牙齿矫正拔双尖牙是正畸治疗中常见的手段,双尖牙又称前磨牙,位于口腔前部的尖牙和后部的磨牙之间,每侧上下颌各2颗(第一前磨牙和第二前磨牙),共8颗,这类牙齿并非主要咀嚼器官,牙冠相对较小,牙根较短且形态规则,拔除后对口腔功能影响较小,却能为牙齿排列提供关键空间,是解决复杂错颌问题的重要方案。
为什么矫正需要拔双尖牙?
牙齿矫正的核心目标是协调牙齿、颌骨与面部软组织的关系,而多数错颌问题(如拥挤、前突、咬合紊乱)的根源是“空间不足”——现有牙弓长度无法容纳所有牙齿正常排列,拔牙可创造“间隙”,通过移动剩余牙齿关闭间隙,最终实现排齐、内收、调整咬合的目的,双尖牙因位置居中、拔除难度低、对功能影响小,成为首选拔牙对象。

拔双尖牙的利与弊
优势:
- 解决严重拥挤:对于牙列拥挤度较大的患者(如拥挤度超过8mm),拔除1-2颗双尖牙可提供足够空间,避免“强行排齐”导致的牙龈萎缩、牙根吸收等风险。
- 改善牙齿前突:对于“龅牙”(上颌前突),拔除上下颌双尖牙后,可将前牙向后移动(内收),改善唇部突度,使面部轮廓更协调。
- 调整咬合关系:通过拔牙移动牙齿,可纠正深覆合(上牙过度覆盖下牙)、深覆盖(上牙唇侧倾斜)、反颌(地包天)等异常咬合,避免咀嚼功能障碍或颞下颌关节问题。
- 稳定矫正效果:拔牙后关闭间隙时,牙齿会重新排列,建立更稳定的咬合接触,降低复发概率。
潜在风险:
- 面部凹陷:若内收过度或本身面部软组织较薄,可能出现“苹果肌”或面中部轻微凹陷,但正畸医生会通过精确计算移动量规避此类风险。
- 牙根吸收:极少数情况下,牙齿移动过程中可能发生牙根轻微吸收,但通常不影响牙齿功能和寿命。
- 治疗周期延长:拔牙后需等待伤口愈合(约1-2周),再开始牙齿移动,整体治疗时间可能比不拔牙延长3-6个月。
哪些情况需要拔双尖牙?
并非所有矫正都需要拔牙,需通过专业检查(X光片、模型、头影测量等)评估,以下是常见拔牙指征:
| 问题类型 | 具体表现 | 拔牙目的 |
|---|---|---|
| 牙列严重拥挤 | 上下牙列拥挤度>8mm,牙齿明显错位、扭转,无法通过单纯扩弓解决 | 提供间隙,让拥挤牙齿排齐至正常位置 |
| 双颌前突(龅牙) | 上下前牙唇倾,嘴唇闭合困难,侧面观“凸嘴”明显 | 内收前牙,改善唇部突度,协调面部比例 |
| 咬合紊乱 | 深覆合(上牙覆盖下牙超过1/3)、深覆盖(上前牙前移超过下前牙)、锁颌等 | 调整牙齿垂直和水平位置,建立正常咬合接触关系 |
| 牙弓不对称 | 两侧牙弓宽度或长度差异大,导致中线偏斜、面部不对称 | 通过拔牙调整牙弓形态,恢复面部对称性 |
不拔双尖牙的后果
若存在明显拔牙指征却坚持不拔,可能导致:

- 排齐困难:强行拥挤排齐会导致牙齿牙龈严重萎缩、牙根暴露,甚至牙齿松动脱落。
- 矫正效果不稳定:未解决空间不足问题,牙齿易复发错位,需长期保持或二次矫正。
- 咬合功能受损:异常咬合可能引发颞下颌关节弹响、疼痛,或导致咀嚼效率下降、消化问题。
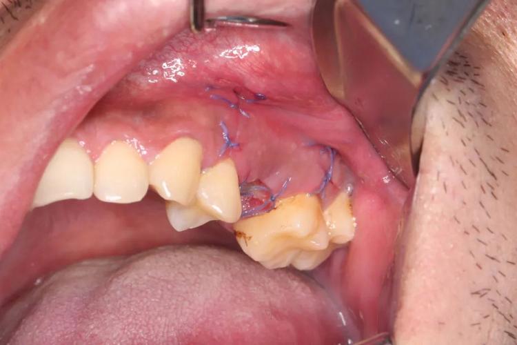
拔牙后注意事项
- 术后护理:拔牙后24小时内避免漱口、刷牙,温凉饮食,勿用患侧咀嚼;遵医嘱服用消炎药,若出血不止或疼痛加剧需及时复诊。
- 矫正配合:拔牙伤口愈合后,需严格佩戴矫治器(如托槽、隐形牙套),按时复诊调整,确保牙齿按计划移动关闭间隙。
- 口腔卫生:矫正期间加强刷牙、使用牙线,避免食物残留导致龋齿或牙龈炎。
相关问答FAQs
Q1:拔双尖牙会让脸变凹陷吗?
A:不一定,拔双尖牙后,牙齿会向拔牙间隙移动,若本身是“龅牙”或前牙前突明显,内收前牙反而可能改善“凸嘴”,让面型更协调,仅少数面部软组织较薄、且内收过度的人群可能出现轻微凹陷,但正畸医生会通过头影测量精确控制移动量,此类风险极低。
Q2:拔双尖牙后牙齿会松动吗?
A:矫正过程中牙齿轻微松动是正常现象(牙槽骨改建导致),但矫正结束后,牙齿会在新位置稳定下来,不会比正常牙齿更松动,若治疗后不注意口腔卫生或咬硬物,可能导致牙齿松动,但这与拔牙本身无关,而是牙周健康问题。

