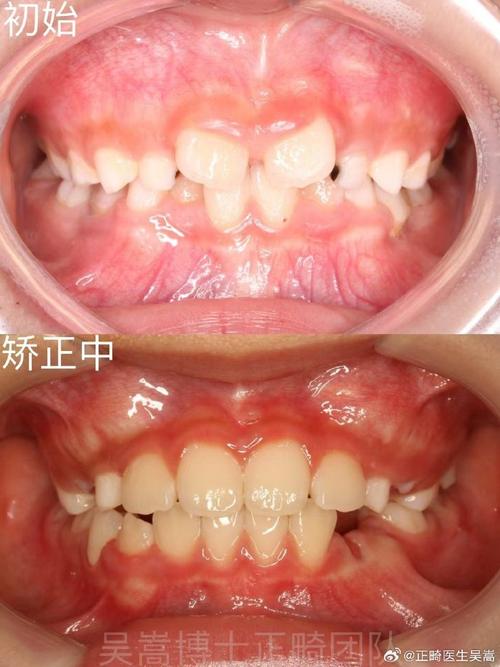
牙齿有缝(学名“牙齿间隙”)是常见的口腔问题,不仅影响面部美观,还可能导致食物嵌塞、牙周组织损伤,甚至咀嚼功能下降,对于多数轻中度牙缝患者,普通矫正(通常指传统固定托槽矫正)是性价比高、技术成熟的选择,通过施加持续、轻柔的力量,引导牙齿移动至理想位置,关闭间隙、排列整齐。
牙齿有缝的常见原因
牙齿有缝的形成与多种因素相关,明确原因有助于制定针对性矫正方案:

- 牙量骨量不调:最常见的原因之一,即颌骨(骨量)空间大于牙齿本身所需空间(牙量),导致牙齿间出现散在间隙,尤其以上颌前牙(门牙)缝隙明显为特征。
- 不良口腔习惯:儿童时期吮指、咬唇、舔牙缝等习惯,可能推动牙齿向唇侧或舌侧移动,导致牙缝变大;成人长期用牙签粗暴剔牙,可能刺激牙龈萎缩,加剧牙缝。
- 牙周问题:牙龈炎、牙周炎未及时治疗,导致牙槽骨吸收、牙龈退缩,牙齿失去支撑而移位,出现“病理性牙缝”。
- 先天因素:如多生牙(额外牙齿)占据正常牙位,或过小牙(牙冠体积小于正常)、先天缺失牙,导致牙列中“空缺”形成间隙。
普通矫正的适用人群
并非所有牙缝都需要矫正,普通矫正主要适用于以下情况:
- 轻中度牙缝:单个牙缝<3mm,多个牙缝总宽度<8mm,且牙列无明显拥挤或反颌(地包天)。
- 牙周健康:无严重牙龈萎缩、牙槽骨吸收,牙龈无红肿出血,口腔卫生状况良好(矫正前需进行牙周治疗,确保稳定)。
- 年龄范围广:儿童青少年(乳牙列替期、恒牙列早期)因骨骼生长潜力大,矫正效果更快;成人只要牙周条件允许,同样可进行普通矫正。
普通矫正的详细流程
普通矫正(传统托槽矫正)通常分为四个阶段,具体流程如下:
| 阶段 | 时间 | |
|---|---|---|
| 初诊检查 | 1-2周 | 口腔检查(牙齿数量、形态、位置)、X光片(曲面断层、头颅侧位片)、取模(硅橡胶或数字扫描),评估牙缝原因、骨量及牙周情况,制定个性化方案。 |
| 戴牙套 | 1-2小时 | 清洁牙齿、酸蚀处理增强粘接力、粘接托槽(金属/陶瓷托槽)、结扎钢丝(或使用结扎圈固定弓丝),首次复诊调整力度。 |
| 复诊调整 | 每4-6周一次 | 更换弓丝(从细到粗,从软到硬)、调整托槽位置、关闭牙缝(通过“滑动法”或“关闭曲法”逐步移动牙齿),处理托槽脱落等问题。 |
| 保持阶段 | 拆除牙套后 | 戴保持器(透明压膜保持器或Hawley保持器,前6个月全天戴,之后夜间戴2-3年,长期建议夜间戴),防止牙齿复发移位。 |
矫正期间的注意事项
- 口腔卫生维护:矫正期间托槽和弓丝易存留食物残渣,需使用正畸专用牙刷(小头软毛)、牙线(正畸 wax thread)、冲牙器,早晚刷牙+饭后漱口,避免龋坏和牙龈炎。
- 饮食禁忌:避免过硬(坚果、骨头)、过粘(口香糖、年糕)、带壳(虾蟹)食物,防止托槽脱落;啃咬食物(苹果、玉米)需切成小块。
- 复诊重要性:按时复诊(通常4-6周一次)确保牙齿按计划移动,延误可能导致矫正时间延长或效果不佳;若托槽脱落,需保存脱落部件并联系医生处理。
- 疼痛管理:戴牙套后3-5天可能出现牙齿酸胀,属正常现象,可通过温盐水漱口、进食软食缓解;若疼痛持续加剧或伴随牙齿松动,需及时复诊。
矫正后的效果维护
牙齿矫正后,牙缝关闭、排列整齐,但若不注重维护,仍可能复发,关键措施包括:
- 严格佩戴保持器:拆除牙套后1年内是复发高危期,需按医嘱佩戴保持器;之后可逐渐减少佩戴时间,但建议长期夜间佩戴。
- 定期复查:每3-6个月检查牙齿稳定性和口腔健康,及时发现潜在问题(如牙缝轻微复发)。
- 保持良好习惯:避免舔牙缝、咬硬物、用牙签剔牙,积极预防牙周病(定期洗牙、控制菌斑)。
相关问答FAQs
Q1:牙齿有缝矫正需要多长时间?
A:矫正时间因人而异,轻中度牙缝一般需1.5-3年,儿童青少年因骨骼生长活跃,矫正周期较短(1.5-2年);成人因牙槽骨改建速度较慢,通常需2-3年,若存在牙周病或牙缝过大(>5mm),需先治疗牙周病,矫正时间可能延长至3-4年。

Q2:矫正期间牙缝变大是正常的吗?
A:矫正初期(前1-3个月),医生可能会通过扩大牙弓或调整牙齿位置,暂时性“打开”部分牙缝,为后续牙齿排齐和关闭间隙创造空间,属于正常治疗步骤,若牙缝持续增大超过3个月,或伴随牙龈出血、牙齿松动,需及时复诊排查是否存在牙周问题或矫正方案调整需求。

