矫正牙齿用的托槽是口腔正畸治疗中不可或缺的核心部件,它如同牙齿移动的“导航站”,通过与弓丝的配合,将矫正力量传递给牙齿,引导其在牙槽骨中缓慢、安全地移动,最终排列整齐、恢复咬合功能,托槽的发展历经百年,从最初的金属材质到如今的多样化选择,不仅提升了矫正效果,也兼顾了美观与舒适度,成为现代正畸技术的重要载体。
托槽的主要类型及特点
根据材质、结构及粘接位置的不同,矫正托槽可分为多种类型,每种类型各有优势,适用于不同的矫正需求,以下为常见托槽类型的详细对比:

| 类型 | 常用材料 | 优点 | 缺点 | 适用人群 |
|---|---|---|---|---|
| 金属托槽 | 不锈钢、钛合金 | 强度高、耐腐蚀;性价比高;矫正力度大,适合复杂病例 | 美观性差;易刮伤口腔黏膜;体积较大可能影响舒适度 | 对美观要求不高的青少年或成人;需高强度矫正的复杂病例 |
| 陶瓷托槽 | 氧化铝、氧化锆 | 颜色接近天然牙,美观度高;生物相容性好,不易引发过敏 | 脆性较大,受力不当易断裂;价格较高;槽沟易染色 | 对美观有较高要求的成人或青少年;轻中度错颌畸形 |
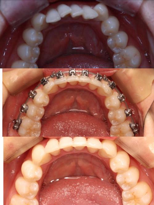
| 自锁托槽 | 金属/陶瓷材质+自锁结构 | 减少与弓丝的摩擦力,矫正效率更高;缩短治疗周期(约3-6个月);复诊间隔延长(6-8周) | 价格高于传统托槽;初期适应期可能有异物感 | 对治疗效率有需求的人群;口腔卫生较好、能配合清洁者 |
| 舌侧托槽 | 金属/陶瓷材质,粘接于牙齿舌侧面 | 完全隐形,美观性最佳;个性化定制,贴合牙面 | 技术难度高,对医生经验要求严格;清洁难度大;初期发音、饮食不适明显;价格昂贵(通常是传统托槽的3-5倍) | 对美观极致追求的成人;职业要求隐蔽矫正(如演员、主播) |
托槽的核心材料特性
托槽的性能很大程度上取决于其材料选择,目前主流材料包括以下几类:
- 不锈钢:以316L医用不锈钢为代表,强度高、耐腐蚀性好,且成本较低,是金属托槽的首选材料,钛合金材质则更轻便,适合对金属过敏者。
- 陶瓷:主要成分为高强度氧化铝或氧化锆,其硬度接近天然牙,耐磨性好,且颜色可匹配牙齿色泽,美观度高,但陶瓷脆性较大,在咬硬物时可能发生崩瓷,需避免啃咬骨头、坚果等食物。
- 复合树脂:部分透明托槽采用复合树脂材料,重量轻、弹性好,但强度和耐磨性略逊于陶瓷,多用于短期矫正或辅助治疗。
托槽的作用机制与矫正原理
托槽通过特殊的粘接剂固定于牙齿表面,其槽沟用于容纳和固定矫正弓丝,当弓丝被结扎(或通过自锁结构固定)于托槽槽沟内时,会产生持续的、轻柔的生物力(通常为50-350g),这种力会传递给牙齿,刺激牙槽骨一侧吸收、另一侧增生,从而实现牙齿的整体移动(如压低、伸长、倾斜、旋转等)。
- 传统托槽:依靠结扎丝或橡皮圈将弓丝固定于托槽,摩擦力较大,牙齿移动速度相对较慢,但技术成熟、适用范围广。
- 自锁托槽:通过托槽上的闭锁结构(如滑盖、夹子)固定弓丝,无需结扎,减少了弓丝与托槽间的摩擦力,牙齿移动更轻柔高效,同时口腔卫生更易维护。
选择托槽的关键考量因素
托槽的选择需结合个人口腔状况、矫正需求及生活习惯,综合评估以下因素:
- 美观需求:若对美观要求高,成人可优先考虑陶瓷托槽或舌侧托槽;青少年可选用彩色金属托槽,增加矫正趣味性。
- 矫正难度:复杂错颌畸形(如骨性畸形、严重拥挤)需选用强度高的金属托槽;简单病例则可兼顾美观与效率,选择陶瓷或自锁托槽。
- 口腔卫生习惯:自锁托槽因结构更平滑,食物残渣不易堆积,适合口腔卫生习惯一般者;舌侧托槽清洁难度大,需配合正畸专用牙刷、冲牙器等工具。
- 经济预算:金属托槽价格最低(约5000-15000元),陶瓷托槽次之(约8000-20000元),自锁托槽(约10000-25000元),舌侧托槽最贵(约30000-80000元)。
托槽使用期间的注意事项
佩戴托槽期间,科学的护理直接影响矫正效果与口腔健康:

- 口腔卫生:每天使用正畸专用牙刷(如V形刷头)和牙线清洁托槽周围,避免食物残渣堆积引发龋坏或牙龈炎;可配合冲牙器加强清洁。
- 饮食禁忌:避免啃咬硬物(如坚果、螃蟹壳)、黏性食物(如口香糖、年糕)及高糖食物(如碳酸饮料、糖果),防止托槽脱落或损坏。
- 复诊与应急处理:需按时复诊(通常4-8周一次),医生会根据牙齿移动情况调整弓丝;若托槽脱落或弓丝刺嘴,可用正畸蜡覆盖尖锐部位,并及时联系医生处理。
相关问答FAQs
Q1:矫正过程中托槽脱落了怎么办?
A:托槽脱落是常见情况,首先需保存脱落的托槽(避免吞咽),检查是否有尖锐部分划伤口腔,可用正畸蜡临时覆盖脱萨部位防止刺激,随后尽快联系正畸医生,根据脱落时间(距离下次复诊远近)决定是否需要立即复诊粘接,若脱落发生在矫正初期或末期,可能影响牙齿移动方向,需及时处理;若临近复诊时间,可暂缓处理,但需避免咀嚼受力。
Q2:陶瓷托槽比金属托槽更容易染色吗?
A:陶瓷托槽本身材质稳定,不易被染色,但其槽沟周围可能因食物色素(如咖啡、茶、酱油)或口腔细菌代谢产物滞留而出现轻微变色,相比之下,金属托槽槽沟较小,色素附着相对较少,但两者只要加强口腔卫生(如饭后漱口、使用正畸清洁工具),染色风险均可有效控制,陶瓷托槽的美观性仍优于金属托槽,适合对美观有较高需求的人群。

