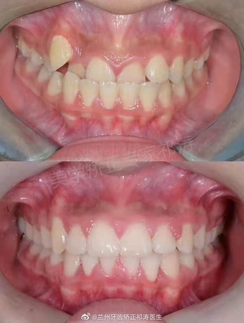
牙齿后咬合,在口腔医学中常被称为“后牙反合”,是指下颌后牙咬合时,其牙尖或咬合面位于上颌后牙颊侧(外侧)的反向咬合关系,这是一种常见的错颌畸形类型,可能涉及单侧或双侧后牙,且根据病因可分为功能性反合(由不良习惯等非骨性因素引起)和骨性反合(由颌骨发育异常导致),无论是哪种类型,后咬合不仅影响咀嚼功能、面部美观,还可能引发一系列口腔及全身健康问题,因此需要通过专业矫正进行干预。
牙齿后咬合的成因与类型
牙齿后咬合的形成是多因素综合作用的结果,涉及遗传、环境、习惯及局部病变等多个方面,明确成因是制定矫正方案的基础,以下从常见病因和临床类型两方面展开分析。

(一)主要成因
-
遗传因素
颌骨大小、形态及牙齿排列受遗传基因影响显著,若父母存在颌骨发育异常(如下颌过宽、上颌过窄),子女出现后牙反合的概率较高,牙齿大小与颌骨不匹配(如牙齿过大导致拥挤,或过小导致间隙)也可能引发反合,具有一定的家族聚集性。 -
不良口腔习惯
儿童时期的不良习惯是导致功能性后牙反合的常见原因,包括:- 长期吮指或咬物:吮吸拇指、咬铅笔等习惯可使上颌前部受压、后部发育不足,同时下颌向患侧偏移,导致单侧后牙反合;
- 口呼吸:腺样体肥大、鼻炎等疾病导致长期口呼吸,使上颌牙弓失去唇部肌肉的正常支撑,宽度发育不足,后牙向腭侧倾斜形成反合;
- 咬唇习惯:咬上唇可能推动下颌前伸,咬下唇则可能限制上颌发育,间接影响后牙咬合关系。
-
替牙期障碍
儿童替牙期(6-12岁)的局部障碍可能导致后牙反合,- 乳牙早失:乳磨牙早失后,邻牙向缺隙倾斜,导致后牙萌出空间不足;
- 乳牙滞留:乳牙未及时脱落,阻碍恒牙正常萌出,使恒牙异位萌出形成反合;
- 上颌恒牙胚缺失:上颌后牙恒牙胚先天缺失,可能导致上颌牙弓发育不足。
-
口腔疾病与外伤
(图片来源网络,侵删)- 牙周病:中重度牙周病导致牙槽骨吸收,牙齿松动移位,可能引发后牙咬合关系紊乱;
- 牙齿外伤:后牙区外伤导致牙齿移位或牙冠缺损,修复不当可能改变咬合平面;
- 肿瘤或囊肿:颌骨内肿瘤或囊肿压迫牙齿,使其萌出方向异常。
(二)临床分类
根据病因和机制,后牙反合主要分为两类:
- 功能性后牙反合:由不良习惯、咬合干扰等非骨性因素引起,上下颌骨形态基本正常,下颌可左右自由移动,反合牙位常伴有咀嚼肌功能紊乱。
- 骨性后牙反合:由颌骨发育异常导致,表现为上颌牙弓狭窄、下颌牙弓过宽或上下颌骨宽度不协调,下颌左右移动受限,常伴有面部不对称(如下颌偏向患侧)。
牙齿后咬合的危害:从功能到全身的影响
后牙反合并非单纯的“牙齿排列问题”,其危害可能涉及口腔功能、面部美观及全身健康,需引起足够重视。
(一)口腔功能影响
- 咀嚼效率降低
后牙是咀嚼的主力,反合状态下,上下颌后牙无法形成稳定的尖窝交错关系,咀嚼时食物研磨效率下降,长期可能导致消化不良、胃肠功能紊乱。 - 颞下颌关节紊乱(TMD)
反合可能导致下颌运动轨迹异常,长期受力不均会诱发颞下颌关节弹响、疼痛、张口受限等症状,严重者甚至出现关节盘移位。 - 发音与语音障碍
后牙反合可能影响舌位,导致部分齿音(如“z”“c”“s”)发音不清,尤其对儿童语言发育阶段可能造成不良影响。 - 牙周组织损伤
反合牙位易出现咬合创伤,长期受力过大的牙齿可能出现牙根吸收、牙龈萎缩、牙槽骨吸收等问题,增加牙周病风险。
(二)面部美观与心理影响
- 面部不对称:单侧后牙反合者,长期咀嚼时下颌偏向患侧,可能导致面部肌肉发育不对称,表现为下颌中线偏斜、颊部丰满度差异。
- 面部轮廓异常:双侧后牙反合常伴随上颌牙弓狭窄,面中份凹陷,呈“月牙脸”或“凹面型”,影响面部立体感。
- 心理问题:青少年时期因牙齿畸形可能产生自卑心理,不敢大笑、与人交流,甚至影响社交能力和心理健康。
牙齿后咬合的矫正方法:分龄分型精准干预
矫正牙齿后咬合需根据患者年龄、病因(功能性/骨性)、严重程度及生长发育潜力制定个性化方案,核心目标是恢复正常的咬合关系、改善面部美观及口腔功能。
(一)儿童及青少年矫正(生长发育期)
儿童替牙期(6-12岁)和恒牙早期(12-18岁)是矫正后牙反合的“黄金时期”,此时颌骨仍具有生长潜力,可通过功能性矫治器引导颌骨发育,效果显著且疗程较短。

-
功能性矫治器
适用于功能性后牙反合及轻度骨性反合,通过调整口腔肌肉功能、引导颌骨生长纠正反合,常用类型包括:- FRⅢ矫治器:用于上颌发育不足、下颌相对前突的反合,通过刺激上颌骨向前生长、抑制下颌过度发育;
