北京作为国内医疗资源集中的城市,儿童牙齿矫正服务已形成成熟的体系,涵盖早期干预、综合矫治及长期维护等全流程,牙齿不齐不仅影响儿童面部美观和咀嚼功能,还可能引发发音障碍、心理自卑等问题,因此科学的矫正干预对儿童口腔健康及身心发育至关重要,本文将从矫正年龄、方法选择、机构甄别、费用构成及注意事项等方面,详细解析北京儿童牙齿矫正的相关内容。
儿童牙齿矫正的黄金年龄需根据错颌类型判断,并非“越早越好”,3-5岁主要针对“地包天”(反颌)、严重龅牙、下颌后缩等问题进行早期干预,此时儿童颌骨仍处于发育阶段,通过功能性矫治器(如MRC、罗慕)可引导颌骨正常生长,降低后期复杂矫治概率,6-12岁为混合牙列期,是矫正“黄金期”,此时乳牙逐渐替换为恒牙,可解决牙列拥挤、个别牙反颌、多生牙等问题,通过固定矫治器或活动矫治器调整牙齿位置,为恒牙排列创造空间,12岁后恒牙基本萌出,进入全面矫治阶段,可通过传统托槽、隐形矫正等方式精细调整牙齿咬合关系,需注意,若存在口腔不良习惯(如吮指、咬唇),需在3岁前进行行为干预,避免错颌畸形加重。

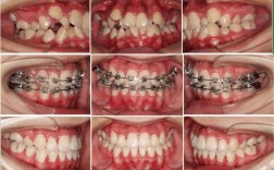
目前北京儿童牙齿矫正方法多样,不同技术适用于不同错颌类型及年龄阶段,以下是常见矫正方式的对比分析:
| 矫正方式 | 技术特点 | 适用年龄/错颌类型 | 优缺点 | 北京参考价格(元) |
|---|---|---|---|---|
| 传统金属托槽 | 使用金属结扎丝固定弓丝,通过施加持续力移动牙齿 | 6岁以上,各类错颌畸形(拥挤、反颌、深覆颌等) | 优点:性价比高,适用范围广;缺点:美观度差,口腔清洁难度较大 | 8000-15000 |
| 自锁托槽 | 托槽自带闭锁装置,减少弓丝与托槽摩擦力,延长复诊间隔 | 8岁以上,合作度较高的儿童,尤其适合牙列拥挤 | 优点:复诊间隔延长至6-8周,疼痛感较轻;缺点:价格较高,仍影响美观 | 12000-20000 |
| 隐形矫正(儿童版) | 采用医用高分子材料定制透明牙套,可自行摘戴,通过每副牙套的细微移动调整牙齿 | 6岁以上,轻中度错颌(如牙列轻度拥挤、间隙过大) | 优点:美观舒适,方便清洁;缺点:需患者高度配合,价格较高,严重错颌效果有限 | 25000-40000 |
| 早期功能性矫治 | 如MRC肌功能矫治器、罗慕矫治器,通过训练口腔肌肉及引导颌骨发育 | 3-10岁,骨性错颌(如地包天、龅牙)及不良习惯 | 优点:从根源纠正颌骨发育问题,避免后期正颌手术;缺点:需长期佩戴(每天12小时以上) | 15000-30000 |
选择矫正机构时,需综合考量资质、医生经验及服务细节,北京儿童牙齿矫正机构主要分为公立医院和私立诊所两类:公立医院如北京大学口腔医院、首都医科大学附属北京口腔医院,拥有权威专家团队和科研支持,适合复杂病例及需多学科联合治疗(如合并颞下颌关节紊乱)的儿童,但挂号难、复诊排队时间长是常见问题;私立诊所如瑞尔齿科、马泷齿科等,注重服务体验,提供预约制诊疗、个性化方案设计,且部分机构配备儿童友好诊室(如卡通装饰、玩具分散注意力),适合对就诊体验要求高的家庭,但需确认机构是否具备《医疗机构执业许可证》,医生是否为中华口腔医学会正畸专业委员会(COS)会员,医生案例数量是重要参考指标,建议优先选择儿童正畸经验5年以上、累计案例超500例的医生,并要求查看与孩子错颌类型相似的矫正前后对比照。
费用是家长普遍关注的问题,北京儿童牙齿矫正费用主要由矫治器类型、病例复杂度及机构等级决定,基础费用构成如下:初诊检查(含口腔曲面断层片、头影测量、模型分析)约500-1000元;矫治器费用(见上文表格);复诊调整(每次200-500元,总次数10-20次);保持器(活动保持器500-1000元,固定保持器800-1500元);若需拔牙(每颗500-1000元)或种植支抗(骨钉1000-2000元/颗),则需额外增加费用,值得注意的是,北京医保仅覆盖部分基础治疗项目(如拔牙、补牙),矫治器费用及正畸服务费需自费,部分私立机构推出分期付款(如12期免息),可减轻经济压力。
矫正期间需做好日常护理,确保治疗效果,口腔卫生方面,佩戴托槽后需使用正畸专用牙刷(如小头软毛牙刷)及牙线棒,每次进食后立即刷牙,避免食物残渣堆积引发龋齿或牙龈炎;饮食上避免过硬(如坚果、骨头)、过黏(如口香糖、年糕)及带壳食物(如螃蟹、虾),防止托槽脱落;复诊需严格遵医嘱,通常金属托槽每4-6周调整一次,隐形矫正每2周更换一副牙套,若托槽脱落或钢丝刺嘴,可用正畸蜡临时覆盖,并及时联系医生处理,疼痛管理方面,初戴矫治器后3-5天可能出现牙齿酸痛,可进食温凉软食(如粥、面条),必要时遵医嘱服用布洛芬缓解;心理疏导同样重要,部分儿童因担心“戴牙套”被嘲笑产生抵触情绪,家长可通过讲解矫正案例(如同龄人矫正前后变化)、选择透明或彩色托槽(增加趣味性)等方式帮助孩子建立信心。

矫正结束后需长期保持,防止复发,保持器是维持矫正效果的关键,通常要求全天佩戴(除进食、刷牙外)持续6个月,之后过渡到夜间长期佩戴;期间每3-6个月复查一次,医生会检查牙齿稳定性及咬合关系,必要时调整保持器,需纠正口腔不良习惯(如吐舌、咬唇),避免因习惯复发导致牙齿移位;饮食逐渐恢复正常,但仍避免用牙齿啃咬硬物,保护牙齿及牙周组织健康。
相关问答FAQs
Q1:儿童牙齿矫正的最佳年龄是几岁?
A:矫正年龄需根据错颌类型分阶段判断:3-5岁针对“地包天”、严重龅牙等骨性问题进行早期干预;6-12岁混合牙列期是矫正“黄金期”,可解决牙列拥挤、个别牙反颌等问题;12岁后恒牙基本萌出,进入全面矫治阶段,若存在口腔不良习惯(如吮指、咬唇),需在3岁前进行行为干预。
Q2:矫正期间孩子牙齿疼怎么办?
A:初戴矫治器后1-3天牙齿酸痛属正常现象,可进食温凉软食,用温盐水漱口缓解;若疼痛持续加剧或出现咬合无力、牙龈肿胀,需及时复诊,检查是否存在托槽脱落、弓丝刺激或牙周炎症等问题,医生会根据情况调整矫治力或进行针对性处理,避免影响矫正进程。

