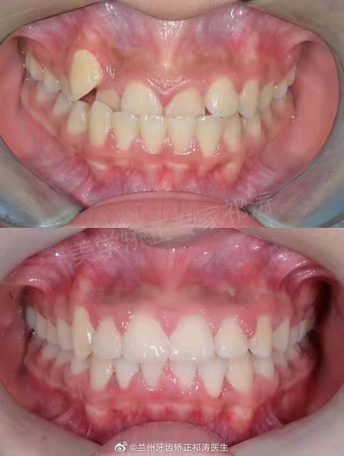
牙齿咬合不齐,医学上称为错畸形,是指牙齿排列不整齐、上下牙弓关系异常、颌骨大小形态位置异常等,表现为牙齿拥挤、稀疏、龅牙、地包天、深覆合等多种形态,这种问题不仅影响面部美观,还可能对口腔健康、咀嚼功能乃至全身健康造成潜在威胁,而通过正畸矫正可以有效改善,恢复牙齿与颌骨的正常功能与形态。
牙齿咬合不齐的常见原因
牙齿咬合不齐的形成是先天因素与后天因素共同作用的结果,具体可归纳为以下几类:

先天因素
- 遗传因素:父母的颌骨大小、牙齿数量、形态等可能遗传给子女,若父母一方存在颌骨发育不足(如下颌后缩)或牙齿过大过小,子女易出现牙齿拥挤或稀疏;若父母双方均存在骨性畸形(如上颌前突、下颌前突),子女遗传概率显著增高。
- 胚胎发育异常:在胎儿时期,母亲营养不良、病毒感染、或服用某些药物,可能导致颌骨、牙齿发育异常,如先天性缺牙、多生牙、颌骨形态异常等。
后天因素
- 不良口腔习惯:儿童期常见的吮指、咬唇(咬上唇或下唇)、吐舌、口呼吸、偏侧咀嚼等习惯,会持续对牙齿和颌骨施加异常力量,导致牙齿移位、颌骨发育异常,长期口呼吸可能使上颌牙弓变窄、腭盖高拱,吐舌习惯易导致前牙开合(上下牙无法接触)。
- 乳牙期问题:乳牙早失(因龋齿或外伤脱落)后,邻牙会向缺牙间隙移位,导致恒牙萌出空间不足,出现拥挤;乳牙滞留(恒牙已萌出但乳牙未脱落)会阻碍恒牙正常萌出,造成错位;乳牙龋病未及时治疗,可能影响下方恒牙胚发育,导致牙齿形态异常。
- 替牙障碍:儿童替牙期(6-12岁)若出现恒牙萌出顺序紊乱、多生牙埋伏阻生等,会干扰正常替换过程,导致牙齿排列异常。
- 外伤与疾病:牙齿受到外力撞击(如摔倒、碰撞)可能导致牙齿移位、牙根吸收;颌骨骨折或颞下颌关节紊乱也可能影响咬合关系;某些全身性疾病(如佝偻病、甲状腺功能异常)可能影响颌骨和牙齿发育。
牙齿咬合不齐的危害
牙齿咬合不齐并非单纯的“美观问题”,长期忽视可能引发一系列口腔及全身健康问题:
影响口腔健康
- 龋齿与牙周病:牙齿拥挤、重叠会导致清洁困难,食物残渣易堆积,形成牙菌斑,进而引发龋齿(蛀牙);长期牙菌斑堆积还可能刺激牙龈,导致牙龈炎、牙周炎,严重时造成牙槽骨吸收、牙齿松动脱落。
- 咬合创伤:咬合异常可能导致个别牙齿承受过大咬合力(如个别牙齿过高、深覆合下牙被上牙过度覆盖),长期易出现牙齿磨损、敏感、牙根吸收,甚至牙周创伤。
降低咀嚼功能
- 咬合不齐会影响牙齿接触面积和咬合精度,导致咀嚼效率下降,食物未被充分磨碎就进入胃肠道,增加胃肠负担,可能引发消化不良、胃痛等问题。
损伤颞下颌关节(TMJ)
- 颞下颌关节是连接下颌骨与颅骨的关节,负责张口、闭口等动作,咬合异常(如偏颌、深覆合)可能破坏关节受力平衡,导致关节弹响、疼痛、张口受限,甚至引发颞下颌关节紊乱综合征(TMD)。
影响面部美观与心理健康
- 牙齿排列不齐可能导致面部轮廓异常(如龅牙导致嘴唇外凸、地包天形成“月牙脸”),影响个人形象,尤其对青少年可能产生自卑心理,导致社交恐惧、自信心不足。
牙齿咬合不齐的矫正方法
矫正牙齿咬合不齐的核心原理是通过持续、轻柔的外力,引导牙齿在牙槽骨内缓慢移动,调整至正常位置,同时可能配合颌骨生长引导或手术治疗,改善骨性畸形,目前主流的矫正方式包括以下几类:
传统金属托槽矫正
- 原理:将金属托槽粘贴在牙齿表面,通过弓丝与托槽的连接,施加力量移动牙齿,利用橡皮圈调整上下牙咬合关系。
- 优点:性价比高,适用范围广(尤其适合复杂错畸形),技术成熟,矫正效果稳定。
- 缺点:美观性差(金属托槽明显),口腔异物感较强,初期可能影响发音,需特别注意口腔卫生(易存留食物残渣)。
- 适用人群:各类错畸形患者,尤其是牙齿严重拥挤、骨性畸形需配合治疗者。
隐形矫正
- 原理:通过3D数字化扫描获取牙齿数据,设计一系列透明牙套,每副牙套对牙齿施加微量移动,逐步调整至目标位置。
- 优点:美观性好(牙套透明,肉眼不易察觉),舒适度高(无托槽、弓丝刺激),可自行摘戴(方便清洁、进食),适合对美观要求高的患者。
- 缺点:价格较高,对自律性要求高(需每天佩戴20-22小时,否则影响效果),复杂病例(如严重骨性畸形、牙齿扭转)效果可能受限。
- 适用人群:轻度至中度错畸形(如牙齿拥挤、稀疏、前牙反合),成人及青少年患者。
舌侧矫正
- 原理:将托槽粘接在牙齿舌侧(内侧),从外完全看不到,通过特殊弓丝移动牙齿。
- 优点:完全隐形,不影响美观,矫正效果与传统托槽相当。
- 缺点:费用极高(技术难度大、定制化程度高),舒适度较差(初期对舌头刺激大,影响发音),对医生技术要求极高,清洁难度大。
- 适用人群:对美观要求极高、经济条件允许的成人患者。
自锁托槽矫正
- 原理:托槽自带闭锁结构,无需结扎丝或橡皮圈固定弓丝,减少摩擦力,牙齿移动更高效。
- 优点:矫正时间缩短(可减少3-6个月),复诊间隔延长(6-8周复诊一次),疼痛感较轻(摩擦力小),口腔卫生更易维护。
- 缺点:费用较高,托槽体积略大,初期可能有异物感。
- 适用人群:对舒适度要求高、希望缩短矫正时间者,尤其适合青少年及成人复杂病例。
功能性矫正
- 原理:通过佩戴功能性矫治器(如FRⅢ矫治器、 twin-block矫治器),利用肌肉力量引导颌骨生长,改善骨性畸形(如上颌前突、下颌后缩)。
- 优点:青少年骨性畸形的首选方法,可避免成年后正颌手术,促进颌骨正常发育。
- 缺点:适用年龄有限(最佳时期为8-12岁,替牙期),需配合生长潜力使用,对患者的配合度要求高。
- 适用人群:青少年骨性错畸形患者(如上颌发育不足、下颌发育不足)。
正畸-正颌联合治疗
- 原理:对于严重骨性错畸形(如成人严重的地包天、上颌前突、面部不对称),先通过正畸将牙齿排列整齐,再通过正颌手术调整颌骨位置,最后通过正畸精细调整咬合关系。
- 优点:可从根本上解决骨性问题,改善面部外观和咬合功能,效果稳定。
- 缺点:创伤大,治疗周期长(通常需2-3年),费用高昂,对医生团队技术要求极高(需正畸科与颌面外科协作)。
- 适用人群:成人严重骨性错畸形患者,单纯正畸无法改善者。
不同矫正方式对比
| 矫正方式 | 原理 | 优点 | 缺点 | 适用人群 |
|---|---|---|---|---|
| 传统金属托槽 | 托槽+弓丝施加力量 | 性价比高、适用广、技术成熟 | 美观性差、异物感强 | 各类错畸形,尤其复杂病例 |
