牙齿矫正是口腔科常见的治疗手段,旨在通过外力调整牙齿排列、改善咬合关系及面部美观,但很多人对其安全性存在顾虑,任何医疗行为都伴随一定风险,牙齿矫正也不例外,但多数风险可通过规范操作和患者配合有效规避,本文将从常见风险类型、发生机制、预防措施及应对方法等方面展开分析,帮助理性看待牙齿矫正的安全性。
牙齿矫正可能存在的风险及应对
牙根吸收:牙齿“根基”的潜在变化
牙根吸收是正畸治疗中较常见的并发症,指牙齿在移动过程中牙根表面牙骨质发生溶解、变短,轻度的牙根吸收通常不影响牙齿功能和寿命,严重时可能导致牙齿松动甚至脱落。
发生原因:与个体易感性(如遗传因素)、矫治力过大或持续时间过长、牙齿移动方向不合理(如深压入移动)、存在根尖炎症或牙外伤史等有关,研究显示,正畸治疗后约5%-15%的患者会出现明显牙根吸收,多数为轻微吸收,仅1%-2%可能影响牙齿稳定性。
预防与应对:术前通过X光片(如根尖片、CBCT)评估牙根形态和长度;治疗中医生会采用轻柔、间歇性的矫治力,避免“蛮力”移动;定期拍摄X光片监测牙根变化,若发现吸收明显,可调整矫治方案或暂停加力。

牙槽骨损伤:支撑牙齿的“土壤”问题
牙槽骨是牙齿生长的“土壤”,矫治过程中牙齿移动会伴随牙槽骨的改建(吸收与重建),若矫治力过大或患者口腔卫生差,可能导致牙槽骨吸收,表现为牙龈萎缩、牙齿“变长”或松动。
发生原因:过度加力(如快速移动牙齿时未给骨改建留足时间)、牙周炎未得到控制(炎症会破坏牙槽骨)、矫正器周边食物残渣堆积引发牙周炎症。
预防与应对:术前需进行牙周检查,治疗中患者需加强口腔卫生(使用正畸牙刷、牙线、冲牙器),避免牙龈炎;医生会根据牙槽骨状况调整牙齿移动速度,一般每月移动1mm左右,给骨改建足够时间;若出现牙槽骨吸收,需暂停矫治,先进行牙周治疗。
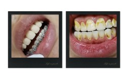
牙龈问题:口腔卫生的“考验”
矫正期间,托槽、弓丝等装置容易堆积食物残渣,若清洁不到位,可能引发牙龈炎、牙龈增生或牙周炎,表现为牙龈红肿、出血、增生甚至化脓。
发生原因:矫正器增加了口腔清洁难度,患者刷牙不彻底导致菌斑堆积;部分患者本身存在牙周基础病,治疗中未得到有效控制。
预防与应对:使用正畸专用牙刷(如小头软毛牙刷)配合牙缝刷、冲牙器清洁;每天至少刷牙两次,每次不少于3分钟,饭后及时漱口;定期进行牙周洁治(洗牙),建议每3-6个月一次;若出现牙龈增生,医生可能会调整矫正器或进行牙周上药治疗。
颞下颌关节紊乱(TMD):关节“不适”需警惕
颞下颌关节是连接下颌骨与颅骨的关节,负责张口、咀嚼等动作,部分患者在矫正后或矫正中可能出现关节弹响、疼痛、张口受限等症状,称为颞下颌关节紊乱。
发生原因:咬合关系改变(如矫正后咬合未完全适应)、矫治力过大导致下颌位置异常、长期单侧咀嚼、精神紧张(如磨牙)等。
预防与应对:医生在设计方案时会综合考虑咬合功能,避免过度改变下颌位置;治疗中避免过大张口,若出现关节不适及时复诊,可通过调整咬合板、物理治疗或药物治疗缓解;患者需避免咬硬物、纠正单侧咀嚼习惯。
牙釉质脱矿:牙齿“表面”的早期龋坏
牙釉质是牙齿最外层的保护组织,矫正期间若口腔卫生差,菌斑产酸会腐蚀牙釉质,出现白斑、脱矿,严重时发展为龋齿(蛀牙)。
发生原因:矫正器周边清洁不到位,糖分残留被细菌分解产酸;部分患者矫正期间刷牙次数减少或方法不当。
预防与应对:减少甜食、碳酸饮料摄入;使用含氟牙膏刷牙,必要时配合含氟漱口水或涂氟治疗;若发现白斑,及时进行再矿化治疗(如涂氟、激光照射),阻止龋齿进展。