- 扩弓矫治器:如螺旋扩弓器、快速腭扩展装置(RPE),适用于上颌牙弓狭窄导致的反合,通过扩大上颌牙弓宽度,使后牙向颊侧移动至正常咬合位置;
- Activator矫治器:通过调整下颌位置,改善肌肉功能异常,纠正功能性反合。
-
固定矫治器
适用于恒牙列早期(12岁以上)的反合患者,通过托槽和弓丝对牙齿进行精确移动,常用技术包括:- 上颌牙弓扩弓:在固定矫治器中加入螺旋弹簧或镍钛螺旋弹簧,持续扩大上颌牙弓;
-后牙垂直向控制:通过摇椅弓、后牙区颌垫等升高咬合,引导后牙向颊侧萌出;
-III类牵引:对于轻度骨性反合,通过牵引上颌牙向颊侧、下颌牙向舌侧,调整咬合关系。
- 上颌牙弓扩弓:在固定矫治器中加入螺旋弹簧或镍钛螺旋弹簧,持续扩大上颌牙弓;
(二)成人矫正(生长发育停止后)
成人患者颌骨已停止发育,矫正主要依靠牙齿移动,对于严重骨性反合可能需联合正颌手术。
-
固定矫治与隐形矫治
- 固定矫治:通过传统托槽或自锁托槽,配合弓丝、橡皮筋等进行牙齿移动,疗程通常为1.5-2.5年;
- 隐形矫治:如隐适美、时代天使等,通过一系列透明牙套逐步移动牙齿,美观舒适,适合轻度至中度反合,但对医生技术要求较高。
-
正畸-正颌联合治疗
适用于重度骨性后牙反合(如上颌严重狭窄、下颌过宽),需先通过正畸治疗排齐牙齿、调整咬合,再通过正颌手术(如上颌骨Le Fort I型截骨术、下颌骨矢状劈开术)矫正颌骨畸形,最后佩戴保持器巩固效果。
(三)不同矫正方法对比
| 方法类型 | 适用人群 | 优点 | 缺点 | 疗程时间 |
|---|---|---|---|---|
| 功能性矫治器 | 替牙期儿童、功能性反合 | 利用生长发育潜力,疗程短,创伤小 | 需患者良好配合,对骨性反合效果有限 | 6-12个月 |
| 固定矫治器 | 恒牙列青少年及成人 | 精确控制牙齿移动,适用范围广 | 美观性差,口腔卫生维护难度高 | 5-2.5年 |
| 隐形矫治器 | 轻中度反合成人、对美观要求高 | 美观舒适,可自行摘戴,便于清洁 | 价格较高,复杂病例效果受限 | 1-2年 |
| 正畸-正颌联合治疗 | 重度骨性反合 | 矫正效果稳定,从根本上改善颌骨畸形 | 需手术创伤,费用高,疗程长(2-3年) | 2-3年 |
矫正过程中的注意事项与长期维护
牙齿后咬合矫正不仅是“戴牙套”的过程,更需要患者与医生的密切配合,才能确保效果稳定、避免复发。
(一)矫正期间的关键事项
- 口腔卫生维护
戴固定矫治器时,食物残易嵌塞托槽周围,需使用正畸专用牙刷(如小头牙刷)、牙线、冲牙器每日清洁,避免龋齿和牙周炎。 - 饮食调整
避免过硬(如坚果、骨头)、黏性(如口香糖、年糕)食物,防止托槽脱落或弓丝变形;隐形矫治器需摘下进食,每天佩戴时间不少于20小时。 - 定期复诊
每4-6周复诊一次,医生会调整矫治力、检查牙齿移动情况,若出现托槽脱落、弓丝刺嘴等需及时处理。 - 配合治疗
功能性矫治器需24小时佩戴(除进食刷牙外);III类牵引等需严格按照医生要求佩戴橡皮筋,否则影响矫正进度。
(二)矫正后的长期维护
- 保持器佩戴
矫正结束后,牙齿周围组织(牙周膜、牙槽骨)需时间改建稳定,必须佩戴保持器防止复发,一般前两年白天晚上戴(除进食刷牙),之后逐渐过渡到仅夜间戴,部分患者需终身佩戴。 - 避免不良习惯
纠正吮指、口呼吸等习惯,否则可能导致反合复发;成年后需注意咬合保护,避免咬硬物。 - 定期复查
每年至少复查一次,医生会检查牙齿稳定性、咬合关系及牙周健康状况,及时处理潜在问题。
相关问答FAQs
Q1:牙齿后咬合什么时候矫正最好?
A:矫正时机需根据类型和年龄判断:①儿童替牙期(6-12岁):功能性反合或轻度骨性反合可通过功能性矫治器干预,利用生长发育潜力事半功倍;②恒牙早期(12-18岁):颌骨仍有生长空间,是固定矫治的黄金期,效果稳定;③成人:任何年龄均可矫正,但重度骨性反合可能需联合手术,疗程相对较长,建议发现后尽早就诊,通过专业评估制定最佳方案。
Q2:矫正牙齿后咬合会疼吗?如何缓解?
A:矫正初期(戴后1-3天)及每次调整后,牙齿可能出现轻微酸胀、疼痛,属于正常现象,通常3-5天可缓解,疼痛时可吃温凉软食(如粥、酸奶),避免咀嚼硬物;若疼痛剧烈或持续超过1周,需及时复诊检查是否存在矫治力过大或托槽刺激等问题,可遵医嘱服用非处方止痛药(如布洛芬)缓解症状。
