牙齿矫正2年多了,这个时间点其实很有意思——既熬过了初戴牙套时的各种不适,也度过了“矫正效果初显”的兴奋期,但距离最终摘下牙套可能还有一段距离,很多人在这个阶段会开始疑惑:“我的矫正进度正常吗?”“还要坚持多久?”“现在需要注意什么?”2年多的矫正更像是一场“持久战”的中场,既需要耐心,也需要科学护理,才能让结果更理想。
矫正进度:从“排列混乱”到“轮廓初显”
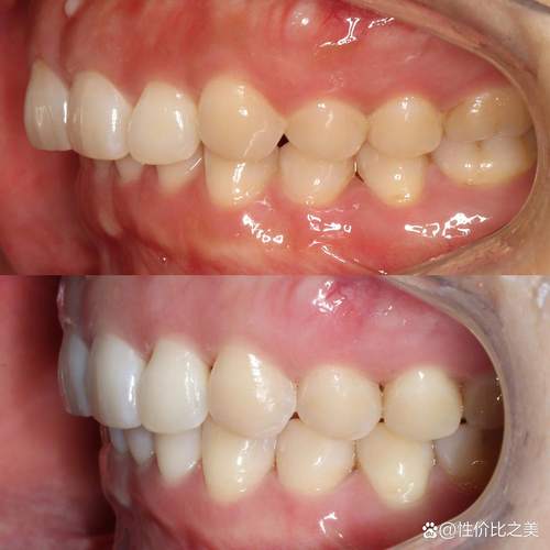
牙齿矫正的核心是“让牙齿在牙槽骨中缓慢移动”,2年多的时间,足够让原本拥挤、扭转、前突的牙齿发生明显变化,如果你是因为牙齿拥挤矫正,现在可能已经看到“乱牙”被排齐了大半,门牙的中缝基本对齐;如果是龅牙,上唇的凸度可能已经改善,侧面轮廓更柔和;地包天的朋友,下颌前突的情况也可能缓解,咬合关系更协调,矫正到2年多时,往往进入“精调阶段”——比如关闭最后的缝隙、调整咬合高点、改善牙根角度,这些细节调整看似慢,却直接影响矫正后的稳定性和美观度,所以不能急于求成。

日常护理:牙套党与口腔卫生的“持久战”
戴牙套2年多,最深的体会可能是“刷牙比吃饭还认真”,因为托槽和钢丝容易残留食物残渣,若清洁不到位,不仅会出现牙结石、牙龈炎,还可能导致“白斑龋”(牙齿脱矿,留下难看的白块),此时的护理需要“升级”:
- 刷牙工具:建议用正畸专用牙刷(刷毛中间凹、两头凸,能贴合托槽)、牙线穿引器(帮助牙线穿过牙套)、冲牙器(冲洗牙缝和牙套周边食物残渣),每天至少刷牙3次,每次3分钟,尤其是饭后必须清洁。
- 牙缝清洁:普通牙线很难穿过牙套,可以用“正畸蜡”包裹牙线前端,或使用“水牙线”,重点清洁托槽和牙齿的边缘,避免邻面龋。
- 脱敏护理:矫正过程中牙齿移动,牙本质暴露,可能会遇到冷热敏感的问题,建议用抗敏感牙膏(含氟化物或硝酸钾),避免过冷过热饮食,喝温水或牛奶缓解。
饮食调整:既要护牙也要满足口腹之欲
戴牙套2年多,很多人已经摸清了“饮食雷区”,但偶尔还是会“破防”,比如咬一口苹果,结果托槽被粘下来;嗑个瓜子,牙齿酸痛好几天,此时的饮食原则是“避开硬、粘、脆,选择软、韧、易嚼”:
- 禁忌食物:硬糖、坚果、骨头(带筋的肉)、爆米花、口香糖(粘性食物会黏住托槽,甚至导致托槽脱落);带壳海鲜(如虾蟹)、甘蔗等纤维粗硬的食物也要避免,容易卡在牙套里或硌到牙齿。
- 推荐食物:肉类可以切小块、炖烂吃(如肉末、炖牛肉),蔬菜焯水或煮软(如菠菜、胡萝卜),主食选择软米饭、面条、粥,水果可以切成小块(如香蕉、草莓)或榨汁(无渣)。
- 意外处理:如果不小心吃了硬食物导致托槽脱落,不要慌——先保存好托槽,用正畸蜡(医生会提供)暂时粘在牙齿上避免刮嘴,尽快联系医生复诊,避免牙齿移位。
复诊与沟通:矫正效果的“方向盘”
矫正2年多,复诊频率可能会从最初的4周一次调整为6-8周一次,因为此时牙齿移动速度变慢,医生需要更精细地调整,每次复诊时,一定要主动和医生沟通:
- 反馈感受:比如牙齿是否有酸痛(正常现象,持续3-5天会缓解)、咬合是否顺畅、是否有食物嵌塞频繁、牙套是否刮嘴等。
- 看X光片:医生可能会拍全景片或侧位片,观察牙根移动情况、牙槽骨改建进度,这些是肉眼看不到的“隐形进度”。
- 调整方案:如果发现某些牙齿移动缓慢,或咬合需要优化,医生可能会更换更粗的钢丝、添加橡皮筋(牵引钩)、甚至打骨钉(增强支抗),这些调整都是为了让最终效果更稳定。
心理调适:从“煎熬”到“期待”的蜕变
矫正2年多,心理状态往往像“过山车”:最初觉得“牙套好丑,不敢笑”,后来看到牙齿变整齐又充满动力,但长期戴牙套也可能让人疲惫——比如聚会时不敢吃大餐、拍照时总想抿嘴,这个阶段已经能看到“曙光”:每次复诊时医生说“进步很大”,和朋友见面时被夸“你牙齿好像变整齐了”,都会成为坚持下去的理由,可以多看看矫正前的对比照片,感受自己的变化;加入正畸交流群,和大家分享护理心得,你会发现“原来大家都一样”,孤独感会少很多。

矫正2年多常见问题与应对措施
| 常见问题 | 可能原因 | 应对方法 |
|---|---|---|
| 牙套刮嘴 | 托槽边缘粗糙、钢丝末端过长 | 用正畸蜡涂抹刮嘴部位,避免溃疡;复诊时请医生调整或打磨 |
| 牙齿酸痛 | 加力后牙齿移动、牙根受力 | 避免用患侧咀嚼,吃软食,按医嘱服用止痛药(如布洛芬),酸痛一般3-5天缓解 |
| 托槽/脱落 | 咬硬物、刷牙力度过大 | 保存托槽,用正畸蜡临时固定,尽快复诊;避免吃硬食,刷牙用“巴氏刷牙法” |
| 牙缝变大 | 牙齿排齐后邻面清洁不到位导致牙结石 | 加强牙缝清洁(牙线+冲牙器),定期洗牙(每3-6个月一次),避免牙龈萎缩 |
相关问答FAQs
Q1:矫正2年多了还没摘牙套,是不是医生拖时间了?
A:矫正周期因人而异,2年多没摘牙套不一定异常,牙齿矫正分为“排齐、整平、关闭缝隙、调整咬合”等阶段,复杂病例(如骨性畸形、严重拥挤、需要种植支抗等)可能需要2.5-3年,医生会通过X光片、模型检查判断牙齿移动进度和牙根位置,只有达到“稳定、美观、功能协调”的标准才会摘牙套,如果担心进度,可以直接和医生沟通,了解剩余矫正计划,不必过度焦虑。
Q2:矫正期间牙齿松动,是不是要失败了?
A:牙齿松动是矫正过程中的“正常现象”,牙齿移动时,牙根周围的牙槽骨会经历“吸收-重建”的过程,牙齿暂时轻微松动(幅度约0.1-0.2mm)是为了适应新位置,就像“树移栽时要松动土壤才能扎根”,但如果松动明显(牙齿晃动幅度大、咬合疼痛),可能是咬合力过大、牙周炎或加力不当,需及时复诊检查,日常避免用松动牙咬硬物,保持口腔卫生,防止牙周问题加重。
牙齿矫正2年多,就像跑马拉松的最后几公里,虽然辛苦,但每一步都在靠近终点,耐心护理、积极配合医生,相信不久后就能收获一口整齐的牙齿和更自信的笑容。

