矫正牙齿局部矫正,顾名思义,是针对口腔中局部牙齿排列问题进行的针对性矫治,区别于传统全口矫正对整副牙齿的全面调整,它通过精准移动目标牙齿,解决个别牙齿扭转、倾斜、拥挤或牙缝过大等问题,在满足美学需求的同时,缩短治疗时间、降低治疗成本,成为越来越多轻中度牙齿问题患者的选择。
局部矫正的适用人群与核心优势
局部矫正并非“万能”,其适用范围需严格把控,主要针对以下情况:个别牙齿扭转(如门牙“外凸”或“内扣”)、前牙轻度拥挤(1-3颗牙齿重叠)、散在间隙(牙缝过大导致的美观问题)、牙齿中线不齐(仅前牙中线偏斜)、或因外伤、牙周病导致的局部牙齿移位需调整,需注意,若存在严重骨性错颌(如上颌前突、下颌后缩)、全口牙齿排列紊乱、咬合功能异常(如深覆合、深覆盖影响咀嚼),或牙周病未控制者,则不适合局部矫正,需全口矫正或联合治疗。

相较于传统全口矫正,局部矫正的核心优势显著:治疗周期短,通常仅需6-12个月,而全口矫正常需1-3年;创伤小,仅移动目标牙齿,对牙周组织影响更小;费用低,约为全口矫正的40%-60%;美观性好,多采用隐形、陶瓷托槽等材料,社交影响小;复诊灵活,部分隐形矫正方案可延长复诊间隔至2-3个月。
常见局部矫正方式及特点
局部矫正并非单一方法,而是根据牙齿问题类型、患者需求及经济条件,选择不同的矫治技术,以下为几种主流方式的对比:
| 矫正方法 | 原理 | 适用情况 | 优点 | 缺点 |
|---|---|---|---|---|
| 隐形局部矫正 | 利用3D打印技术制作透明牙套,通过精准的“附件+牙套”施力,分阶段移动目标牙齿 | 个别前牙扭转、轻度拥挤、牙缝关闭 | 隐形美观、可自行摘戴、舒适度高、清洁方便 | 价格较高(约1.5万-3万元)、需严格佩戴(每天20h以上) |
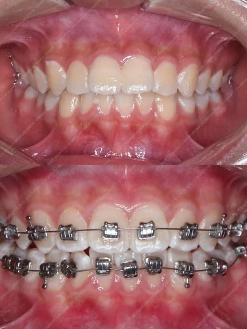
| 陶瓷托槽局部矫正 | 采用透明/陶瓷材质托槽粘接牙齿,配合金属弓丝施力,托槽与牙齿颜色接近 | 对美观要求高、轻度拥挤不齐(如侧牙轻微扭转) | 美观度较好、强度高、价格适中(约1万-2万元) | 托槽可能染色(如喝茶、咖啡)、调整时初期略不适 |
| 舌侧托槽局部矫正 | 将托槽粘接于牙齿舌侧面,完全隐藏于口腔内,通过个性化弓丝施力 | 社交需求极高(如演员、主播)、前牙轻度问题 | 隐形效果最佳、不影响外观 | 费用极高(约4万-8万元)、初期发音影响大、清洁难度大 |
| 树脂贴面/瓷贴面修复 | 磨除少量牙体组织,通过贴面修复牙齿形态、关闭间隙(属美学修复,非移动牙齿) | 轻微牙体缺损、小间隙(0.5-2mm)、轻微不齐 | 无需移动牙齿、治疗周期短(2-3次就诊)、效果立竿见影 | 磨牙不可逆、可能贴面脱落、需严格适应症(牙釉质健康) |
局部矫正的完整流程
局部矫正虽“局部”,但流程严谨,需严格遵循“检查-设计-治疗-保持”四步,以确保效果稳定。
第一步:初诊检查与评估
需到正规口腔机构进行详细检查,包括:口内检查(记录牙齿排列、咬合关系、牙周状况)、取模(获取牙齿石膏模型或口扫数据)、拍摄X光片(曲面断层片、头颅侧位片,判断牙根位置及骨性情况),若存在牙周炎、牙结石等,需先进行牙周治疗,控制炎症后再启动矫正。

第二步:方案个性化设计
医生结合检查数据,与患者沟通需求(如优先解决门牙拥挤还是关闭牙缝),确定矫治目标,通过计算机软件(如隐适美、时代天使的方案设计系统)模拟牙齿移动过程,明确需移动的牙齿、移动距离及时间,并制作矫治器(如隐形牙套)或托槽。
第三步:矫治器佩戴与定期复诊
隐形矫正需患者自行佩戴牙套,每副牙套佩戴1-2周,按顺序更换;传统托槽矫正则由医生粘接托槽,通过调整弓丝施力,复诊间隔:隐形矫正每6-8周复查1次,检查牙齿移动进度;托槽矫正每4-6周调整1次,期间需避免啃咬硬物(如坚果、骨头),防止托槽脱落或牙套损坏。
第四步:拆除矫治器与保持阶段
当目标牙齿达到预期位置后,拆除矫治器,需佩戴保持器防止复发,保持器分为透明压膜保持器(可摘戴,夜间佩戴)和固定保持器(粘接于牙齿舌侧面,长期佩戴),保持阶段至少持续1年,期间每3-6个月复查1次,确认牙齿稳定性。
局部矫正的风险与注意事项
局部矫正虽优势明显,但仍存在一定风险:矫治范围有限,若强行用于复杂病例,可能导致咬合紊乱;复发风险,若保持器佩戴不当或存在不良习惯(如咬唇、吐舌),移动的牙齿可能反弹;口腔卫生问题,托槽周围易堆积食物残渣,若清洁不到位,可能引发龋齿或牙周炎;牙根吸收(概率约5%),长期矫正中牙根可能轻微缩短,但通常不影响功能。
注意事项:矫正期间需加强口腔卫生,使用正畸牙刷、牙缝刷、冲牙器清洁;避免食用过硬、过黏食物(如口香糖、 caramel);出现托槽脱落、剧烈疼痛等异常,需及时复诊;保持阶段务必遵医嘱佩戴保持器,这是维持效果的关键。
相关问答FAQs
Q1:局部矫正适合所有人吗?哪些人不适合?
A:并非所有人适合局部矫正,主要适用于牙齿问题局限(如个别牙齿不齐、前牙轻度拥挤)、咬合功能基本正常的患者,但以下人群需避免:①存在严重骨性错颌(如上颌前突、下颌后缩),需正颌手术联合矫正;②全口牙齿排列严重紊乱(如多数牙齿拥挤、反合);③牙周病未控制(牙槽骨吸收、牙齿松动);④口腔卫生极差,无法配合托槽清洁;⑤青少年处于快速生长发育期(如替牙期),可能需全口干预引导颌骨发育。
Q2:局部矫正会比全口矫正效果差吗?会复发吗?
A:效果取决于适应症,若患者问题确实局限(如仅门牙拥挤),局部矫正的效果与全口矫正相当,仅解决目标牙齿问题;若强行用局部矫正处理复杂病例(如全口拥挤),效果会明显差于全口矫正,复发风险方面,任何矫正均存在复发可能,局部矫正因移动牙齿少,若保持器佩戴规范(夜间佩戴至少1年,部分需长期佩戴),复发风险可控;若未保持或不良习惯未纠正(如咬唇、吐舌),移动的牙齿可能部分反弹。