| 隐形矫正 | 透明牙套逐步移动牙齿 | 美观舒适、可摘戴、方便清洁 | 价格高、需自律、复杂病例受限 | 轻中度错畸形,美观要求高者 |
| 舌侧矫正 | 托槽粘接在牙齿舌侧 | 完全隐形、效果与传统相当 | 费用极高、舒适度差、清洁难 | 对美观要求极高的成人 |
| 自锁托槽矫正 | 托槽闭锁结构减少摩擦力 | 时间短、复诊间隔长、疼痛轻 | 费用较高、初期异物感 | 对舒适度要求高、希望缩短时间者 |
| 功能性矫正 | 矫治器引导颌骨生长 | 避免手术、促进颌骨发育 | 适用年龄有限、需配合度高 | 青少年骨性错畸形 |
| 正畸-正颌联合 | 正畸+手术调整颌骨 | 解决骨性问题、改善外观功能 | 创伤大、周期长、费用高 | 成人严重骨性错畸形 |
矫正过程中的注意事项
牙齿矫正是一个长期过程(通常1-3年),需患者与医生密切配合,才能达到理想效果:
口腔卫生维护
- 矫正期间食物易嵌塞,需使用正畸专用牙刷(如小头牙刷)、牙缝刷、冲牙器每天清洁,避免托槽周围积存食物残渣,引发龋齿或牙周炎。
- 避免食用过硬(如坚果、骨头)、黏性(如口香糖、年糕)食物,防止托槽脱落;若托槽脱落,需及时复诊处理。
饮食调整
- 初戴矫正器或每次复诊后1-3天,牙齿可能出现酸胀感,建议吃温凉、软食(如粥、面条、蒸蛋),避免咀嚼过硬食物。
- 少吃酸性食物(如碳酸饮料、柠檬),以免腐蚀牙面;若食用后,需及时用清水或漱口水漱口。
定期复诊
- 需严格按照医生约定时间复诊(一般4-8周一次),医生会检查牙齿移动情况、调整矫正力量,确保矫正进度。
- 若出现托槽脱落、弓丝刺嘴、剧烈疼痛等异常情况,需及时复诊处理,切勿自行调整。
保持器佩戴
- 矫正结束后,牙齿位置尚未稳定,需佩戴保持器(通常保持2年以上,部分患者需终身佩戴),初期需全天佩戴(除进食、刷牙外),后期改为夜间佩戴,防止复发。
- 保持器需清洁,用冷水或牙膏清洗,避免热水浸泡(防止变形),若丢失或损坏,需及时联系医生制作新的。
相关问答FAQs
问题1:矫正牙齿过程中会疼吗?疼的话怎么办?
解答:矫正初期(戴牙套后1-3天)和每次复诊调整后1-2天,牙齿会出现轻微酸胀、无力感,属于正常现象,是牙齿移动过程中的生理反应,疼痛程度因人而异,通常在可忍受范围内,可通过以下方式缓解:①温盐水漱口,促进局部血液循环;②吃温凉、软食,避免咀嚼过硬食物;③若疼痛较明显,可服用非处方止痛药(如布洛芬),随着时间推移(3-5天),疼痛会逐渐消失,若出现剧烈疼痛或持续加重,可能是托槽刺激、弓丝末端过长或牙齿移动异常,需及时复诊检查。

问题2:成年后矫正牙齿效果会比青少年差吗?还能矫正吗?
解答:成年后矫正牙齿效果不一定比青少年差,但存在一定差异,青少年处于生长发育期,颌骨可塑性高,部分骨性问题可通过功能性矫正引导颌骨生长(如上颌前突、下颌后缩),且牙齿移动速度较快;而成年后颌骨停止发育,骨性畸形需通过正颌手术矫正,牙齿移动速度相对较慢(因牙槽骨密度较高),矫正时间可能延长,但只要牙周健康(无严重牙周炎、牙槽骨吸收),成年人完全可以进行牙齿矫正,且最终效果同样稳定,成年矫正需更关注牙周状况(矫正前需治疗牙周病),部分患者需配合多学科治疗(如修复、牙周联合治疗),年龄并非矫正的绝对禁忌症,只要符合适应症,任何年龄段均可矫正。

