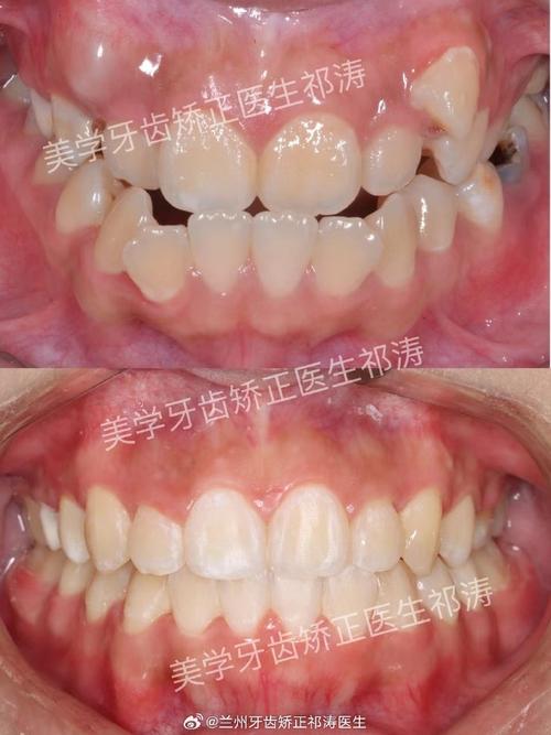
下面一排牙齿(下颌牙齿)的矫正不仅是美观需求,更关乎口腔功能与健康,下颌牙齿作为咀嚼运动的主要执行者,其排列异常可能导致咬合紊乱、颞下颌关节问题,甚至影响消化功能,常见的下排牙齿问题包括拥挤、稀疏、反颌(俗称“地包天”)、深覆合等,这些问题需通过专业正畸治疗进行矫正,而矫正过程需结合个体情况选择方案,并严格遵循治疗规范。
矫正下排牙齿的常见方法
矫正下排牙齿的方法多样,需根据牙齿畸形类型、口腔状况及患者需求选择,以下是主流方法的对比:

| 矫正方法 | 优点 | 缺点 | 适合人群 |
|---|---|---|---|
| 传统金属托槽 | 矫正力度强,性价比高,适用复杂病例 | 美观性差,易刮嘴,口腔清洁难度大 | 牙齿严重拥挤、反颌、需要大幅度移动的患者 |
| 陶瓷托槽 | 托槽颜色接近牙齿,美观度优于金属 | 硬度低于金属,易磨损,价格较高 | 对美观有要求,畸形程度中等的患者 |
| 舌侧矫正 | 完全隐藏于牙齿内侧,美观度最高 | 矫正力度较弱,适应期长,价格昂贵 | 对美观要求极高,且经济条件允许的患者 |
| 隐形矫正(如隐适美) | 可摘戴,美观舒适,方便清洁,可预知矫正效果 | 矫正力度相对较弱,不适用于严重骨性畸形 | 轻中度拥挤、稀疏,且自律性较高的患者 |
矫正下排牙齿的流程
- 初诊检查:通过口腔全景片、头颅侧位片、CBCT等影像学检查,结合口腔模型及面部分析,评估牙齿畸形类型、骨性关系及咬合功能,制定个性化矫正方案。
- 术前准备:若存在牙周炎、龋齿等问题,需先进行治疗;对于严重拥挤的患者,可能需拔除部分牙齿(如智齿或前磨牙)为牙齿移动提供空间。
- 戴牙套:根据选择的矫正方法,将托槽或隐形牙套粘附于牙齿表面,医生通过调整托槽位置或更换牙套序列,逐步引导牙齿移动至目标位置。
- 定期复诊:通常每4-6周复诊一次,医生检查牙齿移动进度,调整矫正力度,必要时更换弓丝或牙套。
- 保持阶段:矫正结束后需佩戴保持器(通常为透明压膜保持器或 Hawley 保持器),防止牙齿因牙周组织改建及肌肉力量影响而复发,一般需夜间佩戴至少1-2年。
矫正期间的注意事项
- 口腔卫生:佩戴托槽时,需使用正畸专用牙刷、牙缝刷、冲牙器彻底清洁牙齿,避免食物残渣堆积引发龋齿或牙周炎。
- 饮食调整:避免咬硬物(如坚果、骨头)、黏性食物(如口香糖、年糕),减少托槽脱落风险;隐形矫正者需摘下牙套进食,避免食物染色或牙套变形。
- 疼痛管理:初戴牙套或每次复诊后3-5天,牙齿可能出现酸胀感,可遵医嘱服用非处方止痛药(如布洛芬),或进食温软食物缓解不适。
- 配合治疗:严格按照医生要求佩戴牙套(隐形矫正需每日佩戴20-22小时),避免自行调整矫正装置,确保牙齿按计划移动。
相关问答FAQs
Q1:矫正下排牙齿会比上排更疼吗?
A1:疼痛程度主要与牙齿移动的力度及个体敏感度相关,而非上下颌差异,初戴牙套或每次加力后,上下颌牙齿均可能出现酸胀感,通常3-5天逐渐缓解,若下颌牙齿需进行较大幅度移动(如扭转、压低),可能不适感稍明显,但通过合理饮食和止痛管理可有效控制。
Q2:矫正后下排牙齿会复发吗?如何预防?
A2:牙齿矫正后存在复发风险,尤其是未佩戴保持器或不良习惯(如吐舌、咬唇)未纠正者,预防复发的关键:①严格佩戴保持器,至少夜间坚持1-2年;②定期复查(每3-6个月一次),医生会评估牙齿稳定性;③保持口腔卫生,避免牙周支持组织不足导致牙齿移位;③破除不良口腔习惯,必要时进行肌功能训练。

