成年牙齿矫正已成为越来越多成年人的选择,随着口腔健康意识的提升和审美需求的增长,不再只有青少年才会关注牙齿排列问题,成年人的口腔环境、生活状态与青少年存在差异,矫正时需综合考虑更多因素,但通过科学方案和积极配合,同样能收获整齐的牙齿和健康的咬合。
成年常见的牙齿问题多样,包括牙齿拥挤、龅牙、地包天、牙齿稀疏、深覆合等,这些问题不仅影响美观,还可能引发口腔清洁困难、龋齿、牙周炎、咀嚼功能下降甚至颞下颌关节紊乱,牙齿拥挤会导致牙刷难以彻底清洁,食物残渣易堆积,增加牙结石和牙龈炎风险;龅牙则可能因嘴唇无法自然闭合,影响面部曲线,还可能导致牙齿磨损,不同问题的表现和影响各有侧重,具体如下表所示:

| 常见问题 | 主要表现 | 潜在影响 |
|---|---|---|
| 牙齿拥挤 | 牙齿排列不齐、重叠、扭转 | 清洁困难、龋齿、牙周炎、口呼吸 |
| 龅牙(上颌前突) | 上颌牙齿前突、嘴唇外翻 | 面部凸、牙齿磨损、发音不清 |
| 地包天(反颌) | 下颌前突、上颌后缩 | 咀嚼效率低、面部凹陷、颞下颌关节疼痛 |
| 牙齿稀疏 | 牙缝过大、牙齿间有间隙 | 食物嵌塞、美观影响、发音异常 |
| 深覆合 | 上颌牙齿过多覆盖下颌 | 下颌后缩、牙龈损伤、关节负担 |
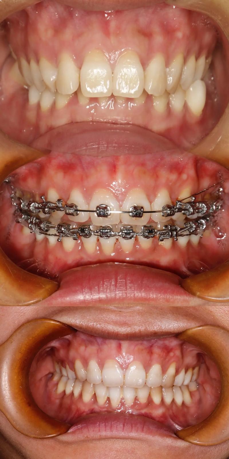
针对这些问题,成年牙齿矫正的方法也较为多样,各有优缺点,适合不同需求的人群,传统金属托槽矫正通过金属托槽和弓丝施加持续力,价格较低、强度高,但美观性较差;陶瓷托槽托槽颜色接近牙齿,美观性提升,但强度略低于金属,且易染色;隐形矫正采用透明牙套,可自行摘戴,美观舒适,但价格较高,需严格佩戴(每天20小时以上);舌侧矫正将托槽粘在牙齿内侧,完全隐形,但对医生技术要求高,价格昂贵,且初期可能影响发音,具体对比如下表:
| 矫正方法 | 原理 | 优点 | 缺点 | 适合人群 |
|---|---|---|---|---|
| 传统金属托槽 | 金属托槽+弓丝施力 | 价格低、强度高、适用范围广 | 美观差、易刮嘴 | 预算有限、矫正难度较大的成年人 |
| 陶瓷托槽 | 陶瓷材质托槽+弓丝 | 美观较好、强度适中 | 易染色、价格高于金属 | 注重美观、矫正难度中等的成年人 |
| 隐形矫正 | 透明牙套逐步移动牙齿 | 美观、舒适、可摘戴 | 价格高、需严格佩戴、复杂病例受限 | 工作繁忙、注重美观、矫正难度较低的成年人 |
| 舌侧矫正 | 舌侧托槽+弓丝施力 | 完全隐形、不影响美观 | 价格昂贵、影响发音、清洁难度大 | 对美观要求极高、预算充足的成年人 |
成年牙齿矫正的流程通常包括初步咨询、口腔检查、方案设计、矫正前准备、佩戴矫治器、定期复诊和保持阶段,初诊时需与医生充分沟通需求,了解矫正可能性和预期;检查阶段需拍摄X光片、全景片和头颅侧位片,评估牙周状况、牙根情况和咬合关系;方案设计会结合个人需求制定个性化计划,包括矫正目标、方法、周期和费用;若存在牙周炎、智齿等问题,需先进行治疗;佩戴矫治器后,金属/陶瓷托槽每4-6周复诊调整一次,隐形矫正每6-8周复诊,检查牙齿移动情况;矫正结束后需佩戴保持器(通常1-2年,甚至更久),防止复发。
成年矫正需特别注意口腔健康维护,矫正前必须确保牙周健康,若有牙龈炎、牙周炎需先控制炎症,否则可能加重;矫正中需使用正畸牙刷、牙线、冲牙器加强清洁,避免托槽周围食物残渣堆积导致龋坏,同时需保持耐心,成年矫正周期通常1.5-3年,因牙槽骨改建速度慢于青少年,需严格遵循医嘱,避免过硬、黏性食物,防止托槽脱落,心理上也要做好准备,初期可能出现口腔溃疡、发音不清、异物感,通常1-2周适应,若疼痛持续需及时复诊。
成年矫正的优势在于配合度高,能严格遵循医嘱;目标明确,多兼顾美观和功能改善;可结合种植牙、修复体等综合治疗,挑战则在于牙周条件可能较差(成年后牙龈萎缩、牙槽骨吸收),增加矫正难度;可能存在颞下颌关节问题,需综合评估;矫正后复发风险略高于青少年,需更严格保持。

FAQs
-
成年矫正会不会很疼?
答:矫正初期(戴牙套后1-3天)牙齿会有轻微酸胀感,类似感冒时的牙痛,属于正常现象,因牙齿受力移动引起,通常3-5天逐渐缓解,期间可吃软食,避免冷热刺激,若疼痛持续加重或出现牙龈红肿,需及时复诊。 -
矫正后牙齿会反弹吗?
答:存在反弹风险,尤其是矫正后未戴保持器或保持时间不足,牙齿移动后,牙槽骨和牙周组织需要时间稳定,通常需全天佩戴保持器1-2年,之后改为夜间佩戴,持续数年甚至终身,同时需避免不良习惯(如咬唇、吐舌),定期复查,可有效降低反弹概率。

