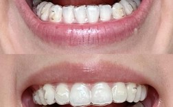
隐形矫正牙齿作为现代正畸技术的重要突破,凭借其透明隐形、舒适便捷、可自行摘戴等优势,已成为西安市民改善牙齿畸形、提升笑容美观度的热门选择,与传统金属托槽矫正相比,隐形矫正器采用医用级高分子材料制作,通过计算机精准设计3D矫正方案,逐步引导牙齿移动至理想位置,既避免了“钢牙”的外观困扰,又减少了口腔黏膜的摩擦不适,尤其适合对美观有较高要求的职场人群、学生及成人患者。
西安作为西北地区医疗核心城市,拥有丰富的口腔医疗资源,为隐形矫正提供了坚实的硬件与技术支撑,多家公立三甲医院口腔科(如空军军医大学口腔医院、西安交通大学第一附属医院口腔科)及私立口腔专科机构(如瑞泰口腔、拜博口腔、小白兔口腔等)均开展隐形矫正项目,配备了先进的口内扫描仪、3D数字化模拟系统及CBCT影像设备,可实现牙齿数据的精准采集与矫正效果的可视化预测,西安的隐形矫正医生团队经验丰富,多数医生拥有国内外知名院校正畸专业背景或进修经历,能够熟练处理各类复杂错颌畸形,如牙列拥挤、牙间隙过大、龅牙、地包天、深覆合等,为患者提供个性化的矫正方案。

在西安进行隐形矫正,需遵循规范的诊疗流程,以确保矫正效果与安全性,初诊检查是关键环节,医生会通过口腔检查、拍摄曲面断层片、头颅侧位片及CBCT等影像学检查,全面评估患者的牙齿排列、咬合关系、颌骨发育情况及牙周健康状况,同时了解患者的矫正需求与期望,若存在牙周炎、龋齿等口腔问题,需先进行基础治疗,待口腔健康状况稳定后再启动矫正,随后,利用口内扫描仪或传统取模获取牙齿数据,通过专业软件生成3D数字化模型,医生结合患者面部美学与功能需求,设计个性化的矫正方案,包括牙齿移动步骤、矫正周期及最终效果预测,方案确定后,厂商根据数据定制一系列透明矫正器,患者通常每1-2周更换一副,每4-6周复诊一次,医生会检查牙齿移动情况,调整方案细节,矫正期间,患者需每日佩戴矫正器20-22小时,仅进食、刷牙时取下,以确保牙齿按计划移动,矫正完成后,需佩戴保持器(如透明压膜保持器或哈雷保持器)以维持效果,防止牙齿复发,初期需全天佩戴,后续逐渐过渡至夜间佩戴。
选择合适的机构与医生是隐形矫正成功的重要保障,西安的口腔机构主要分为公立医院、私立专科及连锁品牌三类,各有特点,公立医院医生资质过硬,处理复杂病例经验丰富,但挂号难、排队时间长、服务流程相对固定;私立专科机构服务细致,预约灵活,环境舒适,注重患者体验,但医生水平参差不齐,需谨慎选择;连锁口腔品牌技术标准化,设备先进,价格透明,但可能存在过度营销或医生流动性问题,建议患者从机构资质(如是否具备《医疗机构执业许可证》)、医生专业背景(是否为正畸专科医生、是否有相关认证案例)、患者口碑及服务细节等方面综合考量,必要时可对比2-3家机构的方案与报价再做决定。
价格是患者关注的核心问题之一,西安隐形矫正的价格因矫正器品牌、病例复杂程度、机构类型及医生资历等因素存在差异,进口品牌如隐适美(Invisalign)经典系列约3.5万-5万元,青少年版约3万-4.5万元;时代天使(Angelalign)标准版约2.5万-4万元,儿童版约2万-3.5万元;国产品牌如正雅(Smartee)、美立刻(Meili)等经济型系列约1.5万-3万元,复杂病例(如需拔牙、种植体支抗辅助等)价格上浮20%-30%,部分机构推出“首诊检查费减免”“套餐式收费(含保持器)”“分期付款(免息)”等优惠活动,可降低患者经济压力。
隐形矫正期间,患者需注意口腔卫生维护与生活习惯调整,佩戴矫正器时,食物残渣易滞留,需使用正畸牙刷、牙线、冲牙器彻底清洁,避免龋齿与牙周炎;饮食上避免过硬(如坚果、骨头)、黏性(如口香糖、年糕)食物,防止矫正器变形或损坏;复诊需准时,若矫正器丢失或破裂,需及时联系医生补做,以免影响矫正进度,初期佩戴矫正器可能出现轻微疼痛、发音不清,属于正常现象,通常3-5天可缓解,若持续加重或伴有牙龈肿胀,需立即复诊。

隐形矫正并非适用于所有人群,其适应症与禁忌症需明确,适应症包括牙列拥挤、牙间隙、龅牙(上颌前突)、地包天(下颌前突)、深覆合、深覆盖、开颌等牙性与骨性错颌畸形(轻度骨性问题);禁忌症包括严重牙周炎(未经治疗)、颌骨畸形严重(需正畸正颌联合治疗)、口腔卫生极差(无法配合清洁)、存在未控制的全身性疾病(如糖尿病、骨质疏松)等,矫正前需进行全面检查,由医生评估可行性。
西安隐形矫正凭借成熟的技术、丰富的医疗资源及个性化的服务,为牙齿畸形患者提供了高效、美观的解决方案,患者需树立理性认知,选择正规机构与专业医生,积极配合治疗与护理,才能收获理想的矫正效果,重展自信笑容。
相关问答FAQs
问题1:隐形矫正期间可以正常喝咖啡、茶等有色饮料吗?
解答:不建议直接饮用,隐形矫正器虽为透明材质,但长期接触咖啡、茶、红酒、酱油等深色饮料可能导致染色,影响美观,若需饮用,建议使用吸管,并尽快用清水漱口,减少饮料与矫正器的接触时间,避免饮用过热或酸性饮料(如碳酸饮料),以免腐蚀矫正器材料,降低其强度与使用寿命。
问题2:矫正过程中牙齿出现轻微晃动,是否正常?
解答:正常,隐形矫正通过持续、轻柔的力量移动牙齿,矫正过程中牙齿出现轻微晃动是生理性反应,表明牙齿正在按计划移动,通常在更换新牙套后的3-5天内最为明显,随后逐渐缓解,若晃动伴随剧烈疼痛、牙龈出血或牙齿明显松动(超过1mm),需及时复诊检查是否存在矫正力过大、牙周损伤等问题。