复发:矫正效果的“持久战”
牙齿矫正后,若未按要求佩戴保持器或存在不良习惯(如吐舌、咬唇、夜磨牙),可能导致牙齿移位,称为复发,这是正畸治疗最常见的“远期风险”,可能表现为牙齿不齐、咬合关系变差。
发生原因:牙齿周围组织(牙周膜、牙槽骨)在矫正后需要时间稳定,通常需1-2年;不良习惯会持续干扰牙齿位置;保持器佩戴时间不足或未终身保持。
预防与应对:矫正结束后严格佩戴保持器(初期需全天佩戴,后期改为夜间佩戴,建议终身保持);纠正不良习惯(如通过肌功能训练纠正吐舌);定期复查(每6个月一次),及时发现复发迹象并调整保持方案。
矫正器相关不适:初期“适应期”反应
矫正初期,患者可能因托槽、弓丝摩擦口腔黏膜导致溃疡、疼痛,或因牙齿移动感到酸胀、咀嚼无力,多数属于暂时性反应。
发生原因:矫正器机械性刺激黏膜,牙齿移动引发的正常生理反应。
预防与应对:使用正畸蜡覆盖摩擦部位,保护黏膜;饮食选择软食(如粥、面条),避免过硬食物;疼痛明显时可遵医嘱服用止痛药(如布洛芬),一般1-2周后逐渐适应。
不同矫正方式的风险差异
不同矫正技术(如传统托槽矫正、隐形矫正、舌侧矫正)的风险特点有所不同,可通过表格对比:
| 矫正方式 | 常见风险特点 | 发生概率及可控性 |
|---|---|---|
| 传统金属托槽 | 牙龈炎、牙釉质脱矿风险较高(托槽周边清洁难);初期溃疡较常见。 | 清洁不到位时牙龈炎风险增加,但通过加强口腔卫生可有效控制;溃疡多在1周内缓解。 |
| 隐形矫正 | 复发风险略高(需严格佩戴,每日20小时以上);对牙齿控制力稍弱,复杂病例效果可能不佳。 | 若患者依从性好,复发风险与传统矫正相当;复杂病例需医生评估,必要时联合传统矫正。 |
| 舌侧矫正 | TMD风险略高(托槽位于舌侧,可能影响舌体运动,间接影响下颌位置);初期发音困难明显。 | 对医生技术要求高,操作不当可能增加TMD风险;发音障碍通常1-3个月适应。 |
降低风险的核心原则
牙齿矫正的安全性并非绝对,但可通过以下措施将风险降至最低:

- 选择正规机构和专业医生:优先选择有资质的口腔医院或诊所,医生需具备正畸专科资质,熟悉解剖结构和生物力学原理,避免因经验不足导致操作失误。
- 术前全面检查:包括口腔检查(牙周、牙根、牙槽骨)、X光片(全景片、头颅侧位片、CBCT)、模型分析等,排除禁忌证(如未经控制的牙周炎、根尖周炎)。
- 治疗中密切配合:保持口腔卫生、遵医嘱复诊(一般4-6周一次)、及时反馈不适症状(如疼痛加剧、牙齿松动明显)。
- 术后严格保持:矫正效果“7分靠技术,3分靠保持”,终身佩戴保持器是防止复发的关键。
牙齿矫正存在一定风险,包括牙根吸收、牙槽骨损伤、牙龈问题等,但多数风险可通过规范操作、患者配合和定期监测有效控制,正畸治疗本质是“在风险中寻求平衡”,医生会以“最小创伤、最大功能”为目标设计方案,患者需理性看待风险与收益,通过选择专业机构、做好口腔卫生和术后保持,安全实现牙齿健康与美观的双重改善。
相关问答FAQs
问题1:矫正过程中牙齿疼正常吗?怎么办?
解答:正常,牙齿移动时牙槽骨改建会引发酸胀、疼痛,类似“牙疼”,一般出现在每次加力后3-5天,程度因人而异,可通过以下缓解:①饮食选择软食(如粥、蒸蛋),避免咀嚼硬物;②用温毛巾热敷面部,促进血液循环;③疼痛明显时可遵医嘱服用布洛芬等止痛药,若疼痛持续超过1周或加剧,需及时复诊排除矫治力过大等问题。
问题2:矫正后牙齿会复发吗?如何避免?
解答:可能复发,牙齿位置稳定需1-2年,期间若未佩戴保持器或存在不良习惯(如吐舌、夜磨牙),易导致移位,避免方法:①严格佩戴保持器(初期全天,3个月后改为夜间,建议终身佩戴);②纠正不良习惯,可通过肌功能训练(如使用肌功能训练器)改善吐舌、咬唇;③定期复查(每6个月一次),医生会检查牙齿稳定性,必要时调整保持方案。
