槽2-3万元 | 3-5万元(因个性化定制、医生技术要求高) |
| 适应症 | 大多数错颌畸形(牙列拥挤、龅牙、反颌等) | 对牙齿畸形类型有限制,严重拥挤、开颌等需医生评估 |
内侧托矫正的核心优势
- 极致隐形:托槽粘接在牙齿舌侧,从任何角度观察均无金属暴露,完美规避“钢牙”尴尬,尤其适合教师、演员、律师等需频繁社交的职业人群,以及青少年对“形象焦虑”的规避。
- 避免唇侧磨损:传统唇侧托槽易摩擦嘴唇、脸颊黏膜,导致溃疡;内侧托槽位于舌侧,对唇颊黏膜无刺激,且弓丝末端可提前打磨圆钝,减少舌头不适。
- 个性化定制:通过数字化口扫获取牙齿数据,3D打印个性化托槽和弓丝,确保每颗牙齿的托槽位置、角度与牙齿形态精准贴合,提升矫正效率。
- 矫正效果稳定:舌侧托槽的施力点更接近牙齿阻抗中心,力学控制更精准,尤其对牙齿转矩(牙齿倾斜度)、转矩的控制优于唇侧,复杂病例(如深覆颌、牙齿扭转)的矫正效果更稳定。
内侧托槽矫正的适用人群
并非所有人都适合内侧托槽矫正,需满足以下条件:
- 美观需求极高:对传统矫正的“金属外观”有强烈排斥,或职业要求无法暴露矫正装置。
- 口腔卫生良好:能接受并掌握复杂的清洁方法,否则易引发牙龈炎、龋齿等并发症。
- 依从性高:按时复诊(通常4-6周一次),严格遵医嘱调整饮食(避免硬、黏、脆食物),避免托槽脱落。
- 牙齿畸形类型适合:轻中度牙列拥挤、龅牙、牙缝过大、个别牙齿扭转等;严重骨性畸形、开颌(上下牙齿无法咬合)需联合正颌手术,内侧托槽并非首选。
内侧托槽矫正的完整流程
内侧托槽矫正需经历“精准评估-个性化设计-精细粘接-动态调整-保持巩固”五个阶段,全程依赖数字化技术与医生经验:
- 初诊检查:通过口内检查、全景片、头颅侧位片、CBCT(三维影像)评估牙齿、牙根、颌骨情况,判断是否适合内侧矫正。
- 数字化方案设计:取口模或口扫获取牙齿数据,在计算机上模拟牙齿移动路径,设计托槽位置、弓丝形态,预测矫正效果及周期(通常需1-2周)。
- 个性化托槽定制:根据设计方案,3D打印个性化托槽(每颗牙齿托槽的底板形态与舌侧牙面贴合)及弓丝,确保矫正力精准传递。
- 托槽粘接:医生在牙齿舌侧精准酸蚀、涂粘接剂,将托槽逐一粘接,需严格控制托槽的垂直高度、近远中位置、转矩角度(误差需≤0.1mm),直接影响矫正效果。
- 复诊调整:首次复诊在粘接后1-2周,检查托槽稳定性、调整弓丝;之后每4-6周复诊一次,更换更粗的弓丝或施加额外力,引导牙齿逐步移动至目标位置。
- 拆除与保持:矫正完成后,拆除托槽、弓丝,佩戴保持器(舌侧保持器或透明保持器),防止牙齿复发,保持期通常需1-2年。
内侧托槽矫正的注意事项与并发症应对
(一)日常护理要点
内侧托槽因位于舌侧,清洁难度大,需搭配专用工具:
- 刷牙:使用正畸牙刷(刷毛呈“V”形,可深入托槽周围),采用“巴氏刷牙法”,每次刷牙3分钟,重点清洁托槽边缘、牙龈缘。
- 牙线:选用正畸牙线(含穿引器),从牙齿邻面穿过,上下刮除食物残渣,避免牙缝龋坏。
- 冲牙器:每天餐后使用,水流压力设置档位(推荐中档),冲洗托槽周围的食物残渣和菌斑。
- 饮食禁忌:避免坚果、硬糖、牛肉干等硬物(易导致托槽脱落)、口香糖、年糕等黏物(易粘接托槽),建议吃苹果、梨等水果时切成小块。
(二)常见并发症及处理
- 口腔溃疡:初期舌头频繁接触托槽,易形成溃疡,可用正畸蜡覆盖托槽尖锐处,或使用溃疡贴保护,通常1-2周后舌头适应,溃疡会自行愈合。
- 发音障碍:托槽影响舌头活动,可能出现卷舌音(如“l”“r”)、舌齿音(如“z”“c”“s”)发音不清,建议每天练习发音(如绕口令),1-2周后可逐渐适应。
- 托槽脱落:因咬硬物或意外碰撞导致托槽脱落,需立即联系医生,尽快复诊粘接(若拖延,牙齿可能移动偏离目标位置)。
- 牙龈炎/牙周炎:清洁不到位导致牙菌斑堆积,出现牙龈红肿、出血,需加强清洁,必要时进行牙周治疗(如洗牙、上药)。
内侧托槽矫正的局限性
尽管内侧托槽优势显著,但也存在一定局限:

- 技术门槛高:能熟练开展内侧矫正的医生较少,需经过专业培训(如舌侧矫正认证课程),选择时需确认医生资质。
- 适应症受限:严重牙齿拥挤、牙根吸收(CBCT显示)患者可能不适合,需医生综合评估。
- 初期不适明显:适应期(1-2周)的舌头疼痛、发音不清、进食不便,可能影响生活和工作。
相关问答FAQs
问题1:内侧托槽矫正比传统矫正贵多少?大概需要多少钱?
解答:内侧托槽矫正因需个性化定制托槽、弓丝,且对医生技术要求高,价格通常为传统矫正的2-3倍,传统金属唇侧矫正费用约1-2万元,陶瓷唇侧矫正约2-3万元,而内侧托槽矫正费用普遍在3-5万元,具体需根据地区消费水平、医生资历、矫正难度(如是否需要拔牙、骨钉等)确定。
问题2:内侧托槽矫正需要多久才能适应?会有哪些不适?
解答:适应期通常为1-2周,初期主要不适包括:舌头接触托槽时疼痛(尤其在进食、说话时)、发音不清(如卷舌音、舌齿音发音困难)、轻微恶心感(因舌侧异物感刺激咽部),建议初期吃软食(粥、面条、蒸蛋),用正畸蜡覆盖托槽尖锐处,每天练习发音(如朗读文章),多数人不适会在2周内逐渐缓解;若疼痛持续或加重,需及时复诊调整。
